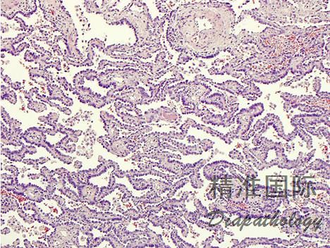
肺贴壁型腺癌,非黏液型
Lung Lepidic Adenocarcinoma,non-mucinous
同义词(或曾用名): 贴壁为主型腺癌、细支气管肺泡癌
发病部位: 腺癌很少位于中央,表现为肺门或肺门周围的肿块。大约 15%的病例有胸膜或胸壁累及。
诊断要点:
以贴壁生长(肿瘤细胞沿原有的肺泡壁生长,原肺泡支架存在)方式为主;
相当于原细支气管肺泡癌的非黏液型,由 II 型肺泡上皮或 Clara 细胞组成,II 型肺泡上皮与 Clara 细胞形态上无明显不同,形态上不建议将两者区分,细胞可异型轻微;
最少有 1 处浸润灶最大径大于 5 mm;
浸润的形式:
1) 出现非贴壁生长方式,如腺泡状、乳头状、微乳头状、实体型;
2) 肌纤维母细胞间质伴浸润的癌细胞;
3) 血管或胸膜浸润;
4) 通过气道扩散
出现下列形态学改变应诊断贴壁型腺癌,而不诊断微小浸润癌:
淋巴管、血管或胸膜侵犯;
出现肿瘤坏死;
浸润成分大于 5 mm;
肿瘤周围肺实质显示肿瘤经气道扩散。
40-60%亚洲人群发生 EGFR 突变,不足 10%的患者有 ALK 基因重排。

免疫组织化学染色:
CK7. TTF1. Napsin A、SP-A、CEA、CAM5.2. Ber-EP4. MOC31 常阳性; P63. P40. CK5/6. WT1. Calretinin、P504s、PSA、P501s、AFP 常阴性。
分子标记:
40-60%亚洲人群发生 EGFR 突变,不足 10%的患者有 ALK 基因重排
鉴别诊断:
微小浸润型腺癌 :如具备以下 4 点特点中的 1 条就应诊断为浸润性腺癌:
大小 >3cm;
浸润灶最大径>5 mm;
通过气道播散;
界限不清,浸润周围肺间质;
淋巴管、血管或胸膜侵犯;
出现肿瘤坏死。