微囊/网状型神经鞘瘤

Microcystic / reticular schwannoma

同义词(或曾用名): 神经鞘瘤

概述:

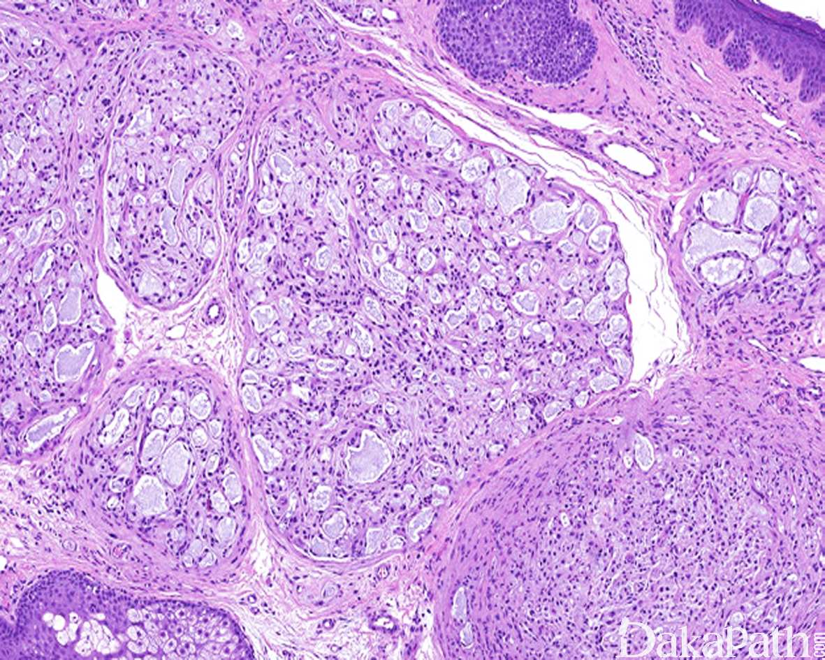
大部分或完全由位于黏液性基质内的微囊和/或网状结构组成的一种少见组织学类型的神经鞘瘤

发病部位: 全身各部位均可发生,80%发生于深部软组织或内脏器官,约 50%发生于胃肠道

免疫组织化学染色:

弥漫强表达 S100 蛋白和 SOX10,部分表达 GFAP,偶尔包膜周围可见 EMA 阳性的神经束膜细胞,不表达 SMA, desmin,CD34,CK,DOG1,b-catenin,偶尔可局灶弱表达 CD117。

鉴别诊断:

胃肠道间质肿瘤:免疫组化染色表达 CD117, DOG1 和 CD34;

丛状纤维黏液瘤:,呈丛状多结节状生长,无网状或微囊状排列结构,免疫组化染色表达 SMA 和 CD10;

印戒细胞癌:瘤细胞核具有异型性,细胞黏附性较差,免疫组化染色表达 CK,不表达 S100 蛋白。

预后:

良性

治疗:

完整切除

病例报道:

BMC Gastroenterol. 2014 Nov 18;14:193. doi: 10.1186/s12876-014-0193-y.

Microcystic/reticular schwannoma of the esophagus: the first case report and a diagnostic pitfall.

Gu MJ1, Choi JH.

参考文献:

Am J Surg Pathol. 2008 Jul;32(7):1080-7. doi: 10.1097/PAS.0b013e318160cfda.

Microcystic/reticular schwannoma: a distinct variant with predilection for visceral locations.

Liegl B1, Bennett MW, Fletcher CD.

Ann Diagn Pathol. 2011 Jun;15(3):198-201. doi: 10.1016/j.anndiagpath.2010.02.011. Epub 2010 May 7. Reticular and microcystic schwannoma: a distinctive tumor of the gastrointestinal tract.

Chetty R1.