脾脏边缘区淋巴瘤
Splenic Marginal Zone Lymphoma, SMZL
同义词(或曾用名): 脾脏淋巴瘤伴循环绒毛淋巴细胞(SLVL)
概述:
SMZL 是惰性 B 细胞淋巴瘤,由小淋巴细胞组成,以微小结节状浸润,围绕并取代白髓淋巴滤泡,侵犯套区,呈现出边缘区分化特点并累及红髓,可见到散在的转化细胞。外周血常出现特征性的绒毛淋巴细胞。
发病部位: 脾脏,常累及脾门淋巴结。骨髓几乎总是被侵犯,外周血常有循环瘤细胞。
诊断要点:
- 多数患者年龄在 50 岁以上。临床表现为惰性,可出现发热、盗汗等症状。主要体征为脾大。常有贫血、血小板或白细胞减少。
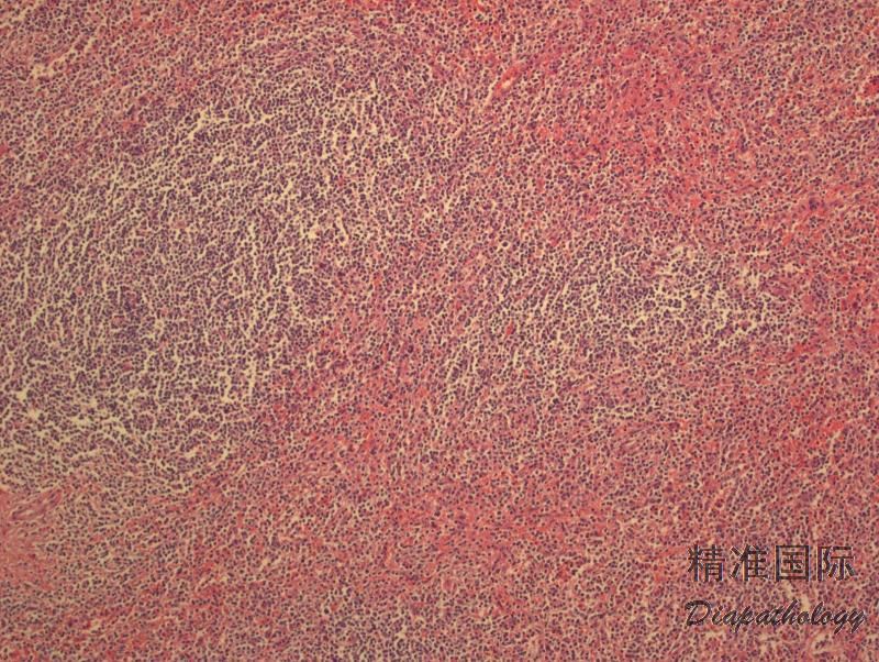
- 脾肿大。脾脏白髓滤泡增生,低倍镜下肿瘤呈现微结节状侵润。小圆形肿瘤细胞围绕并取代滤泡,侵犯套区致其消失,常累及红髓。滤泡表现为双相性,中心由小淋巴细胞组成,外周则有中等大小细胞和散在较大转化细胞组成,其染色质现对较稀疏,胞浆较丰富淡染,类似边缘区细胞。在红髓,肿瘤细胞常形成小结节,偶而成片,并有窦内侵犯。
- 外周血常有少量循环肿瘤细胞,含较丰富胞质或极性绒毛。流式细胞易检测出 B 细胞克隆。
- 骨髓累及率很高,借助免疫组化(CD20),容易发现早期的瘤细胞呈现局灶聚集和特征性窦内侵犯。
- 诊断常可根据外周血、骨髓,免疫分型和染色体异常并结合临床(如脾大)作出 。
- 大部分病例有遗传学异常。主要的畸变包括 3q 和 12q 增加,7q 和 6q 缺失,8q,1q 和 14q 易位。
- 近半数病例有 IgVH 基因突变,其中少数伴 BCL-6 基因突变。MYD88 一般无突变。

分子标记:
主要的畸变包括 3q 和 12q 增加,7q 和 6q 缺失,8q,1q 和 14q 易位。半数病例有 IgVH 基因突变,其中少数伴 BCL-6 基因突变
鉴别诊断:
- 毛细胞白血病(HCL** **): HCL 细胞在外周血和骨髓可类似 SMZL 细胞,但前者具特有的免疫表型:CD103+,CD25+,CD11c+,CD22+,TRAP+,Annexin A1+,cyclin D1+ (部分细胞)。骨髓呈间质侵润,不形成实性结节。免疫组化 CD20 染色强阳性,细胞形态似“煎鸡蛋”。脾脏红髓弥漫累及并出现特征性的“红细胞湖泊”。
- 脾 B 细胞淋巴瘤/ 白血病,不可分类(包括毛细胞白血病变异型和脾脏弥漫红髓小 B 细胞淋巴瘤) :毛细胞白血病变异型在细胞形态和免疫表型上与 SMZL 有重叠,但前者在脾脏弥漫侵犯红髓,多数 CD103+,常 CD25-;后者主要侵犯白髓,通常 CD103-,少数 CD25+。脾弥漫红髓小 B 细胞淋巴瘤系少见肿瘤,定义不确定,属临时分类。其特征是弥漫侵犯红髓,也可累及外周血和骨髓(包括血窦)。免疫表型为:CD20+,CD103-,CD25-, CD11c-,CD5-,CD23-。其以侵犯红髓为主的特征有助于与 SMZL 区分。
- 淋巴浆细胞淋巴瘤(LPL** **):SMZL 伴有浆细胞分化时常难以与 LPL 鉴别。LPL 常由小淋巴细胞,浆样淋巴细胞和浆细胞组成,并有较高的血清单克隆免疫蛋白(粘稠血症),骨髓呈间质片状侵润,脾可广泛累及红髓,缺乏边缘区分化,分子检测有 MYD88 突变。细胞遗传也有助鉴别:6q 缺失多见于 LPL, 7q 缺失和 3q 增加多见于 SMZL。
- 粘膜相关淋巴组织(MALT** **)淋巴瘤:MALT 淋巴瘤累及脾脏时可呈结节状增生,类似 SMZL,但有脾外的 MALT 淋巴瘤病史,骨髓累及时一般不侵犯髓窦。可有 t(11;18)。
- 滤泡淋巴瘤(FL** **):与 SMZL 相似,累及脾脏白髓呈结节状,但具特有免疫表型:CD10+, Bcl-6+,Bcl-2+,并有 t(14;18)。
- 套细胞淋巴瘤(MCL** **):累及脾脏白髓呈结节状增生,但细胞形态大小一致,CD20 和 CD5 共表达,cyclin D1 阳性。
- 慢性淋巴细胞白血病(CLL** **):小细胞,胞浆少,染色质分布不均呈块状。免疫表型为 CD20 和轻链弱阳性,并合表达 CD20. CD5 和 CD23。SMZL 则强表达 CD20 和轻链,需注意的是,有报道极少数病例可以 CD5+。
预后:
临床过程惰性,10 年生存率 67-95%。10-15%病例可能转化为弥漫大 B 细胞淋巴瘤,病情进展快。
治疗:
对无临床症状患者,可随访观察。脾切除曾是首选,但近年已改用 rituximab。如系丙型肝炎导致,抗病毒为首选。
← 淋巴结边缘区淋巴瘤 毛细胞白血病,变异型 →