膀胱鳞状细胞癌
Bladder Squamous Cell Carcinoma
概述:
起源于尿路上皮的具单一鳞状细胞表型的恶性肿瘤。
发病部位: 膀胱、输尿管、肾盂、尿道
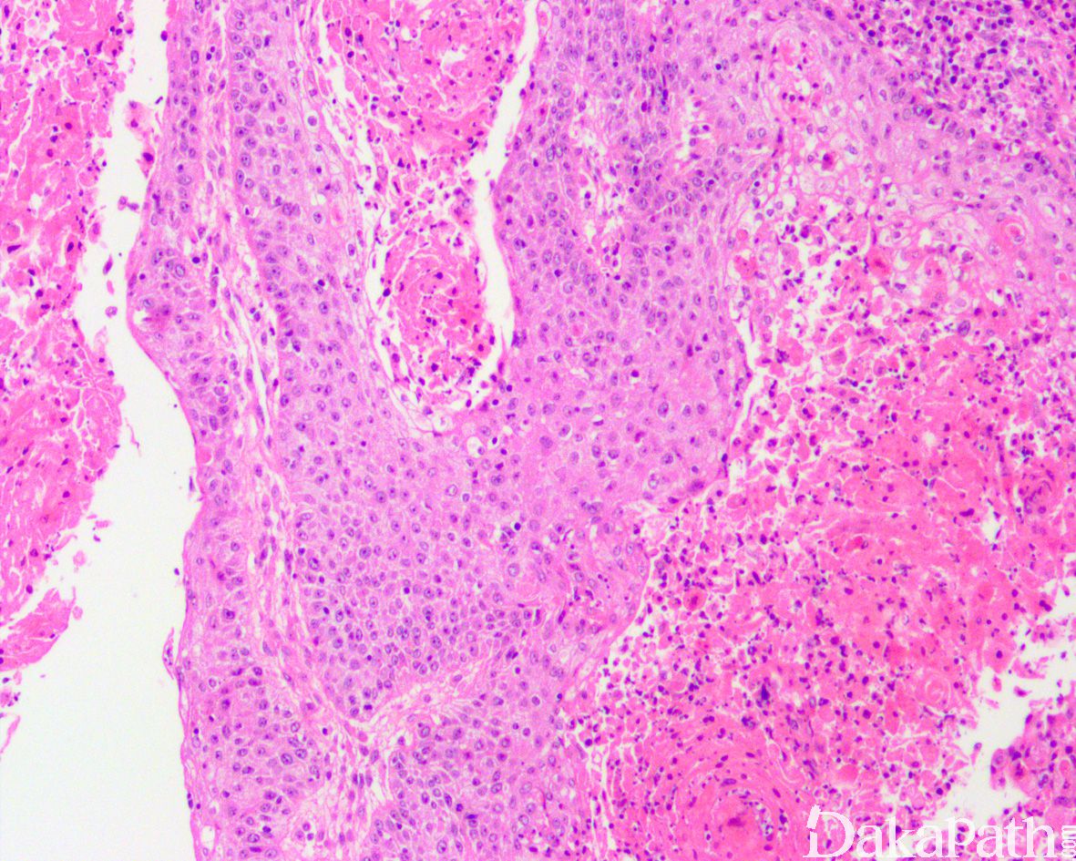
诊断要点:
- 罕见,占所有膀胱肿瘤的比例< 3%。
- 肿瘤在组织学上完全由具有鳞状上皮分化的癌组织构成。可以是具有角化、明显细胞间桥、轻度细胞核多形的分化好的癌细胞巢,也可以分化很差仅有局灶性鳞状分化的证据,亦可表现为基底细胞样鳞状细胞癌;约 17-62%的肿瘤表面可见鳞状上皮化生。
- 如同时存在尿路上皮原位癌或浸润性尿路上皮癌时则诊断尿路上皮癌伴鳞状分化。

免疫组织化学染色:
desmoglein 3. CK14. MAC387 阳性有助于鳞状细胞癌的诊断。
分子标记:
常见 9p 缺失和 CDKN2 肿瘤抑制基因丢失,TP53 基因突变,一般与 HPV 感染无关
鉴别诊断:
尿路上皮癌伴鳞状分化:至少存在局灶的浸润性尿路上皮癌成分,而按照定义,膀胱鳞状细胞癌完全由鳞状上皮成分组成。需要注意的是,低分化的鳞状细胞癌有时候在形态学上可能与高级别尿路上皮癌无法明确区分。
疣状癌:为特别高分化的鳞状细胞癌亚型,肿瘤由外生性的乳头状瘤样结构组成,细胞缺乏明显的异型性。基底为宽基的推挤状生长而非浸润性生长。
预后:
预后取决于肿瘤的分期,pT1/T2 期肿瘤 5 年存活率约 69%,pT3/T4 期肿瘤 5 年存活率约 19%
治疗:
根治性膀胱切除
病例报道:
A RARECASEOFSQUAMOUS CELL CARCINOMAIN URINARYBLADDERDIVERTICULUM SUCCESSFULLY TREATED BYBLADDER-SPARING SURGERY.
参考文献:
Lagwinski N, Thomas A, Stephenson AJ, et al. Squamous cell carcinoma of the bladder: a clinicopathologic analysis of 45 cases. Am J Surg Pathol 2007;31:1777-87.