膀胱腺癌
Bladder Adenocarcinoma
概述:
起源于尿路上皮的恶性肿瘤,组织学为单一腺性表型。
发病部位: 膀胱、输尿管、肾盂、尿道
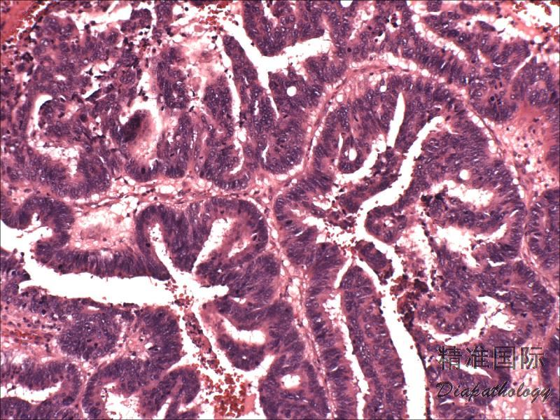
诊断要点:
- 少见,发病率不到膀胱恶性肿瘤的 2%,发病于成人,高峰发病年龄为 50-60 岁,男女比约 2.7:1;
- 大体检查肿瘤呈外生性、乳头状、无蒂的溃疡或浸润性外观,黏液型可以表现为凝胶样外观;
- 组织学亚型主要有非特指型、胃肠型、黏液型、混合型,少数可表现为印戒细胞型、透明细胞型、肝样型;
- 非特指型呈非特异性的腺性生长;
- 肠型腺癌类似于胃肠道腺癌,腺体被覆假复层黏液分泌细胞,具有多形性及异型性,可见中央坏死;
- 黏液型表现为黏液湖中漂浮上皮细胞巢;
- 印戒细胞亚型可以是弥漫性或混合性,具有单核细胞或浆细胞样外观,可伴有大量原位印戒细胞;
- 透明细胞亚型极为罕见,瘤细胞排列成乳头状,胞质透亮,其特征表现为“鞋钉样”外观;
- 肝样腺癌罕见,由具有嗜酸性胞质的大细胞组成;
- 混合型:由两种或两种以上上述生长方式混合存在;
- 原位腺癌:黏膜被具有明确细胞核异型性的腺性结构替代,表现为三种类型:乳头状、筛孔状和平坦状,单一性少见,多为几种类型混合存在。

免疫组织化学染色:
类似于结肠腺癌,CK20 在大多数膀胱腺癌中为阳性, Villin 在肠型腺癌中表达阳性,但核 β-catenin 膀胱肠型腺癌阴性,可以区分膀胱原发性腺癌与转移性结肠癌。无细胞外黏液分泌的膀胱原发性印戒细胞癌表达 GATA3,而伴细胞外黏液分泌的印戒细胞癌和其它类型的腺癌 GATA3 均阴性。
分子标记:
部分可具有 KRAS 突变,部分可见 EGFR 扩增
鉴别诊断:
转移性结直肠癌: β-catenin 核阳性
前列腺腺泡性腺癌 :PSA 和 P501s 阳性
前列腺导管腺癌 :
脐尿管癌:起源于脐尿管残余,发生于膀胱顶壁或前壁
尿路上皮癌伴腺样分化:可见尿路上皮癌成分,GATA3 阳性
预后:
预后差。总体 5 年生存率 40-50%。
治疗:
根治性膀胱切除
病例报道:
Anterior pelvic exenteration for exstrophicbladder adenocarcinoma:Casereport and review.
参考文献:
Rao Q, Williamson SR, Lopez-Beltran A, Montironi R, Huang W, Eble JN, Grignon DJ, Koch MO, Idrees MT, Emerson RE, Zhou XJ, Zhang S, Baldridge LA and Cheng L. Distinguishing primary adenocarcinoma of the urinary bladder from secondary involvement by colorectal adenocarcinoma: extended immunohistochemical profiles emphasizing novel markers. ModPathol 2013; 26: 725-732.