腺样神经鞘瘤
Glandular Schwannoma
概述:
是一种含有类似于肠道、呼吸道或室管膜腺体的神经鞘瘤。
发病部位: 躯干和头颈部
诊断要点:
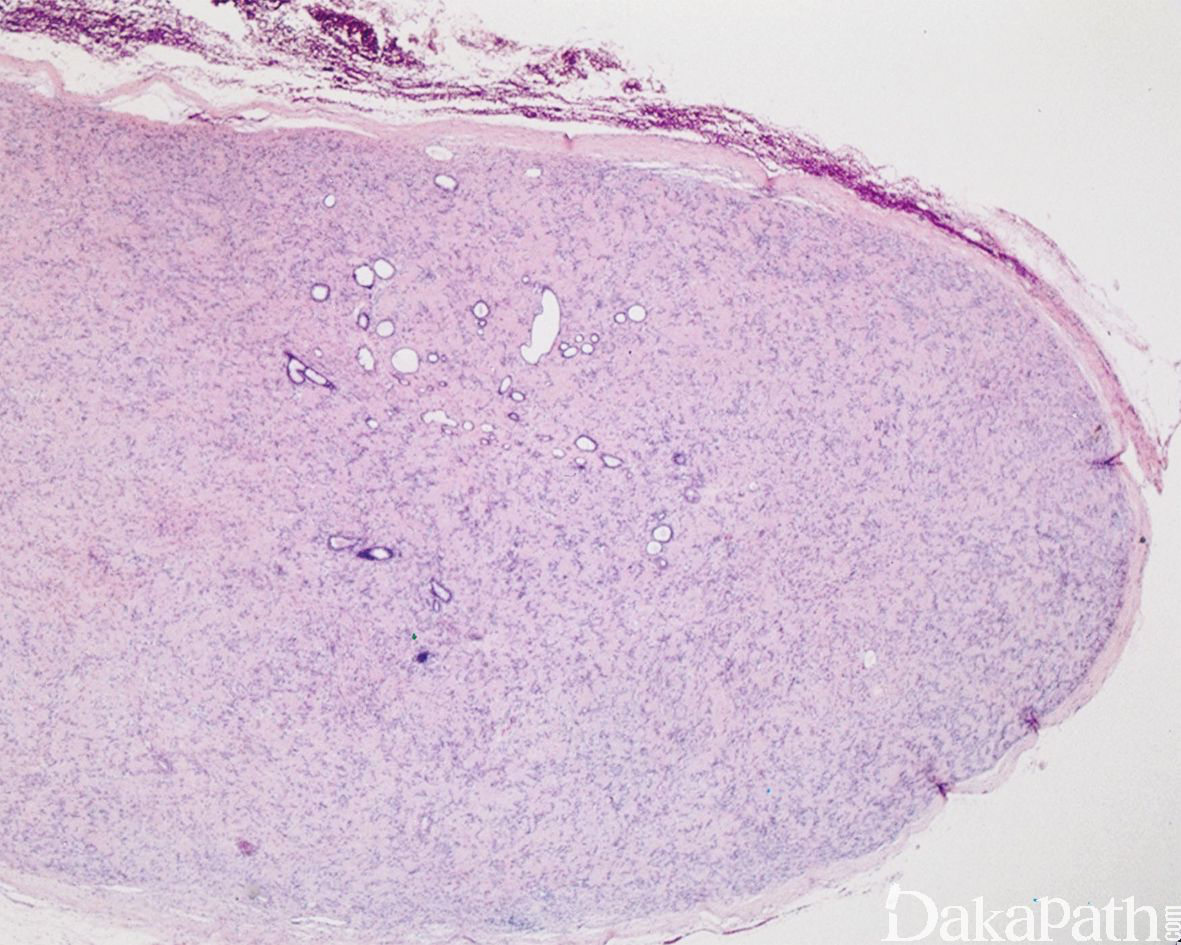
主要发生于可发生于躯干和头颈部,呈小的结节状;
镜下在经典的神经鞘瘤背景上可见多少不等的散在的、大小和形态不一的腺样结构;
腺上皮呈立方形或柱状,胞质内可含有黏液腔内,有时可见淡嗜伊红色分泌样物质;
细胞无明显异型性。

免疫组织化学染色:
梭形细胞表达 S-100 和 SOX10,腺样结构表达 AEl/AE3 和 EMA,少数可表达 CD57 和 CEA 等。
鉴别诊断:
假腺样神经鞘瘤:为在神经鞘瘤背景中出现类似于腺性结构的囊腔或裂隙样结构,免疫组化染色假腺样被覆为 S100 和 SOX10 阳性的施万细胞,CK 和 EMA 阴性。
恶性外周神经鞘膜瘤伴异源性的上皮分化:背景梭形细胞密集而丰富,核分裂象活跃,常见地图样坏死;免疫组化 S100 和 SOX10 通常较局灶,特征性的显示 H3K27me3 表达缺失。
滑膜肉瘤:梭形细胞与上皮性结构融洽且逐渐融合,上皮样结构的异质性较强;梭形瘤细胞密度更高,异型性明显,常见核分裂象,免疫组化染色表达 TLE-1,S100 蛋白通常为局灶阳性。
预后:
良性
治疗:
切除
病例报道:
Benign Glandular Schwannoma With Ancient Change.
Holliday AC, Mazloom SE, Coman GC, Kolodney MS, Chavan RN, Grider DJ.
Am J Dermatopathol. 2017 Apr;39(4):300-303. doi: 10.1097/DAD.0000000000000739. PMID:27805920
参考文献:
An unusual case of glandular schwannoma.
Chuang ST, Wang HL.
Hum Pathol. 2007 Apr;38(4):673-7. Epub 2007 Jan 25. PMID:17258283