膀胱绒毛状腺瘤
Bladder Villous Adenoma
概述:
一种发生于膀胱或脐尿管的良性腺性肿瘤,组织学类似于结肠绒毛状腺瘤。
发病部位: 膀胱、输尿管、肾盂、尿道
诊断要点:
- 少见,常见于中老年人,平均年龄 65 岁(23-93 岁),多发生在脐尿管和膀胱顶部,但泌尿道任何部位均可发生;
- 膀胱镜检多表现为外生性乳头状肿瘤,与乳头状尿路上皮癌在大体上无法区分;
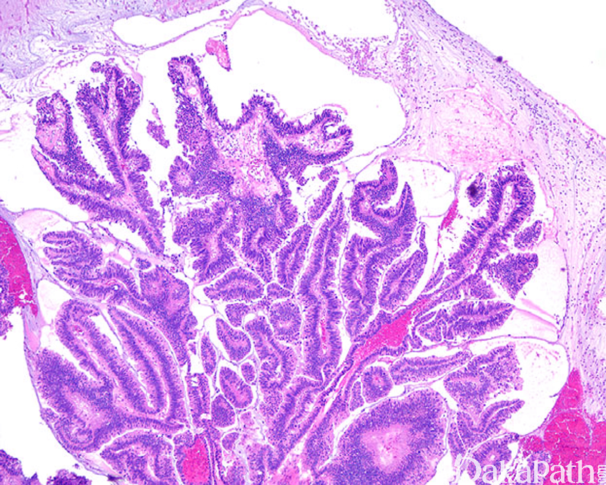
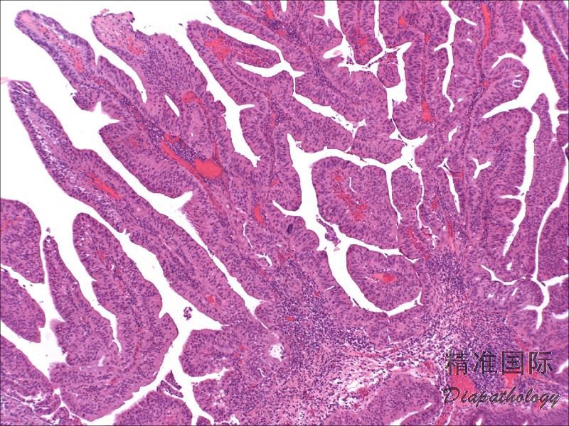
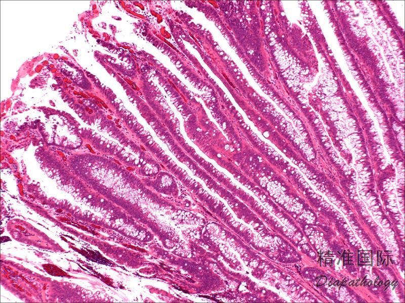
- 镜下呈具有纤维血管轴心的乳头状结构,或尖锐或钝性指状突起,被覆肠型上皮;有时可表现为管状腺瘤或管状绒毛状腺瘤;
- 上皮具不同程度的异型性,多数呈低级别上皮内瘤变,也可见高级别上皮内瘤变甚至原位癌;约 35%伴随有浸润性腺癌;
- 肿瘤周围尿路黏膜常见肠型或鳞状化生以及腺性膀胱炎。

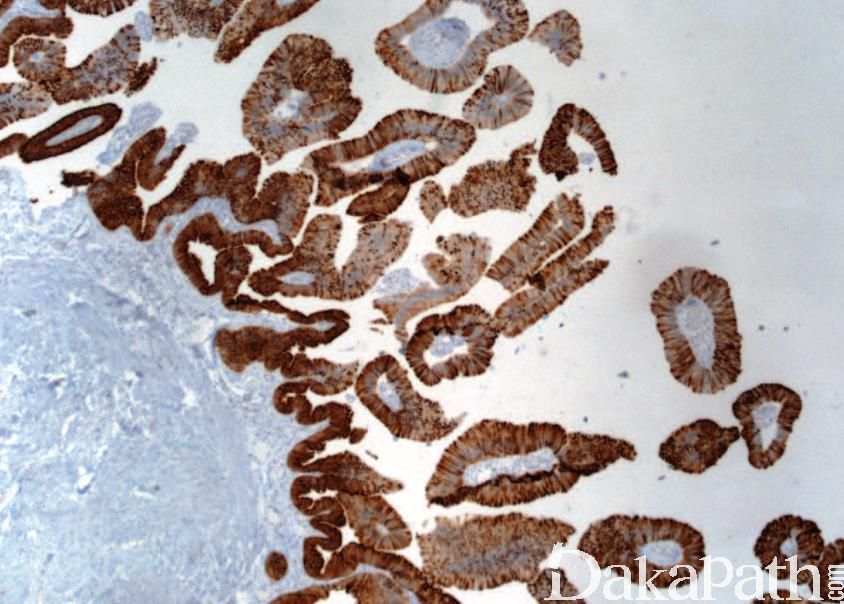
免疫组织化学染色:
CK20. CK7. CDX2 常阳性。EMA、GATA3. PSA 阴性。偶尔可异常表达 P501s 和 PSMA。
分子标记:
无
鉴别诊断:
结直肠腺癌累及膀胱:临床病史,常见相关的浸润性腺癌,免疫组化染色异常核浆表达 β-catenin 可助于区分(膀胱绒毛状腺瘤膜表达 β-catenin)。
旺炽性腺性膀胱炎:无绒毛状结构,罕见异型增生。
尿路上皮癌伴绒毛腺管状分化:混有普通的高级别尿路上皮癌;
前列腺导管腺癌累及膀胱:由于膀胱的绒毛状腺瘤可异常表达前列腺相关标志物如 P501s 和 PSMA 等,因此前列腺更特异的标志物 NKX3.1 可用于鉴别诊断。
预后:
孤立性绒毛状腺瘤的患者预后好,进展为腺癌少见。由于约 35%的膀胱绒毛状腺瘤伴有相关的浸润性癌,因此在诊断为纯的绒毛状腺瘤时需广泛取材除外相关的浸润性癌。
治疗:
病灶完整切除
病例报道:
[Bladder villous adenoma: report of a newcase].
参考文献:
Villous Adenoma** of the Urinary Bladder : A Brief Review of the Literature.
Wang J, Manucha V.
Arch Pathol Lab Med. 2016 Jan;140(1):91-3. doi: 10.5858/arpa.2014-0198-RS. Review.
Villous adenoma** of the urinary tract: a lesion frequently associated with malignancy.
Seibel JL, Prasad S, Weiss RE, Bancila E, Epstein JI.
Hum Pathol. 2002 Feb;33(2):236-41. Villous adenoma** of the urinary tract: a report of 23 cases, including 8 with coexistent adenocarcinoma.
Cheng L, Montironi R, Bostwick DG.
Am J Surg Pathol. 1999 Jul;23(7):764-71. Immunohistochemical expression of prostatic antigens in adenocarcinoma and villous adenoma of the urinary bladder .
Lane Z, Hansel DE, Epstein JI.
Am J Surg Pathol. 2008 Sep;32(9):1322-6. doi: 10.1097/PAS.0b013e3181656ca0.