细胞性血管纤维瘤
Cellular Angiofibroma,CA
同义词(或曾用名): 男性血管肌纤维母细胞瘤样肿瘤
概述:
是一种富于梭形细胞和血管化间质的良心肌纤维母细胞性肿瘤,通常起源于外阴阴道区和腹股沟阴囊区的浅表软组织内
发病部位: 多发生于外阴阴道区和腹股沟阴囊区,罕见的可见于后腹膜、躯干、口腔黏膜、脊柱区以及膝和肘部
诊断要点:
多见于 50-70 岁之间的中、老年病人,无性别好发倾向;
多发生于外阴阴道区和腹股沟阴囊区,罕见的可见于后腹膜、躯干、口腔黏膜、脊柱区以及膝和肘部;
肿瘤直径 0.6-25cm(中位大小,男性:7cm,女性:2.8cm),大体上表现为圆形、卵圆形或分叶状界限清楚的肿块,质地较软,切面灰红至灰棕色,罕见出血和坏死;
镜下肿瘤多位于真皮内、皮下或黏膜下,界限清楚,可有纤维性假包膜,少数病例可见不规则的浸润性边界,特别是在男性患者;
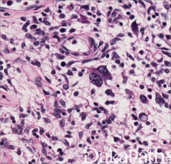
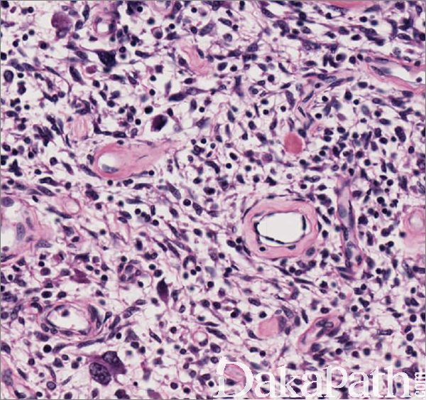
镜下肿瘤由密集排列、大小较为一致的短梭形瘤细胞和大量小到中等大的厚壁血管组成,分布于水肿或纤维性间质之中;
梭形细胞密度较高、呈短束状排列为主,偶见栅栏状排列;瘤细胞胞界不清,胞浆嗜酸性或浅染,核形态温和、卵圆形纺锤状,核仁不明显,核分裂象通常稀少,但偶尔可达 10 个/10HPF;
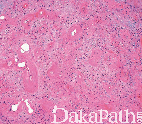
6,瘤细胞之间可见纤细的绳索样胶原以及数量众多的厚壁血管,血管腔隙开放呈圆形或卵圆形,偶见不规则分支,血管壁可见玻璃样变性;
瘤细胞间质可见水肿、透明变或黏液变性,在男性患者较为多见;间质常见肥大细胞浸润和血管周的淋巴细胞灶状聚集;
半数左右的病例可见小簇状的脂肪细胞分化;
少数病例可见肿瘤内的退行性改变包括可见局灶的核深染和多形性,血管囊性扩张伴内血栓沉积等;
非常罕见的情况下,在细胞性血管纤维瘤的组织学背景中可见高级别肉瘤样转化,后者通常与前者突然过渡,类似于去分化脂肪肉瘤的转化表现,少数可表现为散在分布的非典型肿瘤细胞;
高级别肉瘤转化灶可表现为多形性脂肪母细胞组织学类似于多形性脂肪肉瘤样,非典型脂肪瘤样肿瘤样以及多形性梭形细胞肉瘤样等,高级别转化灶的瘤细胞核分裂象通常< 3 个/10HPF,罕见出血或坏死。

免疫组织化学染色:
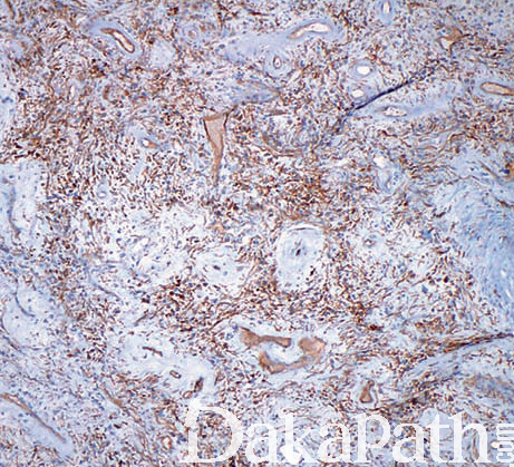
大多数表达 ER 和 PR,30%-60%表达 CD34,少数病例不同程度表达 SMA 和 desmin,部分可见 Rb1 表达缺失; 不表达 S100 蛋白和 CK,伴有高级别肉瘤样转化者可多灶或弥漫表达 P16,而普通的细胞性血管纤维瘤通常不表达。
分子标记:
部分病例存在 13q14(RB1. FOXO1 基因缺失)
鉴别诊断:
侵袭性血管黏液瘤 血管肌纤维母细胞瘤 平滑肌瘤 孤立性纤维性肿瘤
预后:
完整切除罕见复发和转移,目前报道的伴有高级别肉瘤样转化者未见复发和转移的报道,但需要更长期的随访
治疗:
完整切除
病例报道:
Kandil DH, Kida M, Laub DR, et al. Sarcomatous transformation in a cellular angiofibroma: a case report. J Clin Pathol 2009;62:945–947. 参考文献:
Flucke U , Van Krieken J H J , Mentzel T . Cellular angiofibroma: analysis of 25 cases emphasizing its relationship to spindle cell lipoma and mammary-type myofibroblastoma[J]. Modern Pathology, 2011, 24(1):82-89. Iwasa Y, Fletcher CDM. Cellular angiofibroma: clinicopathologic and immunhistochemical analysis of 51 cases. Am J Surg Pathol 2004;28:1426–1435. Chen E, Fletcher CDM. Cellular angiofibroma with atypia and sarcomatous transformation: a clinicopathologic
analysis of 13 cases. Am J Surg Pathol 2010;34:707–714.