原发性中枢神经系统弥漫大 B 细胞淋巴瘤
Primary Diffuse Large B-Cell Lymphoma of the CNS, CNS DLBCL
概述:
原发性中枢神经系统弥漫大 B 细胞淋巴瘤包括所有原发于脑内和眼球内的弥漫大B细胞淋巴瘤。发生于硬膜的淋巴瘤、血管内大 B 细胞淋巴瘤、继发于系统性的淋巴瘤或与免疫缺陷有关的淋巴瘤不属此类。
发病部位: 大脑半球、小脑、和脑干
诊断要点:
主要见于中老年,易发部位为大脑半球和脑干,但大多数(60%)发生于幕上部位。20%病例有眼球内侵犯,其中绝大多数(80-90%)合并对侧或脑实质肿瘤。罕见累及神经意外部位(如骨髓),但可累及睾丸。
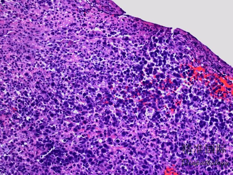
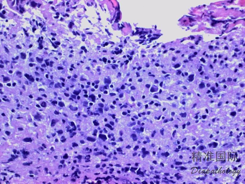
肿瘤细胞呈现弥漫浸润性生长,边界模糊;也可呈现斑片状或血管中心性浸润 (特征性浸润血管周围间隙)。可见单个细胞或地图样坏死。
肿瘤细胞中到大,核圆、椭圆、不规则或多形,可与中心母细胞或免疫母细胞较相似,常混有反应性小淋巴细胞、巨噬细胞和胶质细胞。
免疫组化:肿瘤细胞表达全 B 细胞抗原如 CD20. PAX5. CD79a,MUM-1+,Bcl-6+/-,CD10-/+,Bcl-2+/-,MYC+,BCL2+/MYC+ (82% in doube expression),Ki67>70% (甚至>90%),HHV8-,EBER-。
Ig 基因克隆性重排。较常见的易位基因有 IG 和 BCL-6,但无 BCL-2 基因易位,MYC 易位也罕见。MYD88 突变常见(至少半数病例)。

免疫组织化学染色:
肿瘤细胞表达全 B 细胞抗原如 CD20. PAX5. CD79a,MUM-1+,Bcl-6+/-,CD10-/+,Bcl-2+/-,MYC+,BCL2+/MYC+ (82% in doube expression),Ki67>70% (甚至>90%),HHV8-,EBER-。
分子标记:
Ig 基因克隆性重排。较常见的易位基因有 IG 和 BCL-6,但无 BCL-2 基因易位,MYC 易位也罕见。MYD88 突变常见(至少半数病例)。
鉴别诊断:
- 血管内大 B 细胞淋巴瘤 :肿瘤细胞主要在小血管腔内生长,全身多脏器累及如肝、脾、骨髓。肿瘤 B 细胞常合表达 CD5。
- HIV 相关的原发性中枢神经弥漫大 B 细胞淋巴瘤 :有长期 HIV 病史,肿瘤细胞 EBER+。
- 间变性大细胞淋巴瘤 :大细胞弥漫侵润,包括标志性大细胞,混有很多炎性细胞。除脑实质外,常累及脑膜。瘤细胞 CD30 强阳性,并表达 T 细胞相关抗原和 ALK。
- 淋巴瘤样肉芽肿 :瘤细胞呈血管中心性浸润,常有坏死,类似 CNS DLBCL 表现,但有大量反应性细胞,肿瘤细胞 EBER+。临床可有免疫功能低下或抑制病史。
预后:
预后较系统性 DLBCL 差,总生存期约 3 年。