膀胱高分化神经内分泌肿瘤
Bladder Well-Differentiated Neuroendocrine Tumour
同义词(或曾用名): 类癌
概述:
一种起源于尿路上皮基底层散在神经内分泌细胞的高分化神经内分泌肿瘤。
发病部位: 膀胱、输尿管、肾盂、尿道
诊断要点:
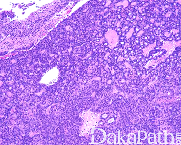
- 罕见,常发生于老年患者,多发生于膀胱三角区的黏膜下,直径 0.3 ~ 3cm 不等,膀胱镜检常表现为息肉样病变;
- 病变通常位于黏膜固有层,少数可浸润至肌层。肿瘤细胞排列成岛状、腺泡状、小梁状或假腺样以及筛状结构,最常见的组织学类型为假腺样和筛状排列,间质富含窦型血管,呈器官样结构;
- 肿瘤细胞胞质丰富、嗜双色性,核染色质细颗粒状,核仁不明显,核分裂像少见;
- 肿瘤缺乏坏死;
- 可与其他尿路上皮病变共同存在,如腺囊性膀胱炎,内翻性乳头状瘤、尿路上皮癌等。

免疫组织化学染色:
NSE、CgA、、Syn、CD56 及 CK(AE1/AE3)阳性,偶尔可表达 PSAP。不表达 GATA3. P63. P501s、NKX3.1 等。
鉴别诊断:
内翻性尿路上皮乳头状瘤:巢周可见栅栏状尿路上皮排列,无嗜酸性胞浆和彩点状染色质;
巢状变异型尿路上皮癌:常呈深部的浸润性生长,免疫组化染色不表达神经内分泌标志物,表达 GATA3 等;
前列腺腺癌:可局灶或散在表达神经内分泌标志物,表达 NKX3.1 和 P501s 可资鉴别;
浸润性尿路上皮癌伴腺样分化:除了腺样结构之外,尚可见典型的尿路上皮癌成分;
膀胱原发性腺癌:以肠型结构为主,,核呈假复层柱状排列,免疫组化染色表达 CK20 和 CDX2。
治疗:
完整切除
病例报道:
Calcitonin-producingwell-differentiated neuroendocrinecarcinoma (carcinoid tumor) of the urinarybladder: case report.
参考文献:
Chen YB, Epstein JI. Primary carcinoid tumors of the urinary bladder and prostatic urethra: a clinicopathologic
study of 6 cases. Am J Surg Pathol 2011; 35(3):442–6.