神经鞘黏液瘤
Nerve Sheath Myxoma
同义词(或曾用名): 真皮神经鞘黏液瘤
概述:
是一种良性皮肤神经鞘膜瘤伴雪旺细胞分化,黏液基质丰富,小叶结构清晰。
发病部位: 远端肢体,手和足部最常见
诊断要点:
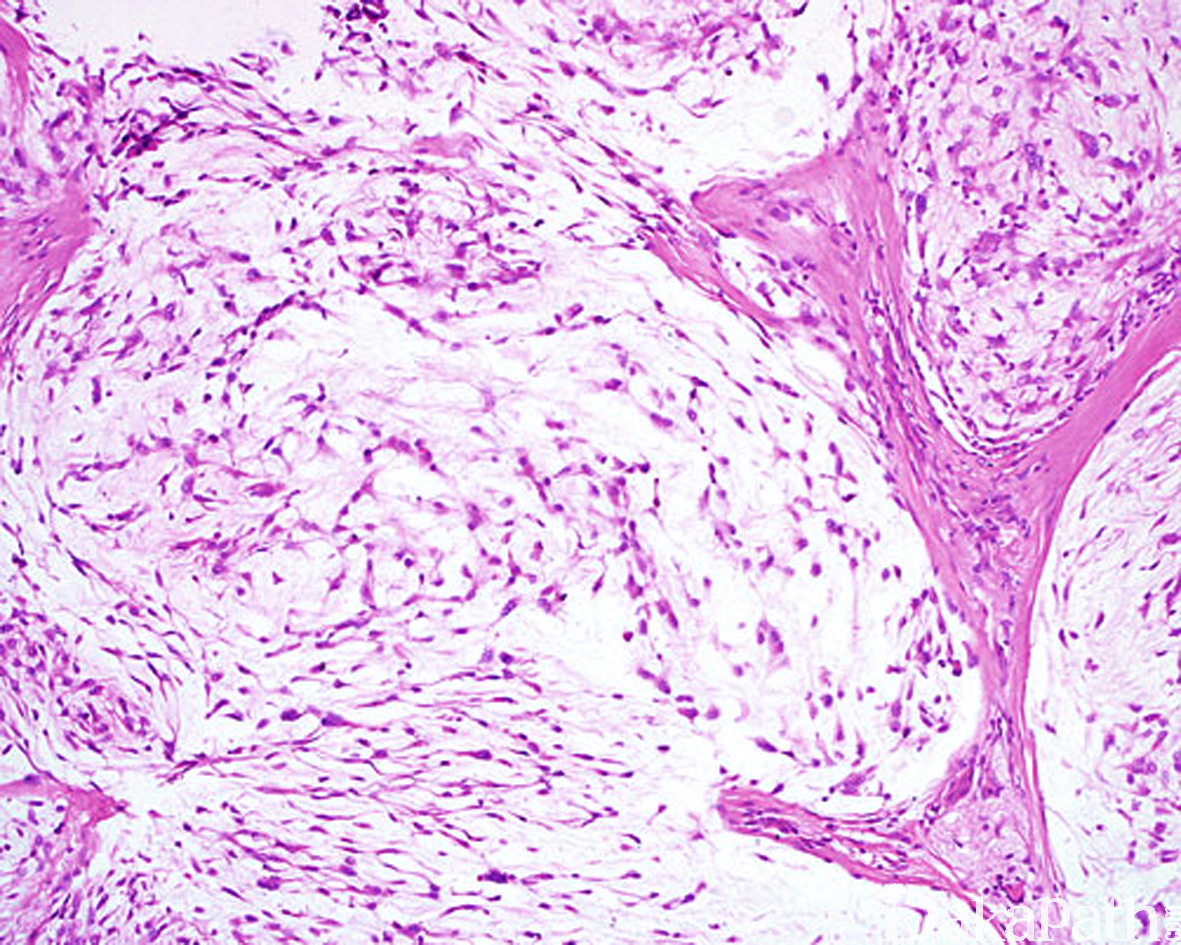
好发于中青年,以四肢远端多见,界限清楚,无包膜;
低倍镜下呈大小不等的小叶结构,小叶间为纤维结缔组织间隔;
小叶主要由星状或梭形细胞组成,偶见圆形上皮样细胞;
瘤细胞排列疏松,间质内含有大量的透明质酸或硫酸黏液,AB 染色为阳性;
瘤细胞的胞质呈淡嗜伊红色,常见细长的胞质突起,在小叶或结节的边缘肿瘤细胞常见胞浆内空泡形成印戒样排列;
小叶内的瘤细胞无异型性,核分裂像罕见。

免疫组织化学染色:
S-100. SOX10. GFAPvimentin 阳性;小叶或结节周围可见 EMA 阳性的神经束膜细胞;SMA、DES、CD68. HMB45. CD31 均阴性。
鉴别诊断:
细胞性 neurothekeoma(NTK):多见于头颈部和上肢,罕见于手和足;肿瘤边界不清楚,呈微结节装生长,瘤细胞上皮样细胞为主伴有丰富的浅染嗜酸性胞浆,黏液变性通常不广泛,免疫组化染色不表达 S100 蛋白和 SOX10,表达 CD68 和 CD10,MITF 等;
丛状神经纤维瘤:通常为 NF1 患者,丛状结构周围无厚的纤维性包膜围绕,肿瘤罕见广泛的黏液变性,免疫组化除了表达 S100 之外,尚可见 CD34 阳性的纤维母细胞和 NF 阳性的轴突。
预后:
单纯切除复发率可高达 45%,无转移潜能
治疗:
局部手术切除。
参考文献:
Suarez A et al: Immunohistochemical analysis of KBA.62 in 18 neurothekeomas: a potential marker for differentiating neurothekeoma, but a marker that may lead to confusion with melanocytic tumors. J Cutan Pathol. 41(1):36-41, 2014
Stratton J et al: Cellular neurothekeoma: analysis of 37 cases emphasizing atypical histologic features. Mod Pathol. Epub ahead of print, 2013
Sheth S et al: Differential gene expression profiles of neurothekeomas and nerve sheath myxomas by microarray analysis. Mod Pathol. 24(3):343-54, 2011
Vered M et al: Classic neurothekeoma (nerve sheath myxoma) and cellular neurothekeoma of the oral mucosa: immunohistochemical profiles. J Oral Pathol Med. 40(2):174-80, 2011
Nishioka M et al: Nerve sheath myxoma (neurothekeoma) arising in the oral cavity: histological and immunohistochemical features of 3 cases. Oral Surg Oral Med Oral Pathol Oral Radiol Endod. 107(5):e28-33, 2009
Fetsch JF et al: Neurothekeoma: an analysis of 178 tumors with detailed immunohistochemical data and long-term patient follow-up information. Am J Surg Pathol. 31(7):1103-14, 2007
Reimann JD et al: Myxoid dermatofibrosarcoma protuberans: a rare variant analyzed in a series of 23 cases. Am J Surg Pathol. 31(9):1371-7, 2007