肺腺鳞癌
Adenosquamous Carcinoma of the Lung
概述:
同时具有鳞状细胞癌和腺癌两种成分的癌,其中每种成分至少占全部肿瘤的 10%。
发病部位: 肺周边(周围型)
诊断要点:
通常位于肺的周围,部分病例可有中央瘢痕区;
同时具有鳞状细胞癌和腺癌两种成分的癌,其中每种成分至少占全部肿瘤的 10%;两种成分可能相互分开、相邻或混合存在;
鳞状细胞癌显示明确的角化或细胞间桥,腺癌显示腺泡、小管或乳头状结构;
部分病例可出现大细胞癌成分;
少数病例可伴有淀粉样物间质沉积。

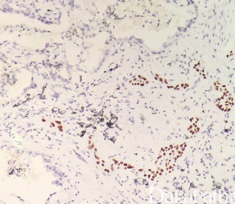
免疫组织化学染色:
鳞状细胞癌成分 p63. p40. CK5/6 阳性,腺癌成分 Napsin A、TTF1. CK7 等常阳性,对于分化差的,单纯形态学诊断有困难的病例可免疫组织化学染色辅助诊断。
鉴别诊断:
黏液表皮样癌:位于肺中央,具黏液腺、中间型细胞或鳞状细胞的混合,不伴有或伴有轻度异型性。高级别黏液表皮样癌与腺鳞癌鉴别困难,近端支气管内的外生性生长方式、黏液与鳞状细胞混合、含经典的低级别黏液表皮样癌区域支持高级别黏液表皮样癌的诊断;而细胞角化或鳞状角珠形成、原位鳞状细胞癌及小管样、腺泡样和乳头样生长方式等支持腺鳞癌的诊断。