透明细胞肉瘤
Clear Cell Sarcoma,CCS
同义词(或曾用名): 软组织黑色素瘤
概述:
具有黑色素分化的软组织肿瘤,组织学和免疫表型类似于恶性黑色素瘤,但具有特异性染色体易位 t(12;22)(q13;q12),并产生 EWS-ATF1 融合性基因
发病部位: 好发于四肢末端,尤以足和踝最为常见,其次为膝、大腿、手和前臂,位置多较深,常与腱鞘或腱膜紧密相连
诊断要点:
- 好发于四肢末端,尤以足和踝最为常见,其次为膝、大腿、手和前臂,位置多较深,常与腱鞘或腱膜紧密相连;
- 界限清晰,无包膜,分叶状或结节状,质地坚实,切面呈灰白色,可见点状或斑状暗褐色或黑色区;
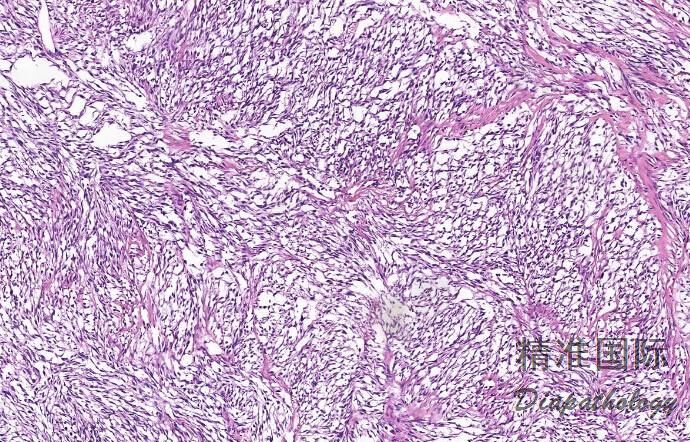
- 镜下由束状、巢状或片状的瘤细胞组成,其间为纤细的结缔组织间隔分隔;
- 瘤细胞呈多边形、卵圆形或胖梭形,胞质丰富嗜酸性或透亮,核呈圆形或卵圆形,淡染或呈空泡状,可见明显的嗜伊红色或嗜双色性核仁,有时可见多核瘤巨细胞;
- 可见核分裂像,一般<3 ~ 5 个/10HPF;
- 部分病例瘤细胞内可见黑色素颗粒,少数病例可见间质明显的黏液变性。

免疫组织化学染色:
S100. SOX10. HMB45. MelanA(A 103)、MiTF 常阳性。
分子标记:
75%以上的病例具有 t(12;22)(q13;q1 2),产生 EWSR1-ATFl 融合基因,约 5%可见 t(2;22)(q13;q12)转位产生 EWSR1-CREB1 融合基因
鉴别诊断:
恶性黑色素瘤 :表面或邻近皮肤交界性病变存在。瘤细胞多形性和异型性均较明显,核分裂像易见,检测 EWSR1-ATF1 融合基因有助于鉴别诊断。
胃肠道透明细胞肉瘤样肿瘤(胃肠道神经外胚层肿瘤,GNET):与软组织透明细胞肉瘤具有相似的遗传学特征包括 EWSR1-ATF1 融合以及 EWSR1-CREB1 融合基因。与软组织透明细胞肉瘤不同,GNET 瘤细胞大小相对一致,核仁不明显,间质内可见破骨样巨细胞分布,无瘤巨细胞形成。免疫组化染色表达 S100 蛋白和 SOX10 以及神经内分泌标志物,不表达黑色素细胞相关标志物如 HMB45 和 MELAN-A 等。
恶性外周神经鞘膜瘤:常与 NF1 或 2 相关,半数以上的肿瘤起源于先前存在的神经,瘤细胞梭形束状排列为主,免疫组化染色斑驳状表达 S100 蛋白或 SOX10,特征性的显示 H3K27ME3 表达缺失,不表达黑色素细胞相关标志物。
预后:
侵袭性强,常见复发和远处转移,转移常见于区域淋巴结、肺、骨等,总体死亡率可达 60%,5 年和 10 年总体生存率分别约为 67%和 33%。
治疗:
将肿瘤完整切除,必要时加上区域淋巴结清扫
病例报道:
Shenjere P, Salman W D, Singh M, et al. Intra-abdominal clear-cell sarcoma: a report of 3 cases, including 1 case with unusual morphological features, and review of the literature[J]. International Journal of Surgical Pathology, 2012, 20(4):378-385. 参考文献:
Kosemehmetoglu K , Folpe A L . Clear cell sarcoma of tendons and aponeuroses, and osteoclast-rich tumour of the gastrointestinal tract with features resembling clear cell sarcoma of soft parts: a review and update[J]. Journal of Clinical Pathology, 2010, 63(5):416-423.