丛状神经纤维瘤
Plexiform Neurofibroma
发病部位: 头颈部,多累及大神经
诊断要点:
发病年龄 4-79 岁(平均 27 岁),约 85%发生于 I 型神经纤维瘤病患者,好发于头颈部,多累及大神经,常位于皮肤浅层,深部亦可累及;1/3 伴随有相关的恶性外周神经鞘膜瘤
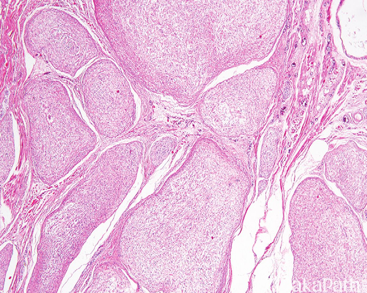
镜下可见丛状排列的、粗细不一的扭曲、膨大的神经束,丛状结节周围可见神经束膜围绕,结节之间亦可见神经纤维瘤性组织伸入;
瘤细胞梭形,核呈波浪状; 间质疏松,血管较丰富,可伴有明显的黏液样变性;
可伴有脂肪成分;
少数病例可见上皮成分或其它异源成分
瘤细胞异型性轻微,偶尔可见退行性变的非典型性,但无瘤细胞密度增高和明显的核分裂活性,若出现后述特征提示肿瘤已经发生恶性外周神经鞘膜瘤(MPNST)转化(约 1/3)。

免疫组织化学染色:
S-100. MBP、XIIIa、CD34 阳性,可见 EMA 阳性神经束膜细胞,NF 阳性的轴突成分;
鉴别诊断:
神经鞘瘤:有 Antoni A 和 Antoni B 结构,常出血、囊性变;
弥漫性神经纤维瘤:无丛状结构。
隆突性皮肤纤维肉瘤 :属中间型成纤维母细胞性肿瘤,瘤细胞具轻度异型性,核分裂象易见,瘤细胞呈 CD34(+),S100(-)。
预后:
约 1/3 的丛状神经纤维瘤可伴随有相关的恶性外周神经鞘膜瘤(MPNST);无伴随的 MPNST 的丛状神经纤维瘤复发率约 23%, 与 MPNST 相关的丛状神经纤维瘤中约 50%可见 MPNST 的复发,20%发生 MPNST 的转移。
治疗:
手术完整切除
参考文献:
Goldblum JR, Folpe AL, Weiss SW. Enzinger and Weiss soft tissue tumors. Elsevier Saunders; 2014. McCarron KF, Goldblum JR. Plexiform neurofibroma with and without associated malignant peripheral nerve sheath tumor: a clinicopathologic and immunohistochemical analysis of 54 cases. Mod Pathol 1998;11: 612-7.