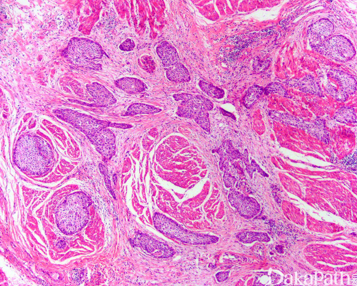
浸润性尿路上皮癌,巢状型
Infiltrating urothelial carcinoma,Nested type
同义词(或曾用名): 移行细胞癌,巢状型
发病部位: 膀胱、输尿管、肾盂
诊断要点:
- 少见,多发于男性;
- 低倍镜下类似于 Brunn 巢浸润固有层;
- 多数病例细胞巢小,位于黏膜下,分散或拥挤分布,一些癌细胞巢可具有小管腔或微囊,部分病例细胞巢较大;
- 多数细胞核小,无明显异型性,但总能见到灶状明显核异型细胞,特别是肿瘤的基底部,表现为核染色质粗,核仁明显,偶尔核分裂活跃;
- 少数病例可见经典尿路上皮癌成分,但多数为纯的巢状尿路上皮癌;
- 间质常黏液变性,可局灶促结缔组织增生;
- 常侵犯固有肌层。

免疫组织化学染色:
P63. GATA3. Uroplakin II 常阳性,CK20 全层阳性,Uroplakin III 膜斑块状阳性对尿路上皮癌特异性很好,但敏感性较差。S100p( placental S100) 对尿路上皮及胰胆管上皮肿瘤特异性较好。
分子标记:
TERT 启动子甲基化,可助于与良性反应性病变区分
鉴别诊断:
1. Brunn 巢 :细胞无异型,无深部浸润现象。
2. 囊性和腺性膀胱炎 :细胞无异型性,无深部浸润现象
3. 内翻性乳头状瘤 :内翻性乳头状瘤缺乏巢状结构,细胞无明显异型性。
4. 肾源性化生 :具有包括小管、乳头状及其他成分的混合形态,且罕见深部肌层浸润,PAX2. PAX8 阳性,而巢状癌阴性。
5. 类癌 :细胞无异型,细胞巢间常具窦性血管,CgA、Syn 免疫组织化学染色阳性
6. 副神经节瘤 :细胞巢团之间具有明显的网状血管结构,而巢状癌缺乏该现象,CgA、Syn 免疫组织化学染色阳性支持副神经节瘤
- 转移性前列腺腺癌:PSA 阳性,GATA3 阴性。
预后:
是一种高侵袭性肿瘤,分期高,预后很差。
治疗:
根治性膀胱切除
参考文献:
M. J. Wasco, S. Daignault, D. Bradley, and R. B. Shah, “Nested variant of urothelial carcinoma: a clinicopathologic
and immunohistochemical study of 30 pure and mixed cases,” Human Pathology, vol. 41, no. 2, pp. 163–171, 2010. R. Cox and J. I. Epstein, “Large nested variant of urothelial carcinoma: 23 cases mimicking von brunn nests and inverted
growth pattern of noninvasive papillary urothelial carcinoma,” American Journal of Surgical Pathology, vol. 35, no. 9, pp. 1337–1342, 2011.
← 浸润性尿路上皮癌伴腺性分化 尿路上皮原位癌 →