肺上皮-肌上皮癌
Epithelial-Myoepithelial Carcinoma of the Lung
同义词(或曾用名): 肺细胞腺肌上皮瘤
概述:
是一种低度恶性上皮性肿瘤,具有双向分化,由管状结构的内层上皮细胞和外层的梭形、透明细胞样或浆细胞样肌上皮组成。
发病部位: 肿瘤几乎都位于支气管内
诊断要点:
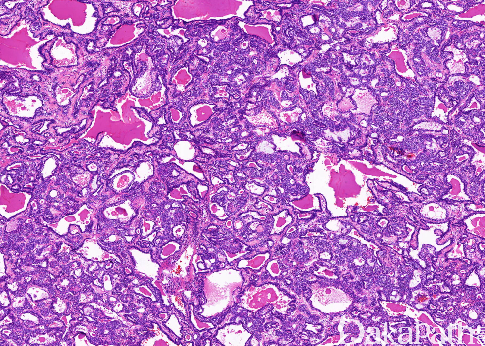
发病年龄范围在 30 ~ 71 岁之间,表现为支气管内质地均一、界限清楚的实性肿瘤,切面灰白-褐色,可伴黏液样外观;
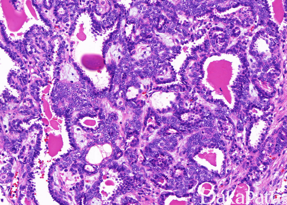
由两种细胞不同比例混合组成管状结构,偶可形成实性细胞巢;
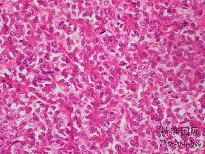
典型的导管由双层细胞衬附,由伴有嗜酸性胞浆的立方形内层细胞和伴有明显透明胞浆的外层细胞组成;
肌上皮细胞有时呈梭形,其增生形成实性细胞巢,其间很少腺上皮,甚至完全由肌上皮组成;
核分裂活性一般很低,很少有坏死;
肿瘤细胞可浸润周围肺实质。

免疫组织化学染色:
上皮细胞 CK 阳性,Vimentin、S100 阴性;肌上皮细胞 CD117. CK、GFAP 等弱阳性,S100 强阳性,EMA、HMB45 阴性。
鉴别诊断:
PEComa