退变性神经鞘瘤
Degenerated Schwannoma
同义词(或曾用名): 陈旧性神经鞘瘤
概述:
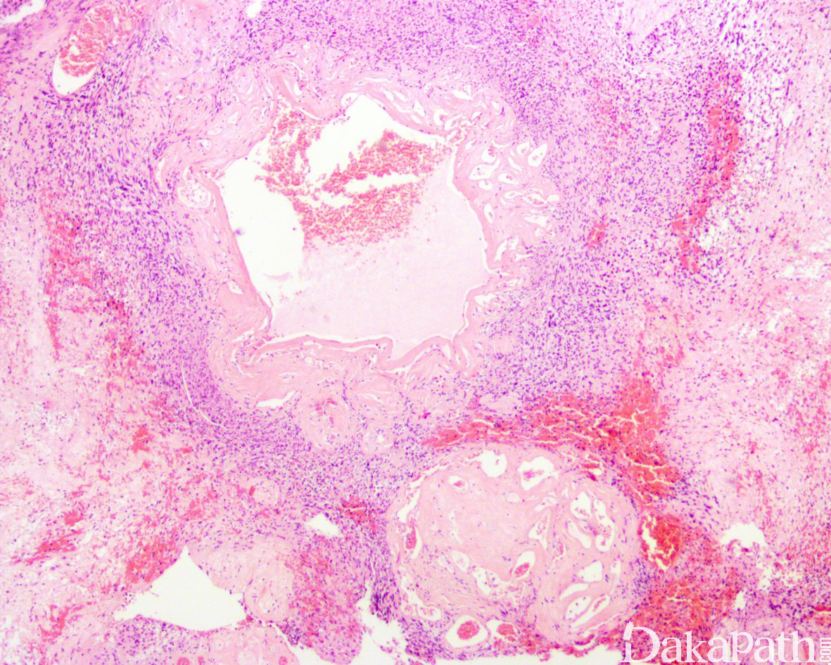
是一种显示退行性改变的神经鞘瘤。
发病部位: 深部软组织如后腹膜和纵膈胸腔等部位
诊断要点:
- 通常见于病程较长的肿瘤,多发生于深部软组织;
- 退行性改变主要表现为囊性变、钙化、陈旧性出血及机化、间质内或血管周围广泛而明显的透明样变性等;
- 肿瘤内常见大量吞噬含铁血黄素的组织细胞;
- 多数病例可见一些退变的核大深染的畸形瘤细胞,核常呈分叶状,可见核内包涵体;
- 罕见或无核分裂像。

免疫组织化学染色:
同普通的神经鞘瘤
鉴别诊断:
恶性周围神经鞘膜瘤:肿瘤细胞表现为真正的核异型性,如可见核仁,核分裂增多等;S100 蛋白和 SOX10 通常散在阳性,可见特征性的 H3K27me3 表达缺失;
多形性玻璃样变血管扩张性肿瘤:多位于肢端和肢带部位,免疫组化染色肿瘤细胞弥漫表达 CD34,不表达 S100 蛋白和 SOX10,遗传学上常见 MGEA5-TGFBR3 基因融合。
预后:
良性
治疗:
完整切除