肺乳头状腺癌
Lung Papillary Adenocarcinoma
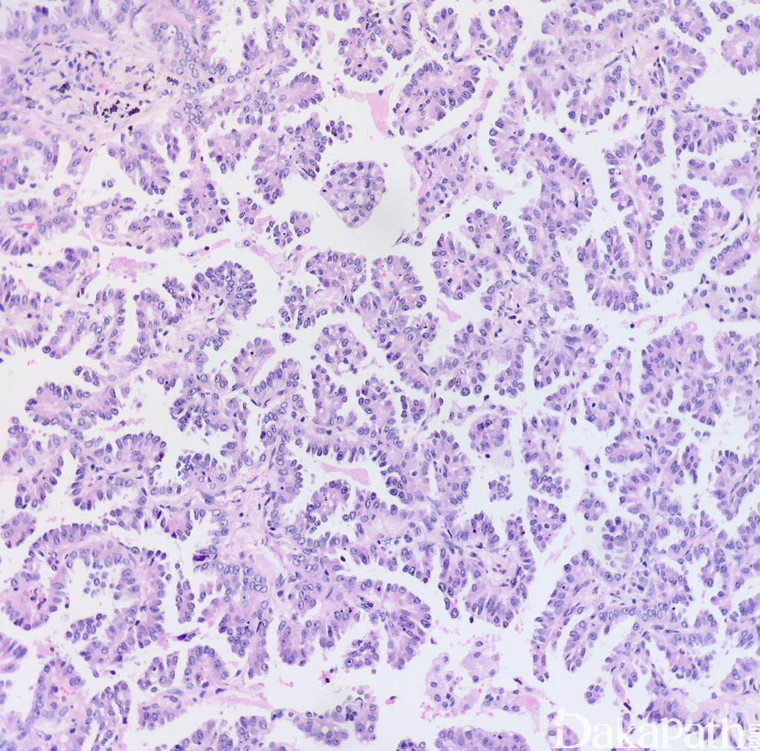
同义词(或曾用名): 乳头为主型腺癌、乳头状腺癌
发病部位: 腺癌很少位于中央,表现为肺门或肺门周围的肿块。大约 15%的病例有胸膜或胸壁累及。
诊断要点:
主要由有纤维血管轴心的乳头状结构构成;
不需要间质浸润的证据;
如肿瘤性腺泡或肺泡腔充满乳头或微乳头,应分类为乳头型或微乳头型腺癌;
4.40-60%亚洲人群发生 EGFR 突变,不足 10%的患者有 ALK 基因重排。

免疫组织化学染色:
CK7. TTF1. Napsin A、SP-A、CEA、CAM5.2. B72.3. Ber-EP4. MOC31 常阳性;P63. P40. CK5/6. WT1. Calretinin 常阴性。
分子标记:
40-60%亚洲人群发生 EGFR 突变,不足 10%的患者有 ALK 基因重排
鉴别诊断:
转移性腺癌 :免疫组化 TTF1. Napsin A、SP-A 中的一种或以上阳性支持原发性肺腺癌的诊断,但应注意甲状腺腺癌 TTF1 阳性。
单向分化间皮瘤 :免疫组化染色有助于鉴别诊断。
诊断 | ","serif";"="">CEA | ","serif";"="">Ber-EP4 | ","serif";"="">MOC31 | ","serif";"="">TTF-1 | ","serif";"="">WT-1 | ","serif";"="">Calretinin | ","serif";"="">D2-40 | ","serif";"="">B72.3 | ","serif";"="">CK5/6 |
腺癌 | ","serif";"="">+ | ","serif";"="">+ | ","serif";"="">+ | ","serif";"="">+ | ","serif";"="">- | ","serif";"="">- | ","serif";"="">- | ","serif";"="">+ | ","serif";"="">- |
恶性间皮瘤 | ","serif";"="">- | ","serif";"="">- | ","serif";"="">- | ","serif";"="">- | ","serif";"="">+ | ","serif";"="">+ | ","serif";"="">+ | ","serif";"="">- | ","serif";"="">+ |
治疗:
EGFR 敏感性晚期患者可采用酪氨酸激酶抑制剂治疗