血管内大 B 细胞淋巴瘤
Intravascular Large B-Cell Lymphoma, IVLBCL
概述:
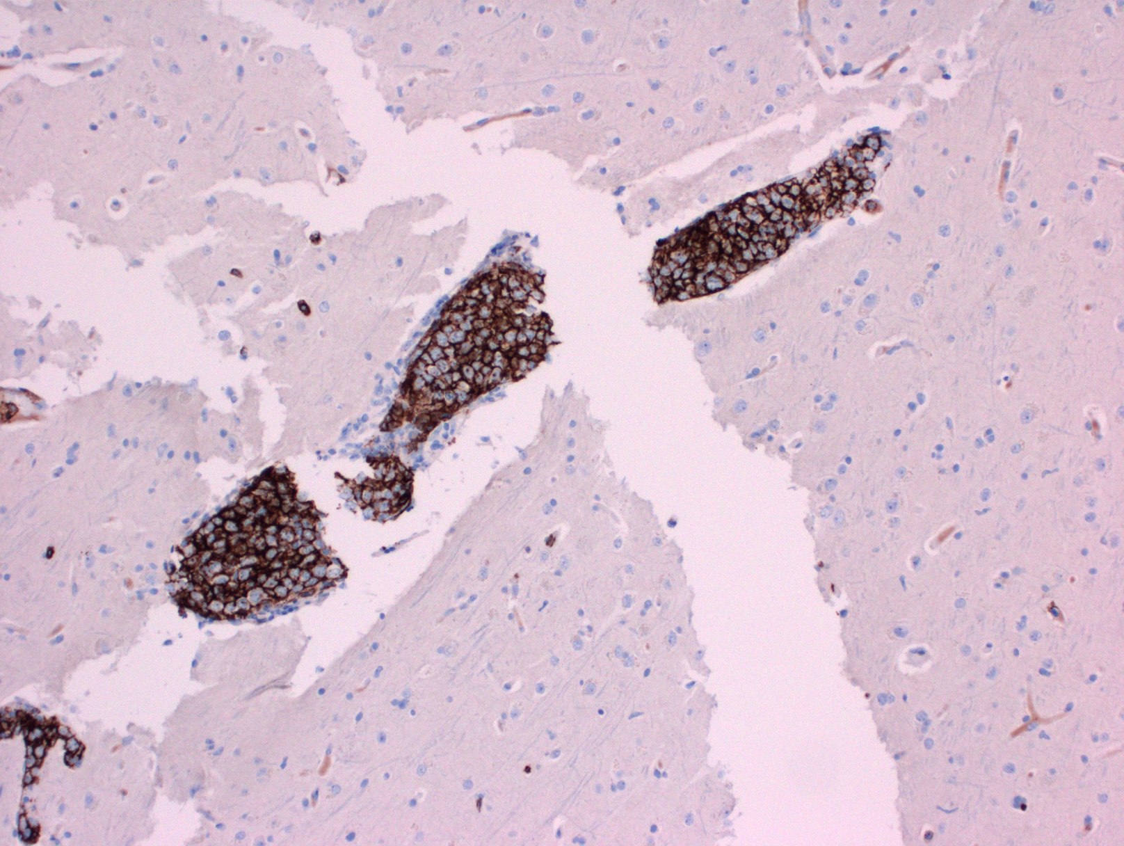
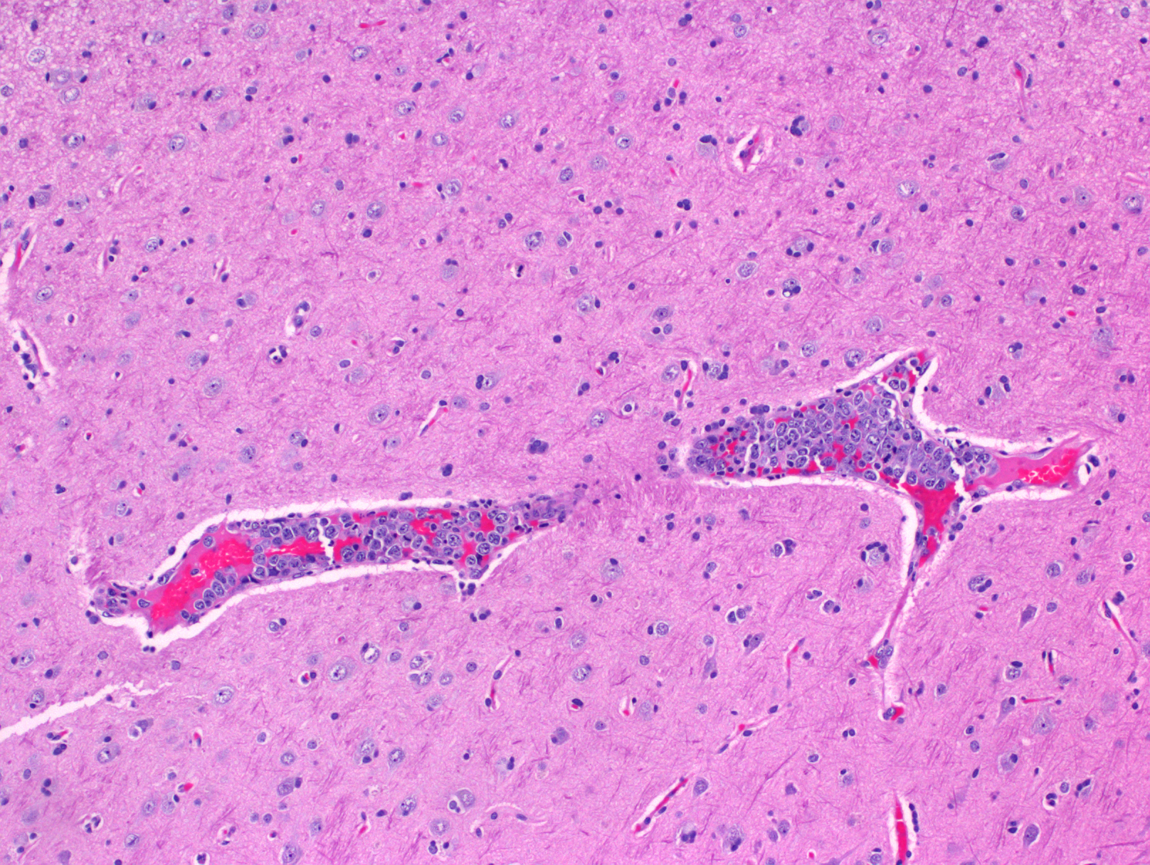
IVLBCL 系罕见的结外大 B 细胞淋巴瘤,其特征为肿瘤性大 B 淋巴细胞选择性地于血管内生长,特别是毛细血管,而不是较大的动、静脉血管。血管外有时可见少量肿瘤细胞,通常位于受累血管周围或邻近。
发病部位: 可以累及任何器官,最常见部位是中枢神经系统、皮肤、肾、肺、肾上腺、肝、脾和骨髓,但通常不侵犯淋巴结,外周血也很难找到循坏瘤细胞。
诊断要点:
- 中位发病年龄 60-70 岁,男性略多于女性。症状无特异性,如不明原因发热、乏力和一般状况恶化。临床常有两种表现模式:西方型和亚洲型。前者主要表现为中枢神经和皮肤受累症状;后者则表现为噬血细胞综合征,发热及 B 症状,全血细胞减少和骨髓浸润,而皮肤及中枢神经系统受累少见。
