上皮鞘神经瘤
Epithelial Sheath Neuroma
概述:
是一种发生于真皮浅层的良性肿瘤,由增生的神经束及其周围由鳞状上皮形成的鞘所组成,可能是一种反应性神经增生而非肿瘤性病变。
发病部位: 真皮浅层
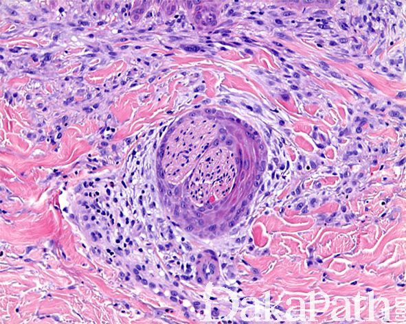
诊断要点:
罕见,发病于老年人,病变位于真皮浅层,临床表现为背部红斑样的丘疹;
镜下见病变位于真皮浅层,由多个增生的神经束组成,神经束周围可见由鳞状上皮所组成的鞘样结构围绕,神经束内可见轴突、施万细胞和神经束膜细胞;
上皮鞘常与表面上皮相延续,细胞形态温和,可见散在的角化不良的细胞,无核异型性和核分裂象,可能来自于毛囊特别是漏斗部上皮;
表面鳞状上皮常见棘皮瘤样增生;
上皮鞘周围间质内可见疏松的纤维化和多少不等的淋巴细胞浸润。

免疫组织化学染色:
神经束 S-100 蛋白、CD57. NF 等阳性,上皮鞘表达 CK,不表达 CEA 和 EMA 等。
鉴别诊断:
浸润性鳞状细胞癌累犯神经:病变部位深,鳞状上皮呈不规则浸润性生长,瘤细胞可见异型性和核分裂象;
创伤性神经瘤:无上皮性鞘。
预后:
良性
治疗:
局部切除后多可治愈
病例报道:
Epithelial** sheath neuroma with extension to the subcutis.
Noparstak M, Zaycosky M, Saeed S.
J Cutan Pathol. 2018 May 24. doi: 10.1111/cup.13286. PMID: 29797343
参考文献:
Am J Surg Pathol. 2000 Feb;24(2):190-6. Epithelial sheath neuroma: a new entity.
Requena L1, Grosshans E, Kutzner H, Ryckaert C, Cribier B, Resnik KS, LeBoit PE.
← 神经母细胞瘤 婴儿色素性神经外胚层瘤 →