古老型神经鞘瘤
ancient schwannoma
概述:
神经鞘瘤的一个形态学亚型
诊断要点:
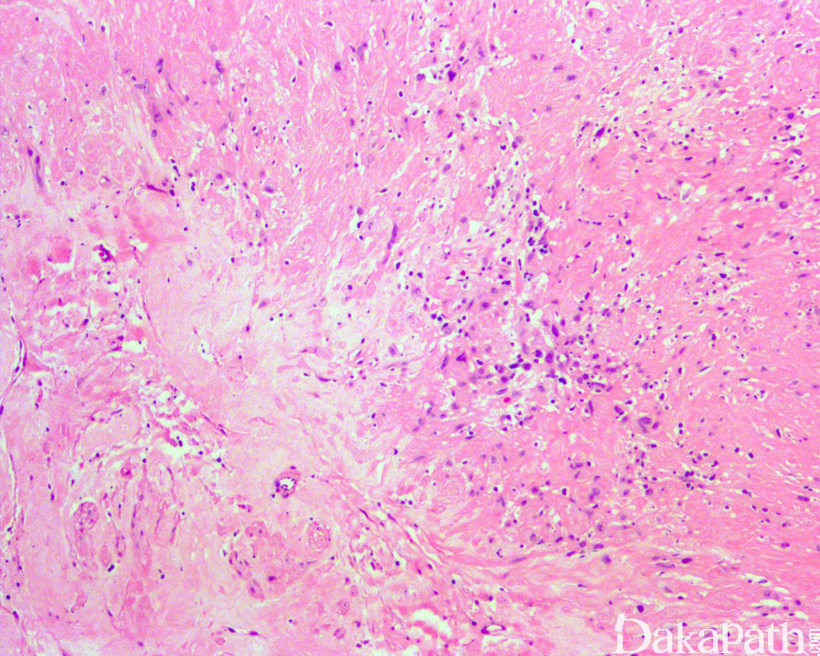
为神经鞘瘤的一个亚型,主要发生于真皮或皮下。
在经典型神经鞘瘤形态基础上伴有退变性细胞核多形性或广泛的玻璃样变,无瘤细胞密度明显增多,无核分裂象,无肿瘤性坏死。

免疫组织化学染色:
表达 S100 蛋白和 SOX10,Ki67 增殖指数低
鉴别诊断:
神经鞘瘤恶性转化:罕见,瘤细胞密度增高,异型性明显,核分裂象活跃,伴有坏死,Ki67 增殖指数表达增高,S100 蛋白表达减少;H3K27ME3 表达缺失。
预后:
良性
治疗:
局部切除
病例报道:
A Huge Ancient Schwannoma of the Epiglottis.
参考文献:
- Shilpa B.Ancient schwannoma-a rare case.Ethiop J Health Sci. 2012 Nov;22(3):215-8.
- Zachariades N. Schwannoma of the oral cavity: review of the literature and report of a case. J Oral Med.1984;39:41–43.