毛细胞白血病
Hairy Cell Leukemia, HCL
概述:
HCL 是惰性成熟 B 细胞肿瘤。瘤细胞曾椭圆形,胞浆丰富伴周围毛状突起。除表达 B 细胞相关抗原外(CD19. CD20 和 CD22),还特征性表达 CD103. CD25,CD11c,TRAP 和 Annexin A1。主要累及外周血、骨髓和脾脏红髓。
发病部位: 主要累及外周血、骨髓和脾脏红髓。
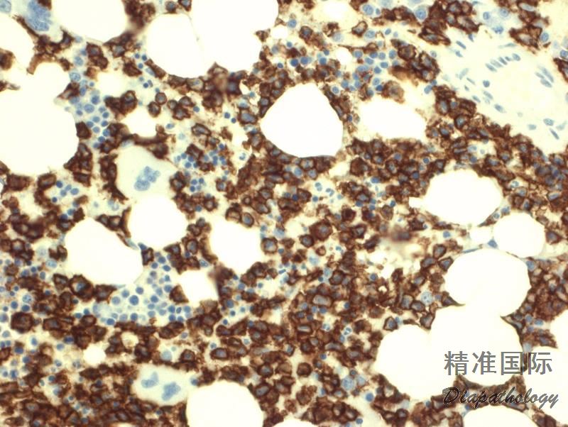
诊断要点:
- 发病年龄中位数 58 岁,多为男性。主要表现为脾脏肿大和血细胞减少及由此导致的感染、虚弱和乏力。显著的单核细胞减少具有特征性。外周血通常只含少量循环瘤细胞,如大量出现,则要考虑 HCL 变异型可能。
- 全血细胞包括单核细胞减少,少量循环毛细胞,其特征为椭圆形核小细胞,胞质丰富,无明显核仁,环细胞表面有毛样突起。
- 骨髓间质弥漫侵润,但瘤细胞不聚集成结节。免疫组化 CD20 染色,瘤细胞呈“煎鸡蛋”样形状。有显著网织纤维化。
- 脾脏红髓弥漫侵润,可见特征性“红细胞湖泊”。
- 流式细胞:B 细胞抗原(CD20,CD22)和轻链强阳性,并特征性表达 CD103. CD25. CD11c、CD123,不表达 CD5。
- 免疫组化:CD20+,DBA.44+,TRAP+,Annexin A1+,cyclin D1+,CD5-
- BRAF(V600E)突变(几乎所有病例)。

鉴别诊断:
- 脾脏边缘区淋巴瘤 (SMZL):白细胞和淋巴细胞计数通常高,瘤细胞可见浆细胞样分化或极性绒毛。通常不表达 CD103 和 CD123。骨髓可呈现局灶侵润,甚至形成虑泡。脾脏以累及白髓为主,虽然也常伴红髓浸润。一般无 BRAF 突变。
- 毛细胞白血病变异型 (HCL-V)(属脾 B 细胞白血病,不可分类):外周血异型淋巴细胞明显升高,细胞核较大含核仁,大多不表达 CD25 和 CD123。在骨髓,可类似 HCL 呈现间质弥漫侵润,但也可能有显著的窦内累及。无 BRAF 突变。
预后:
临床病情进展缓慢,10 年存活期超过 90%。
治疗:
目前最常用药物为嘌呤类似物。脾切除术或 α 干扰素已少用。较新的药物有 BRAF 抑制剂,rituximab,抗 CD25,抗 CD22 免疫毒素。