富于 T 细胞/组织细胞性大 B 细胞淋巴瘤
T-Cell/Histiocyte Rich Large B-Cell Lymphoma, THRLBCL
概述:
THRLBCL 的组织学特征表现为,单个、散在的肿瘤大 B 细胞存在于丰富的反应性 T 细胞和组织细胞的背景中,肿瘤性大 B 细胞通常只占整个细胞群的不到 10%。一般为原发,但近来发现不排除有的病例可能从结节性淋巴细胞为主型霍奇金淋巴瘤(NLPHL)进展而来。
发病部位: 淋巴结和结外部位如骨髓、脾脏和肝脏。
诊断要点:
- 发病中位年龄 60-70 岁,但中青年偶尔儿童也可患病,多为男性。发病多为晚期,表现为淋巴结肿大伴 B 症状,脾、肝和骨髓常累及。
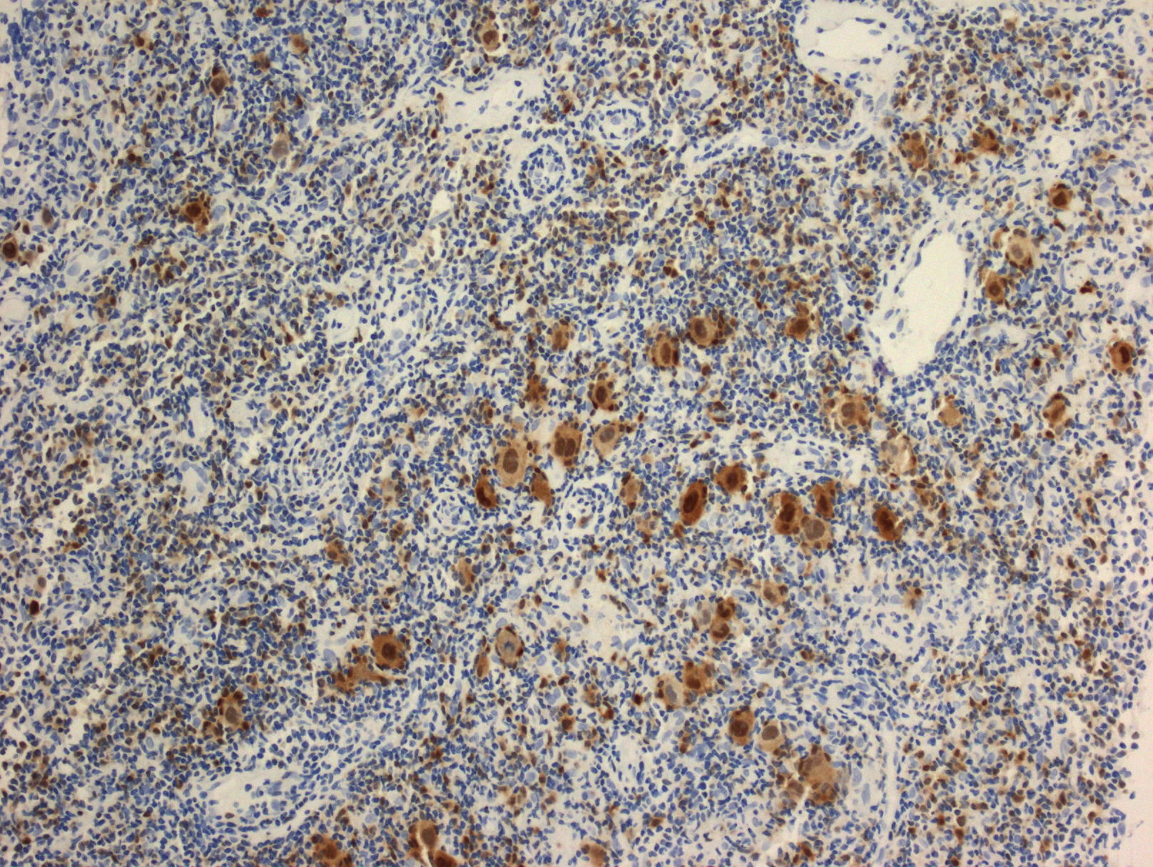
- 淋巴结正常结构完全破坏,呈现弥漫模式或偶尔模糊结节状。。
- 在大量的小淋巴细胞和组织细胞及少量其它炎性细胞背景下,见散在不典型大细胞(<10%)。大细胞形态可类似中心母细胞、免疫母细胞、LP 细胞或霍奇金细胞。小淋巴细胞可有轻度不典型如偏中等大小或核不规则。组织细胞常为非上皮样并伴背景纤细的小梁纤维化,也可出现上皮样组织细胞。一般没有噬酸性粒细胞和浆细胞。
- 大细胞表达全 B 细胞抗原,如 CD20. CD79a 和 PAX5;常表达 Bcl-6,但 CD10 一般阴性;通常不表达 CD30,少数病例或有较弱或部分细胞表达;不表达 CD15;CD5 阴性;EBER/EBV 一般也阴性。小细胞几乎全是 T 细胞,大多为细胞毒细胞(CD8+)。可见少量反应性小 B 细胞,散在不聚集成团或形成实性片状。滤泡网状结构消失(CD21 阴性)。
- Ig 重链和轻链基因呈克隆性重排,并有 IgHV 重链基因体细胞超突变。

鉴别诊断:
结节性淋巴细胞为主型霍奇金淋巴瘤 (NLPHL):结节性模式。结节由反应性小 B 细胞组成,滤泡网状结构保存(CD21+)。可有上皮样组织细胞,散在或小聚集,但无或很少其它炎性细胞。典型的散在 LP 细胞,其周围环绕以 T 细胞(CD3+/CD4+/PD1+),CD57+ T 细胞有时也会增加并环绕 LP 细胞。极少数 NLPHL 病例表现为"弥散性模式",且背景 T 细胞赠多,与 THRLBCL 鉴别特别困难。如有 CD20 阳性 LP 细胞松散聚集形成隐约结节或不均匀分布,以及残存 CD21+滤泡网状结构等,均倾向 NLPHL。对于 NLPHL 进展成 THRLBCL 样转化病例,形态上有时几乎无法鉴别(特别当活检组织很小时)。
经典型霍奇金淋巴瘤 (CHL):混合细胞型常为弥漫模式,但背景细胞系混合炎性细胞,常有粒细胞和浆细胞。典型 Reed-Sternberg 细胞或 Hodgkin 细胞,其免疫表型:CD30+,CD15+/-,EBER 常可阳性,CD79a-,CD20 也常阴性或仅部分细胞阳性(强弱不等)。
EBV+弥漫大 B 细胞淋巴瘤: 如果散在的肿瘤大 B 细胞 EBV+,特别是有的形态类似霍奇金细胞时,诊断为 EBV+DLBCL 更为合适。