浅表纤维瘤病
Superficial fibromatosis
同义词(或曾用名): 掌纤维瘤病、Dupuytren 病、Dupuytren 挛缩、跖纤维瘤病、Ledderhose 病
概述:
发生于手掌和足跖筋膜和腱膜的弥漫性纤维组织增生。
发病部位: 掌、足
诊断要点:
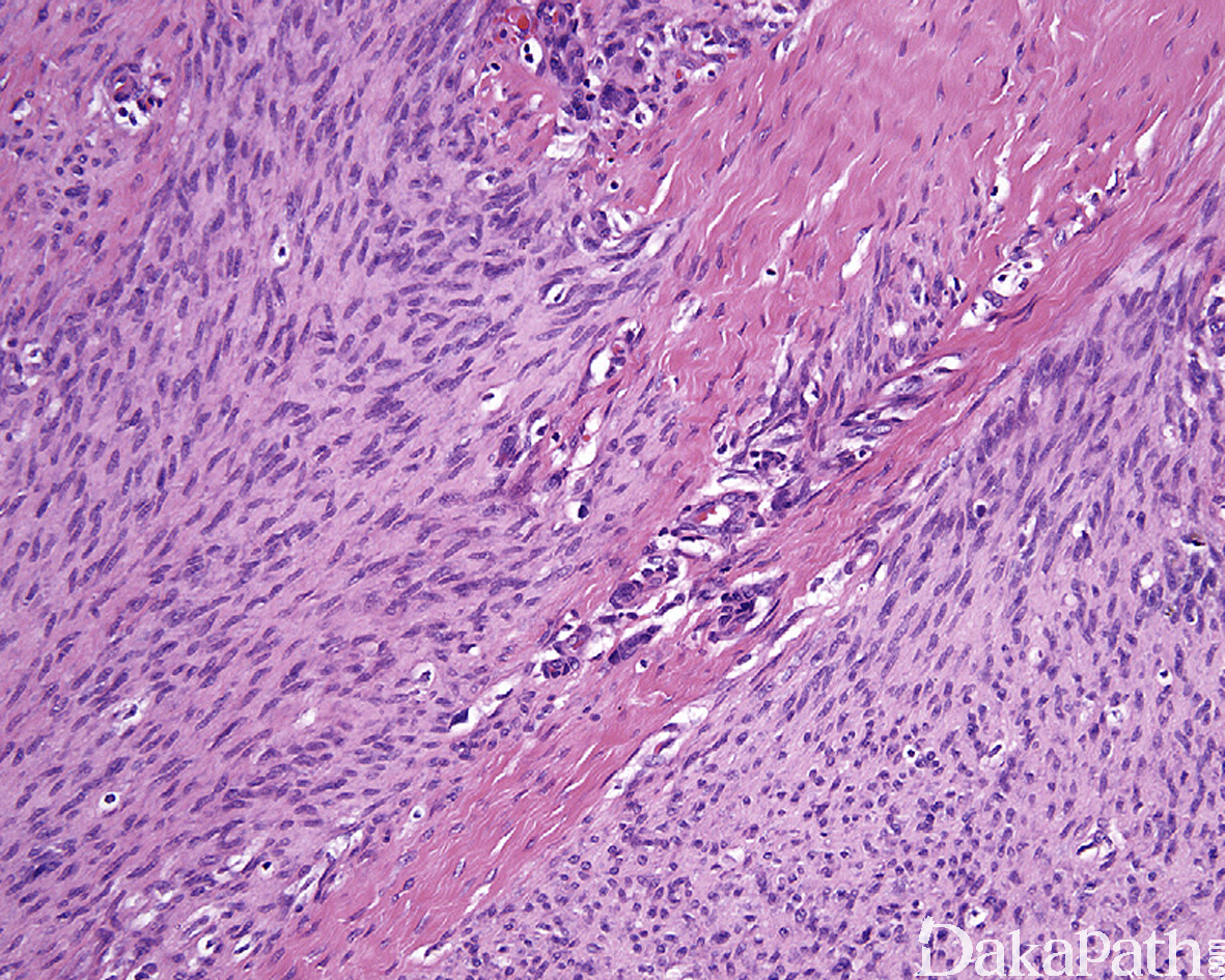
主要发生于男性的足掌和手掌,多为单个结节,也可呈界限不清的融合结节;
镜下见纤维母细胞、肌纤维母细胞呈条束状增生,形成单个或多结节状生长;
早期纤维母细胞生长活跃,呈胖梭形,核尖而细,束状排列,浸润筋膜和皮下组织,可有数量不等的核分裂像;
随病程的进展,胶原纤维不断增多,纤维母细胞成分逐渐减少;
部分病例可见数量不等的破骨样多核巨细胞。

免疫组织化学染色:
梭形细胞 vimentin 阳性,不同程度表达 actins,不表达 S100,10%的病例也可见核表达 beta-catanine。
鉴别诊断:
纤维肉瘤 :很少发生于手掌和足跖,瘤细胞常呈人字形或鱼骨样排列,瘤细胞核深,有异型,可见核分裂像及病理性核分裂;
韧带样纤维瘤病:很少发生在手和足,组织学上缺乏多结节状融合性生长,表现为梭形细胞呈长束状排列。相比较而言,浅表性纤维瘤病的瘤细胞更丰富一些。
预后:
复发率高,特别是多结节状生长为主者。
治疗:
完整的手术切除并保证阴性切缘。
参考文献:
Fetsch JF, Laskin WB, Miettinen M. Palmar-plantar fibromatosis in children and preadolescents: a clinicopathologic
study of 56 cases with newly recognized demographics and extended follow-up information. Am J Surg Pathol 2005;29(8):1095-105. Montgomery E, Lee JH, Abraham SC, et al. Superficial fibromatoses are genetically distinct from deep fibromatoses. Mod Pathol 2001;14(7):695e701.