缺血性筋膜炎
Ischemic fasciitis
同义词(或曾用名): 非典型褥疮性纤维组织增生
概述:
由继发于慢性创伤或压力改变的局部组织缺血导致的一种纤维母细胞/肌纤维母细胞的增生性病变,期内可见呈区带性分布的纤维素样的坏死区以及神经节细胞样的非典型细胞增生区。
发病部位: 肢带(尤其是肩部和臀部、骨股大转子等部位)和骶尾部深部软组织内、骨凸部位
诊断要点:
70%发生于 70 岁以上,中位年龄 74 岁,部分为糖尿病患者或行动不便的老年人,部分与慢性创伤或恶性肿瘤有关,病变可表现为疼痛;
肢带和骶尾部为好发部位,胸背部也可发生;病变多位于深部皮下组织内,可累及真皮深层、肌层以及腱鞘组织内;
病变界限不清,直径 1-10cm, 平均约 4.7cm,切面中央显示出血、坏死和囊性变和黏质感,周围为灰白色质软区;
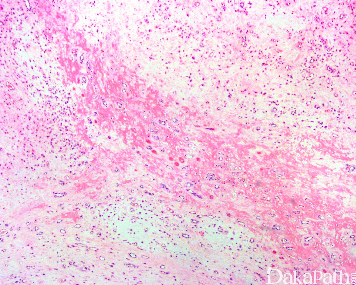
低倍镜下病变显示大致的区带性分布现象,中央区显示纤维素样变性坏死、出血、囊性变等特征,逐渐过渡为类似于肉芽组织增生的细胞区,丰富的毛细血管之间其内可见增生的胖梭形肌纤维母细胞以及散在分布的神经节细胞样细胞,具有丰富的双嗜性胞浆、偏位的空泡状核伴有明显的核仁,部分可表现为浓染而污秽的退行性并染色质,可见核分裂象(中位:2 个/10HPF),但无非典型核分裂象;
这种区带现象在不同病例的比例多少不等,界限可能并不十分清楚;
肉芽组织样的细胞区血管可见不同阶段的反应性反应性内皮细胞增生、血管壁玻璃样变性以及血栓形成等特征;
细胞区的间质为黏液性或纤维黏液样,背景中可见急慢性炎细胞浸润,局灶可见脂肪坏死等改变。

免疫组织化学染色:
肌纤维母细胞表达 HIF-1α 和 P16,部分表达 CDK4 和 MDM2,局灶表达 SMA、MSA, desmin,偶尔可表达 AE1/3,不表达 S100 蛋白、CD31. CD34 和 ERG 等,CD68 和 CD163 标记病变内的组织细胞。
分子标记:
无 MDM2 基因扩增和 USP6 基因重排
鉴别诊断:
增生性筋膜炎:与缺血性筋膜炎存在一定程度的组织学重叠和过渡,缺血性筋膜炎可能是增生性筋膜样的一种特殊的表现形式。增生性筋膜炎一般无明显的组织缺血、坏死等改变;
横纹肌肉瘤:可见非典型核分裂象,免疫组化染色更弥漫表达 Desmin, 表达 Myod1 和 Myogenin 可资鉴别;
上皮样肉瘤:免疫组化染色半数左右表达 CD34,90%以上显示 INI-1 表达缺失;
多形性未分化肉瘤:明显的瘤细胞间变、非典型核分裂象和肿瘤性坏死可资鉴别;
上皮样血管肉瘤:内皮细胞不显示复层化增生和非典型核分裂象,不表达 CD31. CD34 和 ERG 等;
去分化脂肪肉瘤:无区带现象,MDM2 基因扩增。
治疗:
局灶切除
病例报道:
Decubital ischemic fasciitis presenting in an unusual location.
Padmanaban D, Rangasami R, Chandrasekharan A, Swaminathan R.
Radiol Case Rep. 2015 Nov 6;6(4):590. doi: 10.2484/rcr.v6i4.590. eCollection 2011. 参考文献:
Liegl B , Fletcher C D M . Ischemic Fasciitis: Analysis of 44 Cases Indicating an Inconsistent Association With Immobility or Debilitation[J]. The American Journal of Surgical Pathology, 2008, 32(10):1546-1552. Yamada Y, Kinoshita I, Kohashi K, et al. HIF-1α, MDM2, CDK4, and p16 expression in ischemic fasciitis, focusing on its ischemic condition[J]. Virchows Archiv, 2017, 471(1):117-122.
← 浅表肢端纤维黏液瘤 纤维母细胞性结缔组织痣 →