巨细胞胶原瘤
Giant Cell Collagenoma
概述:
是硬化性纤维瘤的一种特殊亚型,由 Rudolph 等于 1998 年描述
发病部位: 年轻人的面部、躯干和四肢
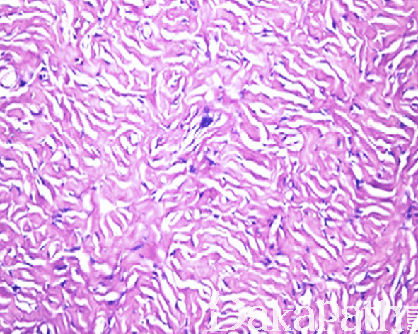
诊断要点:
- 主要发生于年轻人的面部、躯干和四肢,与 Cowden syndrome 无关;
- 肿瘤位于真皮层内,表皮菲薄,呈宽基的息肉样,边界清楚;
- 镜下可见漩涡状或席纹状排列的粗大胶原纤维,纤维之间为含有较多黏液的宽裂隙,AB 染色阳性;
- 病变内含有较多散在的多核巨细胞,核呈花环样或不规则的星状,染色质空泡状,多核巨细胞胞浆弱嗜酸性和浅染泡沫状,偶尔核染色质较粗而浓染,无核分裂象 。

免疫组织化学染色:
梭形细胞和多核巨细胞主要表达 vimentin。不表达 cytokeratin, SMA, desmin, S-100 蛋白, CD34, factor XIIIa,KP1, Mac 387,Ki-M1p。
鉴别诊断:
预后:
良性
治疗:
单纯切除
病例报道:
Giant cell** collagenoma : case report and review of the literature.
Brito H, Pereira EM, Reis-Filho JS, Maeda SA.
J Cutan Pathol. 2002 Jan;29(1):48-51. 参考文献:
Giant cell** collagenoma : a benign dermal tumor with distinctive multinucleate cells .
Rudolph P, Schubert C, Harms D, Parwaresch R.
Am J Surg Pathol. 1998 May;22(5):557-63.