肺胎儿型腺癌
Lung Fetal Adenocarcinoma
同义词(或曾用名): 肺似胚胎肺的内胚层肿瘤
发病部位: 腺癌很少位于中央,表现为肺门或肺门周围的肿块。大约 15%的病例有胸膜或胸壁累及
诊断要点:
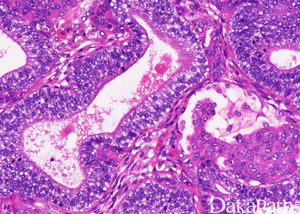
由管状腺样结构构成;
细胞富含糖原,无纤毛,似胚胎肺的腺管;
常见核下空泡是其特点;
低级别者细胞核仅轻度异型伴桑椹样结构(鳞状上皮样细胞巢,但无角化及细胞间桥);
肿瘤性腺体被疏松的纤维黏液间质包绕;
高级别者细胞异型明显,缺乏桑椹样结构,并见向其他普通型腺癌转化区域。

免疫组织化学染色:
低级别者表达 TTF1,核 β-catenin,90%低级别病例表达神经内分泌标记 CgA、Syn, 高级别者仅 50%表达神经内分泌标记,但常表达 AFP、SALL4. glypican-3。
鉴别诊断:
子宫内膜腺癌转移 :肺胚胎样腺癌 ER、PR 及 PAX8 阴性,可与子宫内腺癌转移鉴别。
← 肺贴壁型腺癌,非黏液型 肺乳头状腺癌 →