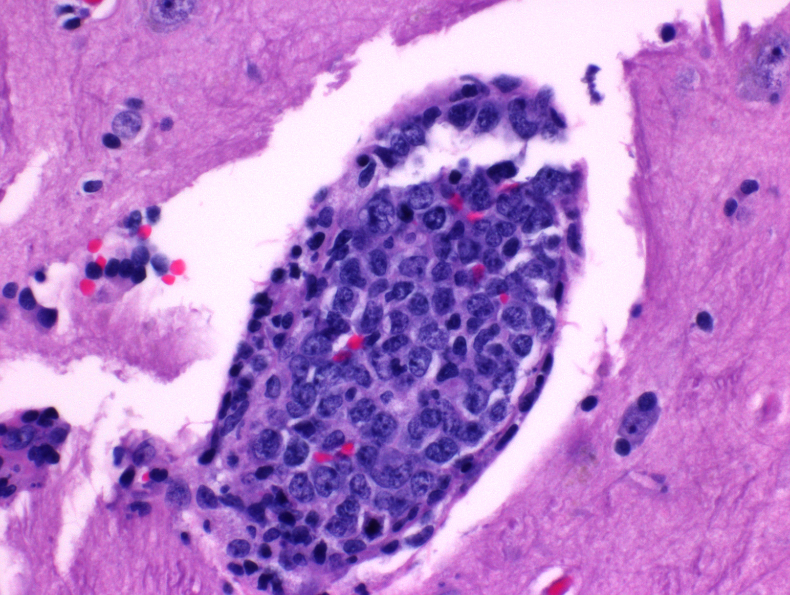
- 肿瘤淋巴细胞主要分布于小到中等血管腔内,或位于肝、脾(红髓)、骨髓的血窦内,可伴纤维蛋白血栓、出血、坏死。有时可见少量血管外瘤细胞。
- 肿瘤细胞大到中等,泡状染色质,核仁明显;有时可见粗大核染色质和不规则或锯齿状细胞核;有丝分裂像多见。
- 表达全 B 细胞抗原(CD19,CD20,CD79a,CD22,PAX5),MUM-1 和 Bcl-2 常阳性,部分病例还表达 CD5,少数 Bcl-6 和 CD10 阳性。
- 无特异染色体易位。
- Ig 重链和轻链基因呈克隆性重排。

鉴别诊断:
弥漫大 B 淋巴瘤 (DLBCL,NOS):偶尔侵犯骨髓血窦,但同时有窦外间质侵润,并有组织包块或淋巴结肿大。
脾脏边缘区淋巴瘤 (SMZL):有时会侵犯骨髓血窦,但常伴有明显的间质侵润或形成结节;脾脏白髓红髓均受累。细胞小到中等(可混有散在大细胞),胞浆丰富,常有浆细胞样分化,外周血可见特征性的微绒毛淋巴细胞。
