杂合性外周神经鞘肿瘤
Hybrid nerve sheath tumor
概述:
良性杂合/复合性神经鞘膜肿瘤,具有神经纤维瘤、神经鞘瘤和神经束膜瘤中 2 种或以上的分化方向;最常见的杂合表现为肿瘤具有密切混杂的神经鞘细胞和神经束膜细胞特征。
发病部位: 肢体最多见,其次为头颈部和躯干,结直肠亦可发生。
诊断要点:
发病年龄谱系宽广,2-85 岁,平均年龄 38 岁,70%以上在 20-50 岁之间,男女好发均等,无神经纤维瘤病综合征;
临床通常表现为浅表软组织无痛性的孤立性结节,偶见于肌内,瘤体直径 0.7-17.5cm(平均 3cm);
肿瘤通常界限清楚但无包膜;镜下局灶可见浸润性边界,可见内陷的脂肪;
组织学形态特征与其成份有关:神经鞘瘤/神经束膜瘤为最常见,也有神经纤维瘤/神经鞘瘤,神经束膜瘤瘤/颗粒细胞瘤等组合。
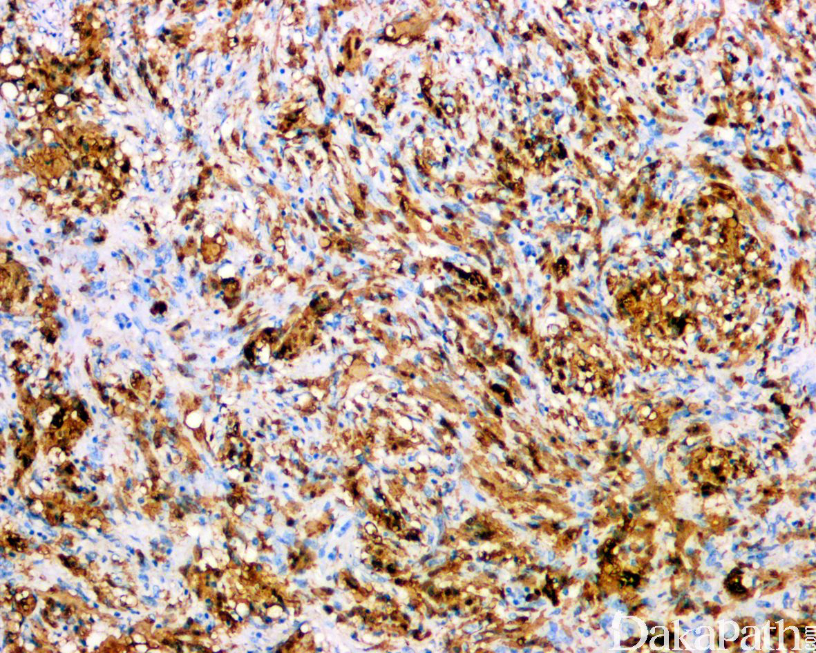
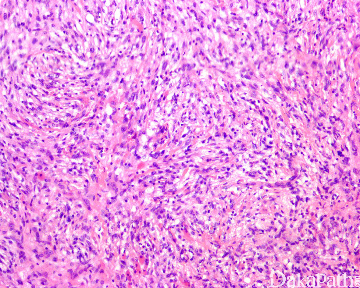
杂合性神经鞘瘤/神经束膜瘤的肿瘤细胞呈席纹状、旋涡状、层状排列,梭形瘤细胞具有少量浅嗜酸性的胞浆,细胞边界不清,核肥胖且两端变细。间质可见不同程度的纤维化和局灶的黏液变性。在神经鞘膜细胞之间为与之平行排列的呈两端细长而伸展的神经束膜细胞,在 HE 染色下观察可能并不明显,EMA、Claudin-1 免疫组化染色可清晰的显示(见后免疫组化染色)。
瘤细胞核形态温和,偶见退行性变的非典型性,罕见核分裂象,无肿瘤性坏死。

免疫组织化学染色:
S100. SOX10. GFAP 等神经鞘膜细胞阳性,EMA、Claudin-1. cd34 神经束膜细胞阳性,两者呈交错的平行性分布。
鉴别诊断:
低级别恶性外周神经鞘膜瘤:肿瘤细胞具有至少局灶的核深染和粗糙的染色质特征等真正的非典型性(不同于退变的非典型性,核模糊不清),可见数量不等的核分裂象,瘤细胞疏密不均匀,免疫组化染色非常罕见表达 EMA;
NTRK1 重排的间叶性肿瘤:NTRK1 重排,S100 和 CD34 阳性,但不表达 EMA 和 SOX10。
预后:
良性,切除不尽的情况下偶见复发
治疗:
肿瘤完整切除
病例报道:
Emanuel P, Pertsemlidis DS, Gordon R, et al. Benign hybrid perineurioma-schwannoma in the colon. A case report. Ann Diagn Pathol. 2006;10:367–370. 参考文献:
Hornick J L , Bundock E A , Fletcher C D M . Hybrid Schwannoma/Perineurioma: Clinicopathologic Analysis of 42 Distinctive Benign Nerve Sheath Tumors[J]. The American Journal of Surgical Pathology, 2009, 33(10):1554.