肺基底样鳞状细胞癌
Lung Basaloid Squamous Cell Carcinoma
同义词(或曾用名): 基底样癌
概述:
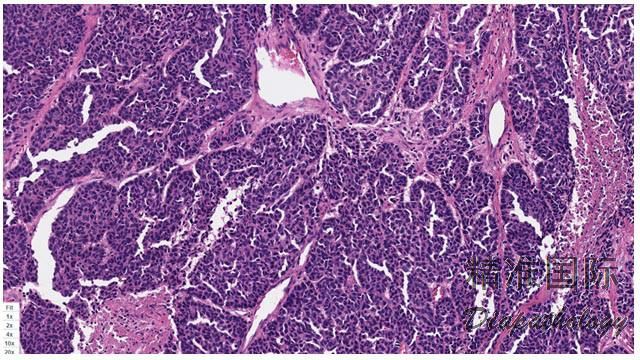
是一种分化较差的上皮性肿瘤,由小细胞增生形成小叶状结构,周边呈栅栏状排列,可伴有角化型或非角化型鳞癌成分,但基底样细胞成分>50%。
发病部位: 肺,中央型为主
诊断要点:
实性结节状或相互连通的梁状浸润性生长;
癌巢周围肿瘤细胞核呈栅栏状排列;
肿瘤细胞相对较小,形态一致,立方形或短梭形,染色质中等,细颗粒状或泡状,核仁小或无;胞浆稀少,但界限清楚;
核分裂像多见,(15-50 个/2mm2);
缺乏渐进性角化,但可能存在角化珠;
部分病例可见粉刺样坏死;
7.1/3 的病例可见菊型团;
周围支气管可见原位癌;
多数病例具有玻璃样变或黏液性间质;
可伴有角化或非角化鳞癌成分,但基底样细胞成分>50%;
弥漫性表达 P40. P63;所有病例均不同程度表达 CK5. CK5/6. CK1. CK10 和 CK14;TTF1 阴性;CgA、Syn 等常阴性;Ki-67 指数 50-80%。

免疫组织化学染色:
弥漫性表达 P40. P63;所有病例均不同程度表达 CK5. CK5/6. CK1. CK10 和 CK14;TTF1 阴性;CgA、Syn 等常阴性;Ki-67 指数 50-80%。
鉴别诊断:
1. 大细胞神经内分泌癌:
基底细胞样鳞癌可具有菊型团,应和大细胞神经内分泌癌鉴别。基底样鳞状细胞癌弥漫性强表达细胞角蛋白、P40. P63 等,而大细胞神经内分泌癌常弱表达细胞角蛋白,不表达 P40. P63 等;相反大细胞神经内分泌癌常弥漫性表达神经内分泌标记和 TTF1,而基底细胞鳞状状细胞癌则不表达神经内分泌标记(CD56 除外)及 TTF1。
2. 小细胞癌:
一些基底细胞样鳞癌细胞可以很小,很像小细胞癌。细胞黏附性好,核碎片少,局灶鳞状分化,无核固缩样核染色,缺乏菊型团及核拥挤等支持基底样鳞状细胞癌;另外,细胞体积更小,核浆比例高、无核仁等也更支持基底样鳞状细胞癌。基底样鳞状细胞癌弥漫性强表达细胞角蛋白、P40. P63 等,而小细胞癌常弱表达细胞角蛋白(点状),不表达 P40. P63 等; 相反小细胞癌常弥漫性表达神经内分泌标记和 TTF1,而基底细胞鳞状状细胞癌则不表达神经内分泌标记(CD56 除外)及 TTF1。
3. 肺腺样囊性癌 :CD117 阳性、肌上皮标记 SMA 阳性及 MYB 基因异位(FISH)等有助于腺样囊性癌与基底样鳞状细胞癌鉴别。
4. NUT 癌:鉴别困难,都可有鳞癌分化,NUT 免疫组化染色有助于鉴别诊断。
5. 低分化 鳞状细胞癌 :栅栏状结构有助于与低分化鳞状细胞癌鉴别。
6. 低分化腺癌 :P40. P63 常阴性;TTF1. Napsin A、CK7 常阳性可与基底样鳞状细胞癌鉴别。