局限性皮肤神经纤维瘤
Localized Cutaneous Neurofibroma
发病部位: 无特定好发部位
诊断要点:
无特殊的好发部位,常累及躯体真皮和皮下,多表现界限清楚的孤立性结节或多发性结节,无包膜,与 NF1 相关者可多发;
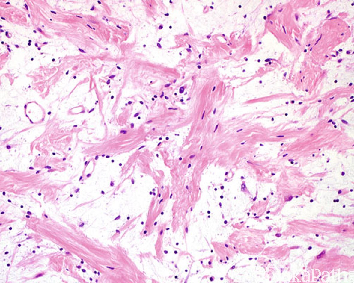
镜下典型病例由交织束状状排列的梭形细胞束组成;
细胞边界不清,胞质淡嗜酸性,核两端尖,深染,波浪状或弯曲状;部分横切的细胞呈小淋巴细胞样;
部分病例中瘤细胞之间可见绳索样的胶原纤维,瘤细胞和胶原束之间可见少多少不等的黏液
间质内可见散在的肥大细胞、淋巴细胞和少量的泡沫样组织细胞;
少数病例局部区域可见上皮样瘤细胞,可称为上皮样神经纤维瘤。

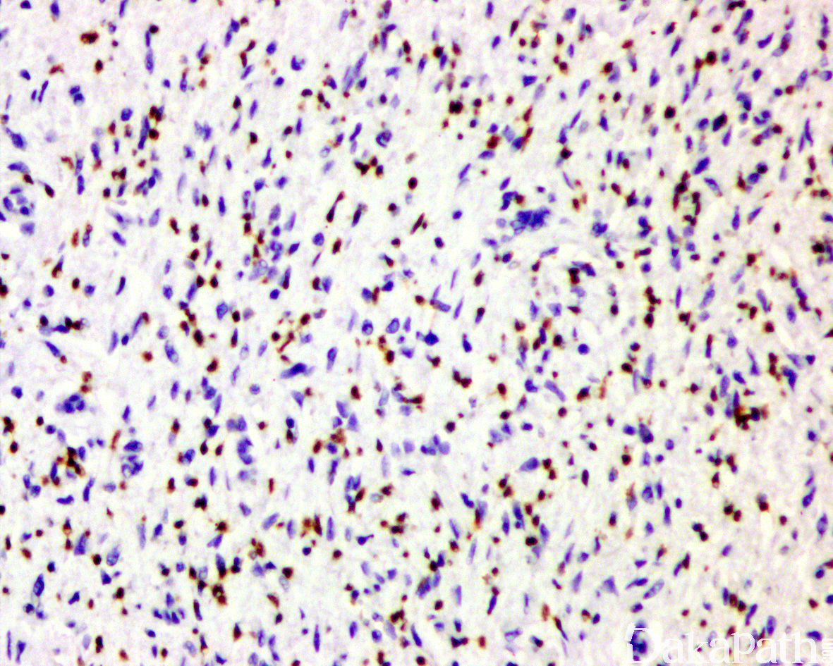
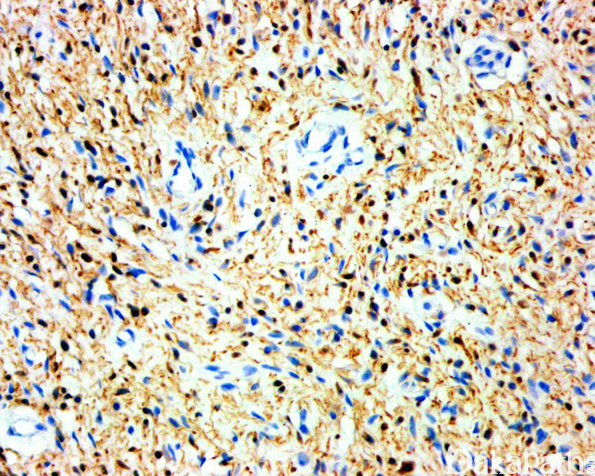
免疫组织化学染色:
S-100. MBP、XIIIa、CD34 阳性,可见 EMA 阳性神经束膜细胞,NF 阳性的轴突成分
分子标记:
多不伴有 NF1
鉴别诊断:
神经鞘瘤:常见包膜,多发生于头颈部和四肢,病变内少见 CD34 阳性的纤维母细胞,病变内无 NF 阳性的轴突
预后:
多为良性,极少数病例(特别是与 NF1 相关者)可发生恶变
治疗:
局部切除
参考文献:
王坚,朱雄增. 《软组织肿瘤病理学》(第二版),北京:人民卫生出版社,2017 年