内翻性尿路上皮乳头状瘤
Bladder Inverted urothelial papilloma
概述:
复杂的交织状内翻性生长的尿路上皮肿瘤,无或仅有轻度的细胞非典型性
发病部位: 膀胱、输尿管、肾盂、尿道
诊断要点:
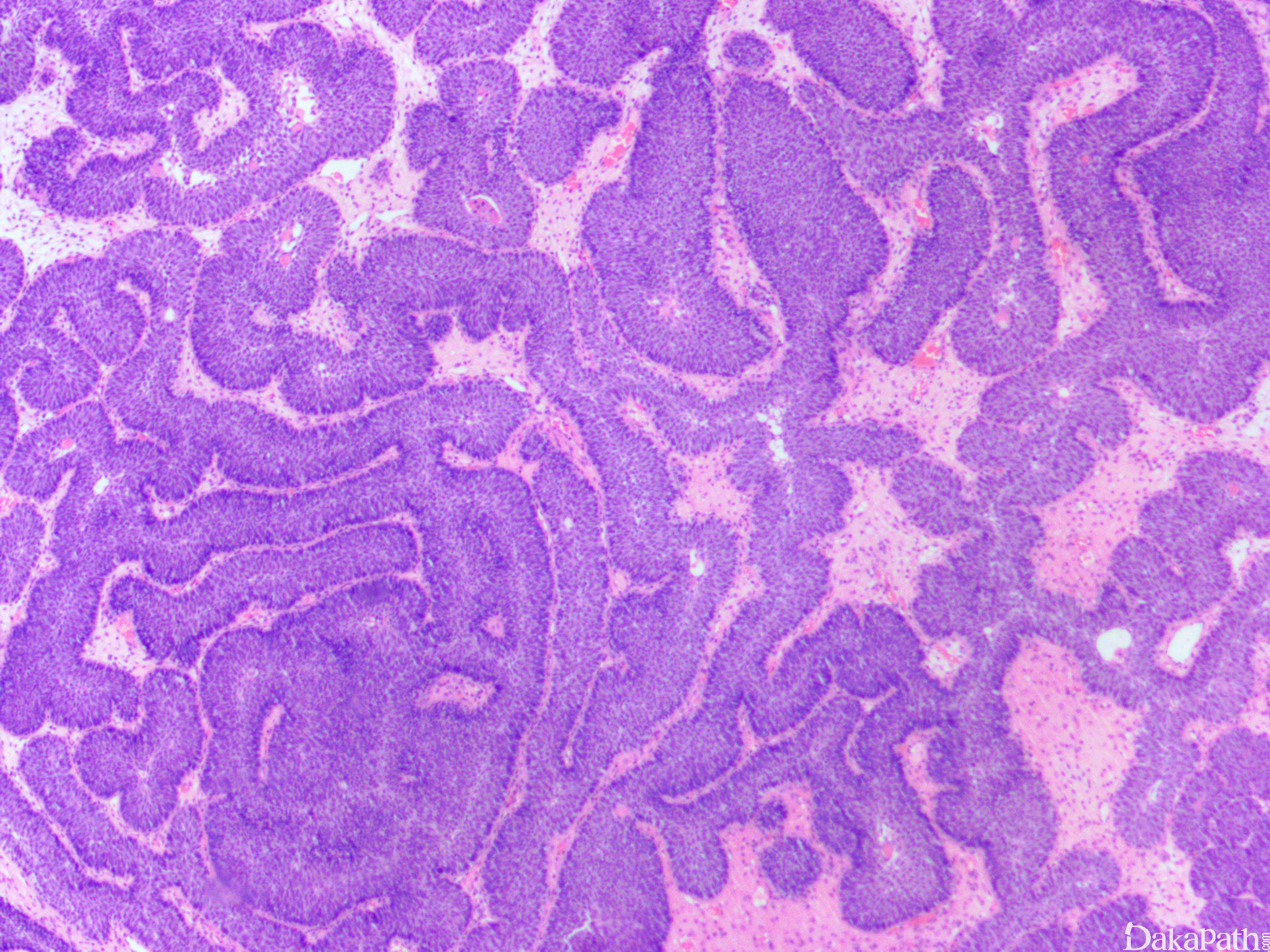
- 罕见,占所有膀胱肿瘤的比例< 1%。发病年龄 9 ~ 94 岁,男性多见,男女比约 6:1。多为孤立性肿瘤,多数发生在膀胱(膀胱颈>三角区>侧壁>后壁),常表现为表面光滑的、有/无蒂的息肉样病变,多数肿瘤直径<3cm;
- 主要呈梁状和交织索状排列,表面被覆正常尿路上皮,内生性梁状结构相互吻合,宽度相对均匀,具 5-10 层细胞,从上皮表层反折至固有层;
- 梁状结构周围细胞染色深,呈栅栏状排列,与周围间质间界面清晰、光滑;
- 梁、索状结构中央细胞短梭形,流水状排列与梁索结构长轴平行;
- 有时可伴有囊性结构类似于旺炽性腺囊性膀胱炎,腔面细胞质出现空泡,有些腔隙被覆立方状尿路上皮或高柱状黏液分泌细胞;
- 无或仅有个别外生性乳头;
- 尿路上皮有温和而良性的细胞学特征,有时可出现轻度异型的细胞,核分裂像罕见或缺如,如出现通常在外周栅栏状瘤细胞;
- 间质成分较少,纤维性或水肿状,炎细胞浸润轻微;
- 有时可伴有灶状、非角化的鳞状化生,也可伴有腺样分化;
- 个别病例可见潘氏细胞。

免疫组织化学染色:
表达 CK7 和 GATA3,个别细胞可表达 CK20,Ki67 一般< 5%
分子标记:
10%-45%可见 FGFR3 突变,60%可见 HRAS 突变
鉴别诊断:
低度恶性潜能内翻性乳头状瘤 :瘤细胞索可见部分融合和实性巢状生长
乳头状尿路上皮癌伴内翻性生长方式:细胞轻度或以上异型,如核染色质不均匀,出现大而不规则核仁,核分裂像增多等。
预后:
大多数为良性进程,复发率< 2%
治疗:
切除
病例报道:
Acaseofbladder-inverted papillomaafter brachytherapy for prostate cancer.
参考文献:
Sung MT, Maclennan GT, Lopez-Beltran A, et al. Natural history of urothelial inverted papilloma. Cancer 2006;107:2622–7. Eiber M, van Oers JM, Zwarthoff EC, et al. Low frequency of molecular changes and tumor recurrence in inverted papillomas of the urinary tract. Am J Surg Pathol 2007;31:938–46. Cheng L, Davidson DD, Wang M, et al. Telomerase reverse transcriptase (TERT) promoter mutation analysis of benign, malignant and reactive urothelial lesions reveals a subpopulation of inverted papilloma with immortalizing genetic change. Histopathology 2016;69:107-13.
← 膀胱低度恶性潜能内翻性乳头状瘤 膀胱腺癌 →