硬化性神经束膜瘤
Sclerosing Perineurioma
概述:
是一种软组织内神经束膜瘤的特殊亚型,主要发生于青年男性的手部,可累及双侧。
诊断要点:
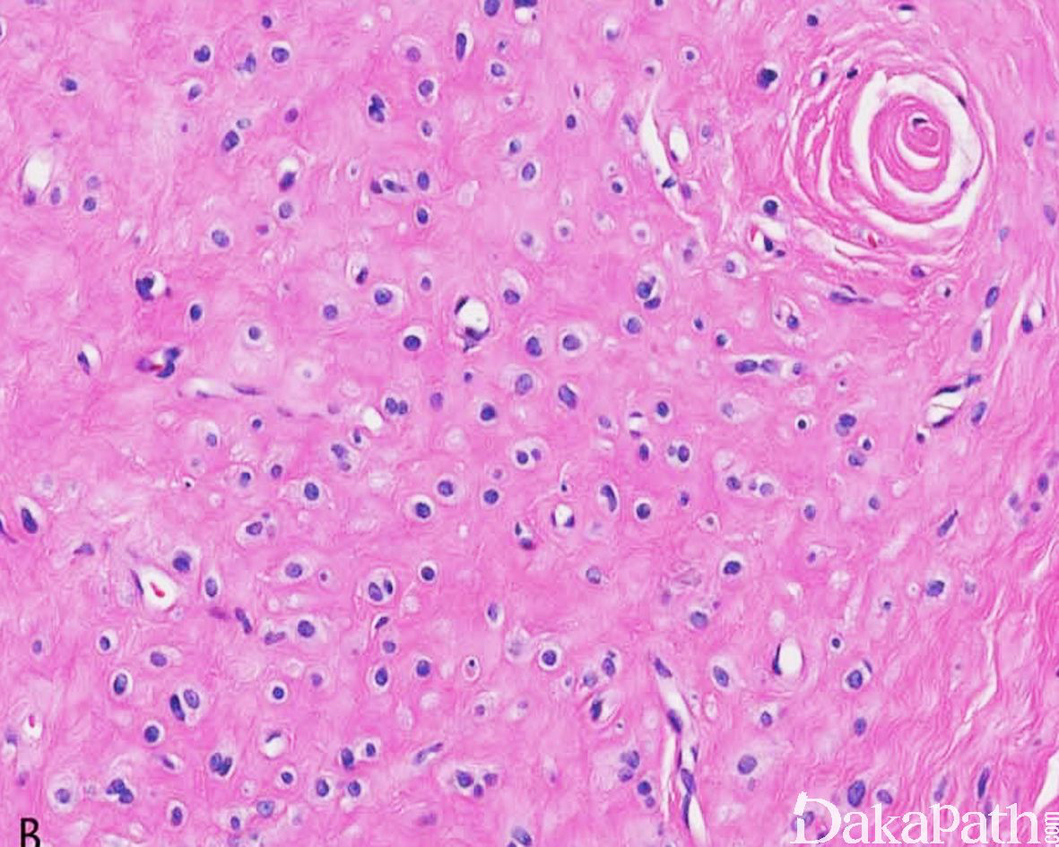
瘤细胞呈梭形至圆形,呈索状、梁状和链状排列;
间质大量纤维组织增生、硬化;
瘤细胞无异型性,无核分裂象。

免疫组织化学染色:
EMA、claudin-1 及 GLUT1 阳性,E 不同程度表达 CD34;约 50%病例 α-SMA 或 MSA 阳性
分子标记:
可见 22 号染色体缺失
鉴别诊断:
硬化性上皮样纤维肉瘤:瘤体较大,呈浸润性生长,瘤细胞较密集,可见核分裂象,免疫组化染色表达 MUC4,遗传学上可见特征性的 FUS 基因重排。
预后:
良性
治疗:
切除
病例报道:
J Cutan Pathol. 2003 Oct;30(9):577-81. Cutaneous sclerosing perineurioma of the digits: an uncommon soft-tissue neoplasm. Report of two cases with immunohistochemical analysis.
Canales-Ibarra C1, Magariños G, Olsoff-Pagovich P, Ortiz-Hidalgo C.
参考文献:
Fetsch JF, Miettinen M. Sclerosing perineurioma: a clinicopathologic study of 19 cases of a distinctive soft tissue lesion with a predilection for the fingers and palms of young adults. Am J Surg Pathol. 1997;21: 1433–1442.