神经内神经束膜瘤
Intraneural Perineurioma
同义词(或曾用名): 局限性肥大性神经病
概述:
是一种发生于神经内,完全由神经束膜细胞组成的肿瘤
发病部位: 上肢、、下肢、口腔和脑神经
诊断要点:
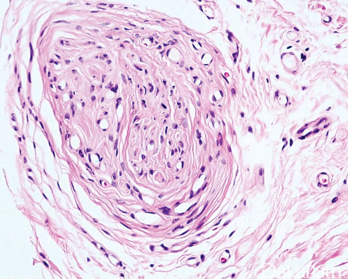
罕见,好发于儿童和青少年,多发生于上肢,受累神经呈梭形增大;
神经束膜细胞呈同心圆状围绕退变的轴突和少量施万细胞,形成特征性的“洋葱头”样结构;
细胞无异型性,罕见核分裂像。

免疫组织化学染色:
神经束膜细胞 EMA、claudin-1 及 GLUT1 阳性,EMA 可弱及/或局灶表达(需要仔细检查);施万细胞表达 S100,轴突表达 NF。
鉴别诊断:
创伤性神经瘤:常发生于创伤或截肢后,施万细胞、神经束膜和纤维母细胞呈结节状分布于胶原纤维间质之中。无围绕退变轴突形成的洋葱头样外观。
预后:
良性肿瘤
治疗:
局部完整切除
病例报道:
Intraneural perineurioma of the digital nerve: a case report.
Visser NJ, Bril H, van Loon J.
J Hand Surg Eur Vol. 2016 Oct;41(8):885-6. doi: 10.1177/1753193415592327. Epub 2015 Jun 26. No abstract available.
PMID:26115680
参考文献:
Boyanton BL Jr, Jones JK, Shenaq SM, et al. Intraneural perineurioma: a systematic review with illustrative cases. Arch Pathol Lab Med. 2007;131:1382–1392.