浅表性 CD34 阳性的纤维母细胞肿瘤
Superficial CD34-positive fibroblastic tumor
同义词(或曾用名): 浅表性 CD34 阳性的纤维母细胞肿瘤
概述:
一种位于皮肤和皮下组织的多形性纤维母细胞性中间型肿瘤,弥漫表达 CD34,罕见核分裂象
发病部位: 下肢>上肢>头颈部和躯干
诊断要点:
由 Carter 等于 2014 年首先报道并命名,均发生于成人,发病年龄 20 到 76 岁(平均 38 岁),约半数<30 岁,男女比例大致相等;肿瘤大多数表现为肢体皮下组织内、筋膜上缓慢生长的无痛性肿物,与肌肉组织无粘连,下肢(大腿,膝关节周围)明显好发于上肢,罕见可发生于头颈部或躯干;
直径从 1.5 至 10cm 不等 (平均约 4.0cm),质实,切面灰黄灰褐色有光泽;
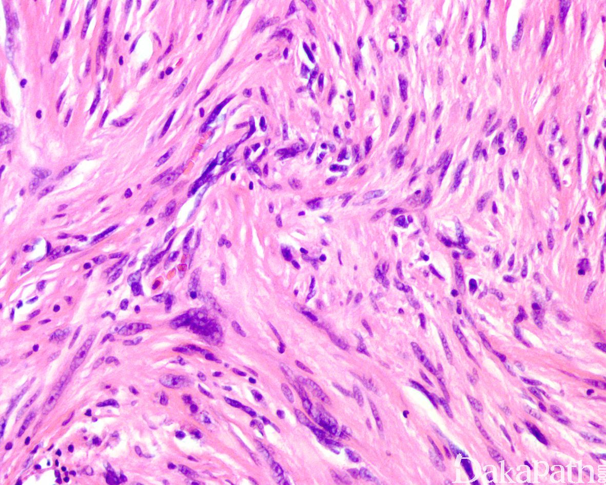
镜下肿瘤中等富于细胞,主体位于皮下组织内,偶见于真皮内;
总体上肿瘤呈膨胀性生长但伴有不同程度的周围脂肪浸润或真皮累及;
瘤细胞梭形至上皮样,呈束状或实性片状排列,胞浆丰富呈颗粒状、原纤维状或玻璃样改变,部分表现为黄瘤样胞浆;
大多数肿瘤细胞核具有明显的多形性,常见奇异性核或多叶核以及核内假包涵体,核染色质深伴 1 至 2 个明显的核仁;
尽管肿瘤富于细胞且伴有明显的非典型性核,但核分裂像非常罕见,大多数<1 个/50 高倍镜视野,无非典型核分裂像,无肿瘤性坏死;
间质内可见分支状薄壁的毛细血管以及散在的慢性炎细胞和肥大细胞浸润。

免疫组织化学染色:
均弥漫强表达 CD34,约 60%局灶表达广谱细胞角蛋白,其他标志物包括 EMA、P53. 血管内皮标志物、肌源性标志物、黑色素标志物、树突状细胞和组织细胞标志物以及白细胞共同抗原等均阴性;INI-1 免疫标记显示肿瘤无表达缺失;Ki67 增殖指数低,通常<1%。
分子标记:
部分病例可见 PRDM10 基因重排,无 TGFBR3 或 MGEA5 基因重排
鉴别诊断:
伴有高级别肉瘤样转化的隆突性皮肤纤维肉瘤:可表现出明显的侵袭性和远处转移。两者均可出现瘤细胞的多形性和 CD34 阳性,但与浅表性 CD34 阳性的纤维母细胞肿瘤不同,伴有高级别肉瘤样转化的隆突性皮肤纤维肉瘤常见局灶典型的隆突性皮肤纤维肉瘤的席纹状组织结构背景,肉瘤样转化的区域核分裂像明显增多并常见坏死,免疫组化 CD34 表达减少而 P53 蛋白和 Ki67 增殖指数表达明显增加;
肿瘤类型 | 组织学鉴别要点 | CD34 | S100 | CK | INI-1 | CD68 |
浅表性CD34阳性的纤维母细胞肿瘤 | 皮下生长,玻璃样胞浆伴多形性核,罕见核分裂像,无坏死 | 弥漫强阳性 | 阴性 | 50%局灶阳性 | 保留 | 阴性 |
未分化多形性肉瘤(包括真皮内) | 真皮内或皮下浸润性生长,多形性,核分裂像多,可见坏死 | 阴性 | 阴性 | 一般阴性 | 保留 | 阳性 |
非典型纤维黄色瘤 | 老年人头面部,局限于真皮内生长,多形性,分裂像多 | 阴性 | 阴性 | 一般阴性 | 保留 | 阳性 |
隆突性皮肤纤维肉瘤 | 一致的席纹状结构,无多形性 | 阳性 | 阴性 | 阴性 | 保留 | 阴性 |
浅表性黏液纤维肉瘤 | 粘液和细胞区交替,假脂母样细胞,核分裂像较多 | 部分阳性 | 阴性 | 一般阴性 | 保留 | 阴性 |
粘液炎性纤维母细胞肉瘤 | 好发于肢端,粘液和细胞区交替,霍奇金样瘤细胞,明显炎症 | 部分阳性 | 阴性 | 阴性 | 保留 | 阴性 |
多形性玻璃样变血管扩张性肿瘤 | 多形性瘤细胞伴扩张的玻璃样变的厚壁血管 | 阳性 | 阴性 | 阴性 | 保留 | 阴性 |
上皮样肉瘤 | 地图样坏死,核分裂像多 | 部分阳性 | 阴性 | 阳性 | 丢失 | 阴性 |
上皮样血管肉瘤 | 核分裂像多,出血、坏死 | 阳性 | 阴性 | 部分阳性 | 保留 | 阴性 |
恶性颗粒细胞瘤 | 梭形细胞为主,无明显多形性 | 阴性 | 阳性 | 阴性 | 保留 | 阳性 |
幼年性黄色肉芽肿 | 组织细胞增生伴多型炎细胞 | 阴性 | 部分阳性 | 阴性 | 保留 | 阳性 |
恶性黑色素瘤 | 表皮内侵犯,色素,核分裂像多 | 阴性 | 阳性 | 阴性 | 保留 | 阴性 |
治疗:
局部广泛切除。
病例报道:
Hendry S A, Wong D D, Papadimitriou J, et al. Superficial CD34-positive fibroblastic tumour: report of two new cases [J]. Pathology, 2015, 47(5): 479-82. 参考文献:
Carter J M, Weiss S W, Linos K, et al. Superficial CD34-positive fibroblastic tumor: report of 18 cases of a distinctive low-grade mesenchymal neoplasm of intermediate (borderline) malignancy [J]. Mod Pathol, 2014, 27(2): 294-302. 陈源,赵明 (通讯作者),汤琪乐,何向蕾. 浅表性 CD34 阳性的纤维母细胞肿瘤一例. 中华病理学杂志 . 2017;46(3):199-200.