肺多形性癌
Pleomorphic Carcinoma of the Lung
同义词(或曾用名): 肺巨细胞癌,肺梭形细胞癌
概述:
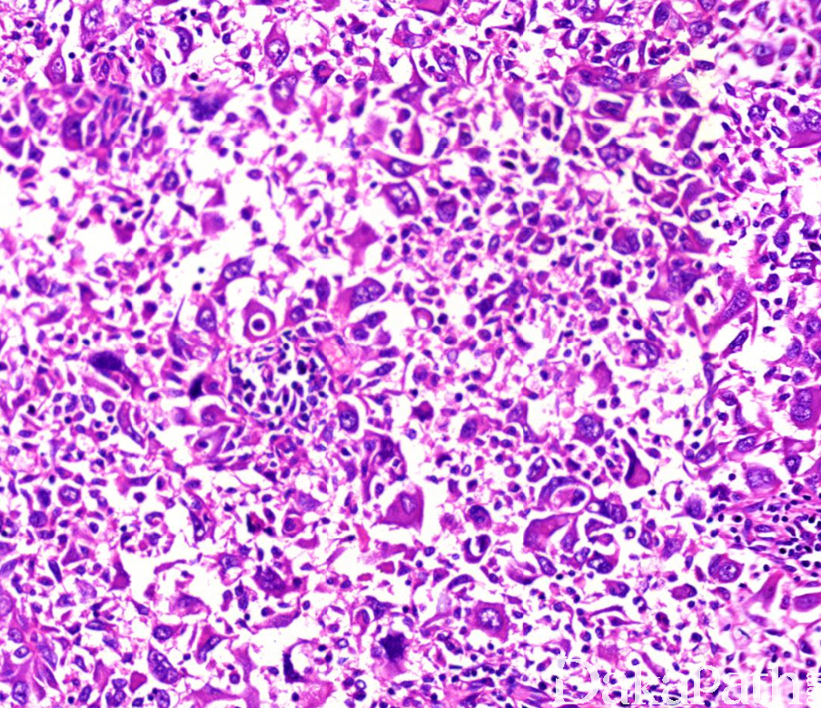
是一种分化差的非小细胞肺癌,至少 10%的区域由梭形细胞和/或巨细胞构成,或者完全由梭形和巨细胞成分组成。
发病部位: 肺
诊断要点:
在腺癌、鳞状细胞癌或未分化非小细胞癌的背景上至少存在 10%的密切相关的恶性梭形细胞和/或巨细胞成分;
部分病例可完全由梭形细胞和巨细胞组成,分别称为梭形细胞癌和巨细胞癌;
梭形细胞形态不一,可从上皮样到具有平滑肌特点的间充质样细胞均可见到,可呈束状或席纹状排列;
巨细胞黏附性差,呈多角形,胞浆致密,嗜酸性,核多形性,可单核、多核或多叶核;
常见到大血管浸润及广泛坏死;
间质多少不一,可为梭形细胞成分,也可有黏液变性;
少数鳞状细胞癌可见相互吻合的充满红细胞的腔隙,衬覆间变的上皮样细胞,局部聚集成假乳头,似血管肉瘤结构,被称为假血管肉瘤样癌;
诊断时应报告鳞状细胞癌、腺癌成分(如多形性癌伴腺癌)。

免疫组织化学染色:
CK 阳性;鳞状细胞癌成分表达 p63. p40 ;腺癌成分可表达 Napsin A、TTF1 等。
鉴别诊断:
1. 恶性黑色素瘤: 免疫组织化学染色 S100. HMB45. Melan A、SOX10. MITF 阳性;TTF1 阴性。
2. 滑膜肉瘤: TLE1 阳性,SYT 基因断裂 FISH 检测可助鉴别。
3. 血管肉瘤: CD31. CD34. ERG1 阳性。
预后:
预后差。
← 肺弥漫大B细胞淋巴瘤 肺胶样腺癌 →