恶性周围神经鞘膜肿瘤
Malignant Peripheral Nerve Sheath Tumor
同义词(或曾用名): 神经源性肉瘤、神经纤维肉瘤、和恶性神经鞘瘤
概述:
是一种起源于周围神经或显示有神经鞘膜不同成分分化的恶性肿瘤。
发病部位: 多起源于颈部,前臂,下肢和臀部的大神经。
诊断要点:
任何年龄均可发病,多发生于 30 ~ 60 岁间的成年人;
常被覆一层厚薄不均的纤维性假包膜,切面呈灰白或灰红色,常伴有出血和坏死;
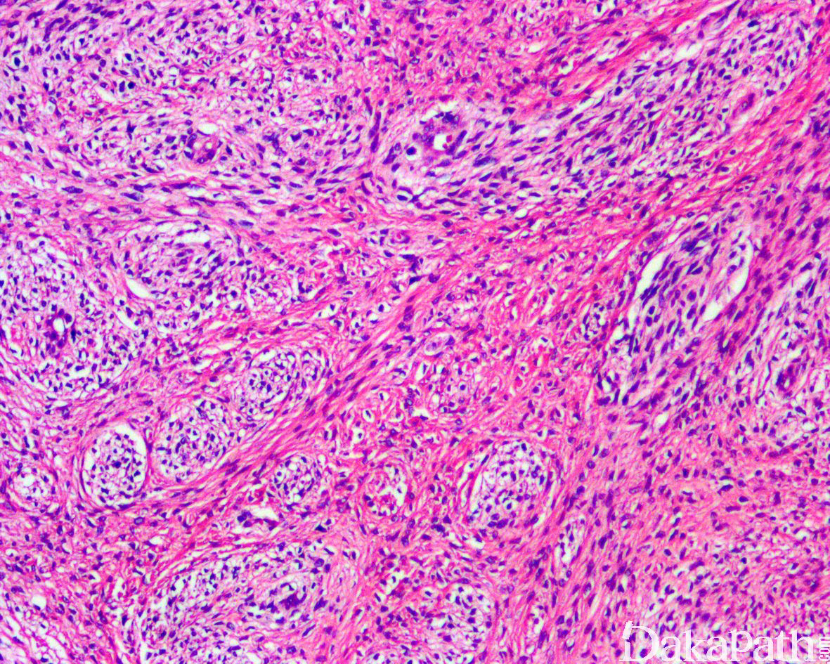
MPNST 的组织学形态比较复杂,提示 MPNST 诊断形态学特点包括:可见肿瘤起自于神经,或在神经内扩展,或累及神经节,或在肿瘤内能看到孤立性或丛状神经纤维瘤的成分;
类似纤维肉瘤,弥漫状生长;
可见地图样坏死,坏死区周围细胞呈栅栏状排列,类似胶质母细胞瘤;
血管周围常见密集的瘤细胞,瘤细胞似施万细胞的形态特点,核深染,核端呈圆形或锥形,核分裂像易见,可呈细长的波浪状;
可见具有明显多形性的大细胞,并常见多核巨细胞;
可见异源性成分,如横纹肌母细胞、软骨、骨、腺体等;
低级别 MPNST 显示中等程度的细胞密度,散在的核非典型性, 3 个/10HPF <核分裂象< 9 个 10/HPF,无肿瘤性坏死;
高级别 MPNST 显示瘤细胞密度明显增加,弥漫的核非典型性,核分裂象 ≥10 个/10HPF 或存在肿瘤性坏死。

免疫组织化学染色:
50%-90%S-100 灶性弱阳性;低级别肿瘤 S100 多呈弥漫阳性;约 50%病例可见 H3K27me3 表达缺失,Leu-7/CD57. P53 阳性;CD34 及 GFAP 不同程度阳性;与神经纤维瘤恶性转化相关的 MPNST 在恶性成分区域常见 P53 过表达和 P16 表达缺失;EMA、CK7. CK19. keratin、SMA、desmin、HMB45 及 MART-1 均阴性;异源性横纹肌成分显示 desmin 及 myogenin 阳性。
鉴别诊断:
1. 单相型滑膜肉瘤: 较难鉴别,因为约 30%的单相型滑膜肉瘤可表达 S100;结合 IHC:EMA\BCL2\CD99\CK7\CK19(+)有助于滑膜肉瘤的诊断,必要时可检测 t(X;18)的 SYT-SSX1/2 融合基因来确诊。
2. 富细胞性神经鞘瘤: 缺乏恶性细胞学特征;常见血管壁玻璃样变性,血管周围淋巴细胞浸润,泡沫细胞反应;异源性成分不常见;S100 弥漫强阳性。
3. 平滑肌肉瘤: 缺乏稀疏区与致密区相间的趋势,无核扭曲逗点状、波浪状等,S100 阴性,SMA 阳性。
预后:
恶性度高,常发生转移。
治疗:
手术为主,辅以放疗或化疗。
病例报道:
参考文献:
Bates JE et al: Malignant peripheral nerve sheath tumors (MPNST): a SEER analysis of incidence across the age spectrum and therapeutic interventions in the pediatric population. Pediatr Blood Cancer. 61(11):1955-60, 2014
Pekmezci M et al: Morphologic and immunohistochemical features of malignant peripheral nerve sheath tumors and cellular schwannomas. Mod Pathol. ePub, 2014
Thway K et al: Malignant peripheral nerve sheath tumor: pathology and genetics. Ann Diagn Pathol. 18(2):109-16, 2014
Endo M et al: Conventional spindle cell-type malignant peripheral nerve sheath tumor arising in a sporadic schwannoma. Hum Pathol. 44(12):2845-8, 2013
Kolberg M et al: Survival meta-analyses for >1800 malignant peripheral nerve sheath tumor patients with and without neurofibromatosis type 1. Neuro Oncol. 15(2):135-47, 2013
Park SJ et al: Serum biomarkers for neurofibromatosis type 1 and early detection of malignant peripheral nerve-sheath tumors. BMC Med. 11:109, 2013
Stricker TP et al: Expression profiling of 519 kinase genes in matched malignant peripheral nerve sheath tumor/plexiform neurofibroma samples is discriminatory and identifies mitotic regulators BUB1B, PBK and NEK2 as overexpressed with transformation. Mod Pathol. 26(7):930-43, 2013