低级别非浸润性乳头状尿路上皮癌
Low Grade Non-Invasive Papillary Urothelial Carcinoma
概述:
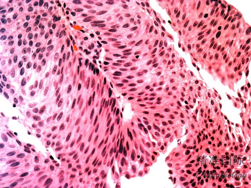
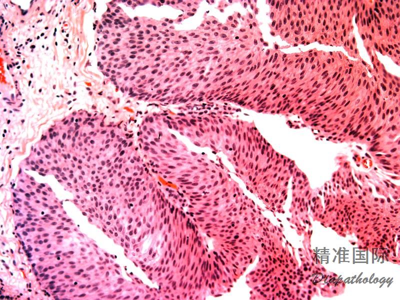
非浸润性低级别尿路上皮乳头状癌由纤细的乳头状结构组成,常见乳头分支和融合,被覆上皮层次增加。核轻度增大,可见空泡状染色质,常见核仁,核分裂可见于上皮的任何层次
发病部位: 膀胱、输尿管、肾盂、尿道
诊断要点:
男女发生比约为 2.9:1,平均发病年龄为 70 岁(28-90 岁)。临床上大多数患者表现为血尿,内镜下肿瘤常为单发,多位于膀胱后壁或侧壁,将近 22%的患者表现为多发(2 个或以上)病灶。
镜下肿瘤由纤细的乳头状结构组成,常见乳头分支和融合,被覆上皮层次增加,极向较紊乱,至少局部存在不同程度的结构和细胞的异常。存在低倍镜下即可感知的细胞的非典型性,包括存在细胞极向,核大小,形状和染色质纹理的差异。
核轻度增大,可见空泡状染色质,常见核仁,核分裂可见于上皮的任何层次,但多位于基底部;
- 无间质浸润。

免疫组织化学染色:
CK20. GATA3. P63. CK5/6 常阳性。
分子标记:
FGFR 突变
鉴别诊断:
细胞异型性轻微或缺如,结构仅有轻度的异常,细胞极向尚存;核分裂像罕见,通常局限于基底层。
高级别乳头状尿路上皮癌:乳头被覆上皮显示明显的排列紊乱和细胞异型性,乳头常见融合,低倍镜下即可感知明显的结构和细胞的异常。肿瘤细胞极向紊乱,具有多形性核,核仁明显,核分裂像常见,上皮层次厚薄不均,邻近肿瘤的粘膜常见尿路上皮原位癌改变。
预后:
肿瘤复发率,分期进展率以及疾病特定的死亡率分别为 50%,10%和 4%
治疗:
肿瘤切除,术后灌注治疗
病例报道:
Cystoscopic bladder biopsies: a histopathological study.
参考文献:
[1] 程亮, 张绍渤, 黄教悌, et al. 对当前非浸润性乳头状尿路上皮肿瘤组织学分级系统的评价 [J]. 中华泌尿外科杂志, 2011, 32(6): 427-31. [2] 程亮,赵明. 重新评价膀胱非浸润性尿路上皮肿瘤的组织学分级.中华病理学杂志.2014;43(12):848-852.