成年型纤维肉瘤
Adult Fibrosarcoma,AFS
概述:
由纤维母细胞样细胞组成的恶性肿瘤,瘤细胞呈交织的条束状排列,可见鱼骨样排列结和不等量的胶原纤维。
发病部位: 肿瘤好发于四肢,其次为躯干(包括肩部和臀部)和头颈部(包括鼻腔、鼻旁窦和鼻咽)
诊断要点:
非常罕见,多发于 40 ~ 60 岁,男性多见;
好发于四肢,其次为躯干和头颈部,很少发生于实质脏器;
肿瘤常外被纤维性假包膜,切面呈灰白色,质地坚实,或呈灰红色鱼肉状;
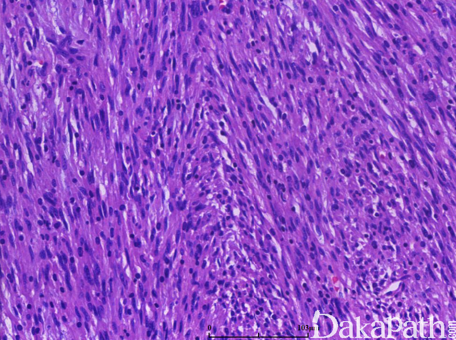
镜下见瘤细胞常呈交织的束状排列,可见鱼骨样或呈人字形排列结构;
分化好的肿瘤,瘤细胞密度低,核轻度异型性,似纤维瘤病样,分化较差者瘤细胞稠密、肥胖,核染色深,染色质颗粒状,甚至呈片状增生的圆形或卵圆形细胞;
瘤细胞间可见多少不等的胶原纤维;
诊断成人型纤维肉瘤之前应仔细的形态学观察和辅助应用免疫组化染色和分子遗传学手段除外其它组织学相似的软组织肉瘤,特别是单相梭形细胞型滑膜肉瘤,恶性周围神经鞘膜瘤,侵袭性纤维瘤病,促结缔组织增生性恶性黑色素瘤,恶性孤立性纤维性肿瘤等。

免疫组织化学染色:
肿瘤细胞 VIMENTIN 弥漫阳性,少数病例 SMA 灶状阳性,不表达 CK 和 S100 蛋白等。
鉴别诊断:
- 单相纤维型滑膜肉瘤 :瘤细胞表达 AE1/AE3. CAM5.2. EMA、bcl-2 细胞遗传学显示 t(x;1 8),RT-PCR 或 FISH 可检濒出 SyT-SSX1/2 。
- 恶性孤立性纤维瘤 :肿瘤内常可见经典的孤立性纤维性肿瘤区域,瘤细胞表达 CD34
- 纤维瘤病 :边界不清,常向邻近的肌肉或脂肪组织浸润性生长,瘤细胞密度低,无异型性,核仁小或不明显,核分裂像少见。肿瘤内不见凝固性坏死。
- 梭形细胞黑色素瘤 :中的梭形细胞表达 S-100 蛋白、SOX10, HMB45 和 A103 等色素性标记。
- 恶性周围神经鞘膜瘤
预后:
侵袭性强,常见复发和转移,约 50%患者死于局部侵袭性疾病和远处转移。
治疗:
局部广泛切除,切除不全时可辅以放疗。高级别应考虑化疗
参考文献:
Hansen T, Katenkamp K, Brodhun M, et al. Low-grade fibrosarcoma– report on 39 not otherwise specified cases and comparison with defined low-grade fibrosarcoma types. Histopathology 2006;49(2):152–60. Bahrami A, Folpe AL. Adult-type fibrosarcoma: a reevaluation of 163 putative cases diagnosed at a single institution over a 48-year period. Am J Surg Pathol 2010;34(10):1504–13.