膀胱子宫内膜样癌
Endometrioid Carcinoma
概述:
发生于膀胱,形态学类似于子宫及卵巢的子宫内膜样腺癌。
发病部位: 膀胱、输尿管、肾盂、尿道
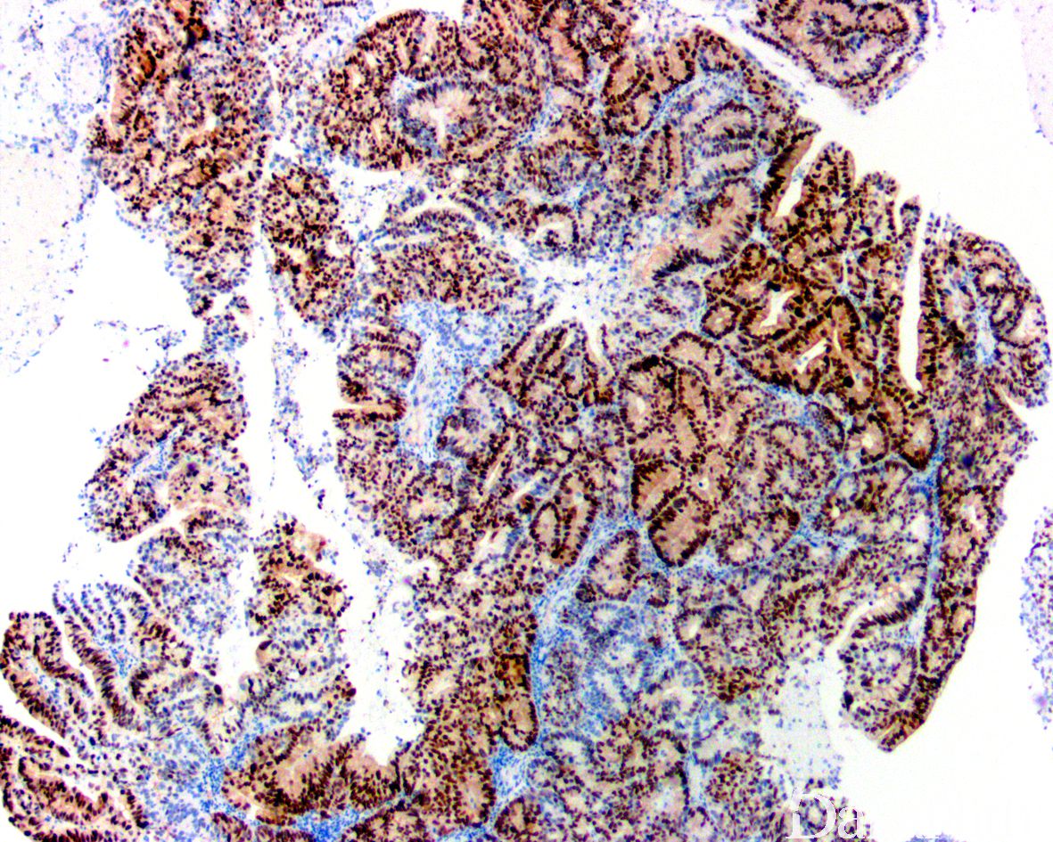
诊断要点:
好发于膀胱三角区,为膀胱的子宫内膜异位症好发的部位;常见于子宫内膜异位症相关,少数与苗勒氏异位症相关;
形态学同发生于女性生殖道的子宫内膜样腺癌,可有不同分化程度;
高分化者由分化好的子宫内膜样腺体构成,可伴有鳞状分化、黏液分化及其它化生性改变。
诊断膀胱原发的子宫内膜样腺癌需要满足以下条件:(1)存在子宫内膜异位症病史或者肿瘤与子宫内膜异位症共存;(2)组织学上为非典型子宫内膜样腺体和相关的浸润性癌伴或者不伴有鳞状分化;(3)免疫组化染色表达 ER 和 PR;(4)排除原发的尿路上皮癌,排除转移性癌。

免疫组织化学染色:
PAX8. ER、PR 阳性。GATA3 通常阴性。
分子标记:
不详
鉴别诊断:
尿路上皮癌伴腺样分化:存在尿路上皮癌成分,GATA3 尿路上皮癌阳性,PAX8. ER,PR 一般阴性
脐尿管癌:好发于膀胱顶部和前壁,与子宫内膜异位症无关
转移性子宫内膜样腺癌:结合临床病史
治疗:
根治性切除
病例报道:
Endometrioid carcinoma of the upper urinary tract.
参考文献:
Allen D, O'Brien T, Pingle P, Chandra A. Endometrioid adenocarcinoma of the bladder. Histopathology 2005;46:232-3. Al-Izzi MS, Horton LW, Kelleher J, Fawcett D. Malignant transformation in endometriosis of the urinary bladder. Histopathology 1989; 14; 191–198.
← 膀胱透明细胞癌 浸润性尿路上皮癌,微乳头型 →