脾 B 细胞淋巴瘤/白血病,未分类 :包括弥漫红髓小 B 细胞淋巴瘤和毛细胞白血病变异型,两者都有广泛骨髓血窦侵润,但细胞小或中等,外周血有大量循环肿瘤细胞,前者类似 SMZL 的微绒毛淋巴细胞,后者胞浆丰富周围有毛状突起(形似毛细胞)。
肝脾 T 细胞淋巴瘤 (HSTCL):多为 gamma/delta 型,常侵犯肝、脾、骨髓血窦,大部分为年轻男性。早期骨髓活检瘤细胞多限于血窦内,晚期窦外间质可广泛侵犯。瘤细胞小到中等,表达 T 细胞(CD3)和细胞毒抗原(TIA1),不表达 B 细胞抗原。
T 细胞大颗粒淋巴细胞白血病 (T-LGL):外周血大颗粒细胞增高并常伴贫血、中性粒细胞减少和感染。骨髓活检,异常细胞多为间质性浸润,但也可侵犯血窦,免疫染色表达 T 细胞抗原 CD3 和 CD8. CD57. perforin、TIA-1. granzyme B。临床表现惰性,进展缓慢。
其它血管内淋巴瘤:文献有报道血管内 NK/T 细胞淋巴瘤-EBV+和血管内间变大细胞淋巴瘤-ALK 阴性,应根据形态、免疫表型和分子生物学与 IVLBCL 相鉴别。
治疗:
R-CHOP 和大剂量 methotrexate