软组织血管纤维瘤
Angiofibroma of soft tissue
同义词(或曾用名): 软组织血管纤维瘤
概述:
软组织血管纤维瘤是一种良性的纤维母细胞性肿瘤,组织学上温和的短梭形纤维母细胞样细胞和大量的薄壁小血管组成,分布于比例和多少不等的粘液水肿和胶原性基质之中
发病部位: 好发于腱鞘或关节附近,下肢多于上肢,但其它部位包括胸壁、盆腔、后腹膜以及实质器官等也可发生
诊断要点:
软组织血管纤维瘤好发于成年人,发病年龄 6 至 86 岁(平均年龄 49 岁),男女比约为 1:2;
临床上大多数表现为肢体深部或皮下组织内缓慢增大的无痛性肿块,好发于腱鞘或关节附近,下肢多于上肢,但其它部位包括胸壁、盆腔、后腹膜以及实质器官等也可发生;
大体上,软组织血管纤维瘤通常界限清楚,部分带包膜,罕见的情况下可局灶浸润周围脂肪组织; 瘤体直径 1.2 至 12cm(平均直径 4.3cm),切面灰白灰黄有光泽,质实而均匀,部分可有粘稠感,偶见出血,罕见坏死;
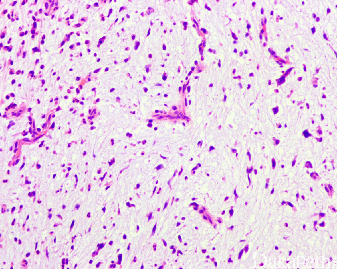
组织形态学上,软组织血管纤维瘤具有特征性的形态学特点:温和的纤维母细胞样瘤细胞,数目众多的分支状薄壁小血管以及比例多少不等的粘液水肿或胶原性基质;
大多数肿瘤界限清楚,部分带包膜,有时可见包膜周淋巴小结聚集伴生发中心形成。瘤细胞短梭形或星芒状,核形态温和,在粘液变显著的情况下偶见退行性核改变;核分裂像罕见。大多数病例肿瘤细胞呈无结构方式随意分布,部分病例可见围绕鹿角状薄壁静脉呈血管外皮细胞瘤样排列。瘤细胞密度一般较均匀,区域内瘤细胞密度增加形成富于细胞灶,与少细胞区交替分布,两者逐渐或突然过渡。病变的另一特征性表现为弥漫分布于肿瘤内的薄壁分支状小血管,有时可互相连接形成网状结构,偶尔血管壁周围可见玻璃样变性。

免疫组织化学染色:
将近半数的病例局灶或部分表达 EMA, 少数病例局灶表达 SMA, desmin 以及 CD34,不表达 CK,S100 蛋白和 MUC-4
分子标记:
半数左右存在 t(5;8)(p15;q12) 的染色体易位以致 AHRR-NCOA2 融合基因的过表达
鉴别诊断:
粘液样脂肪肉瘤:同样好发于肢体深部软组织,与软组织血管纤维瘤中分支状血管弥漫分布不同,粘液脂肪肉瘤的血管网呈丛状聚集分布,数量相对较少,血管壁更薄更纤细;粘液变性更明显,常见“肺水肿样”粘液湖,肿瘤内可见不同分化的单泡和多泡状脂母细胞。遗传学上表现为 DDIT3 基因重排;
低度恶性纤维粘液样肉瘤:瘤细胞同样形态较温和,基质伴有不同比例的粘液和玻璃样变性;低度恶性纤维粘液样肉瘤内常见粘液区与玻璃样变区交替分布,血管相对不丰富,通常为伸展的拱形弯曲血管。免疫组化染色表达 MUC4,遗传学上特征性的表现为 FUS 基因重排;
孤立性纤维性肿瘤:与软组织血管纤维瘤相比,孤立性纤维性肿瘤的血管外皮细胞瘤样生长结构更明显,缺乏前者特征性的小的薄壁分支状血管网。免疫组化染色弥漫表达 STAT6. CD34 和 bcl-2,遗传学上特征性的表现为 NAB2-STAT6 融合基因的过表达;
低级别粘液纤维肉瘤:肿瘤呈多结节状分布,血管为弯曲弧形,常见肿瘤细胞于血管周围聚集;瘤细胞通常可见明显的异型性包括假脂母细胞以及核分裂像;
细胞性血管纤维瘤:肿瘤好发于女性盆腔和会阴部,不同于软组织血管纤维瘤,细胞性血管纤维瘤的血管壁更厚,管腔更圆,分支较少;免疫组化表达雌、孕激素受体和 CD34。
预后:
软组织血管纤维瘤是一种呈惰性和良性进程的肿瘤。文献中报道的 28 例患者在肿瘤切除后平均随访 52 个月仅 4 例出现局部复发,复发与切缘状态和其它临床病理特征无关,所有肿瘤均未见转移的报道。
治疗:
单纯肿瘤切除术
病例报道:
Schoolmeester J K, Sukov W R, Aubry M C, et al. Angiofibroma of soft tissue: core needle biopsy diagnosis, with cytogenetic confirmation [J]. Am J Surg Pathol, 2012, 36(9): 1421-3. 参考文献:
Marino-Enriquez A, Fletcher C D. Angiofibroma of soft tissue: clinicopathologic characterization of a distinctive benign fibrovascular neoplasm in a series of 37 cases [J]. Am J Surg Pathol, 2012, 36(4): 500-8. Jin Y, Moller E, Nord K H, et al. Fusion of the AHRR and NCOA2 genes through a recurrent translocation t(5;8)(p15;q13) in soft tissue angiofibroma results in upregulation of aryl hydrocarbon receptor target genes [J]. Genes Chromosomes Cancer, 2012, 51(5): 510-20. 赵明 ,孙柯,郑江江,马爽,蔡学祥,何向蕾. 软组织血管纤维瘤 3 例临床病理特征分析. 中华病理学杂志 . 2016;45(3):191-192.