肺浸润性黏液腺癌
Lung Invasive Mucinous Adenocarcinoma
同义词(或曾用名): 黏液型细支气管肺泡癌、黏液腺癌
发病部位: 腺癌很少位于中央,表现为肺门或肺门周围的肿块。大约 15%的病例有胸膜或胸壁累及。
诊断要点:
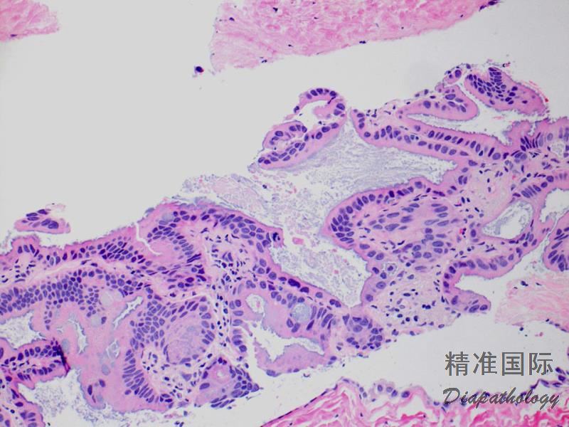
肿瘤细胞呈杯状或高柱状,胞浆黏液丰富;
细胞异型不明显或无异型,核小,位于细胞基底部;
腺泡内常含黏液;
可包含其它成分如贴壁生长、腺泡、乳头、微乳头、实性生长;
该肿瘤倾向多中心、多肺叶和双肺累及
偶尔可黏液和非黏液混合,这时应注明浸润性黏液腺癌的百分比。如果每种成分都达到 10%,应诊断为混合性黏液和非黏 液腺癌;
浸润性黏液腺癌应和产生黏液但细胞缺乏杯状或高柱状特点的其它类型腺癌特别是腺泡为主型腺癌鉴别。

免疫组织化学染色:
CK7. CK20. HNF4α 常阳性;P63. P40. CK5/6. WT1. Calretinin、TTF1. Napsin A 常阴性。
鉴别诊断: