钙化性腱膜纤维瘤
Calcifying Aponeurotic Fibroma,CAF
同义词(或曾用名): 幼年性腱膜纤维瘤
概述:
是一种好发于儿童和青少年手掌和足底的肿瘤,有局部复发倾向
发病部位: 好发于手指、手掌和腕部,也可发生于踝部和足跖,背部、前臂、大腿、膝部、颈部和腹壁等处
诊断要点:
- 多发生于儿童和青少年,少数发生于成人;
- 好发于手指、手掌和腕部,也可发生于踝部和足跖,背部、前臂、大腿、膝部、颈部和腹壁等处;
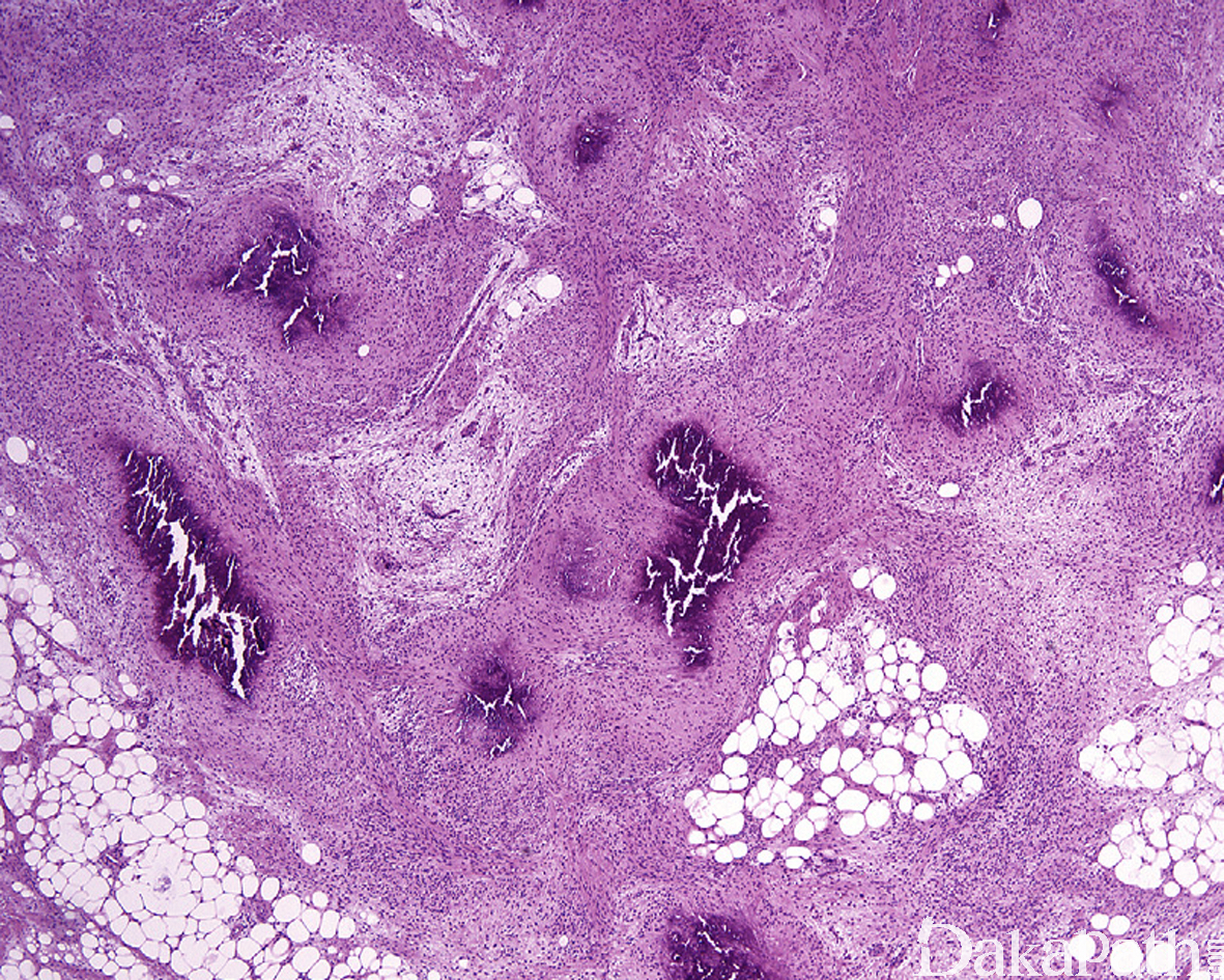
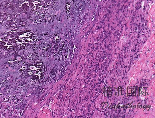
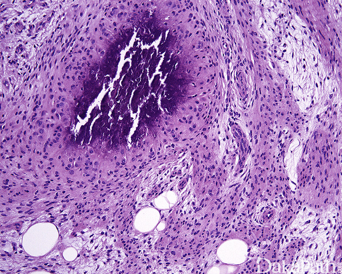
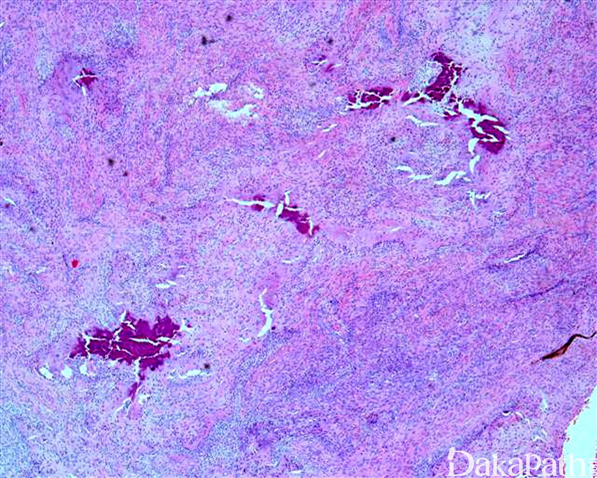
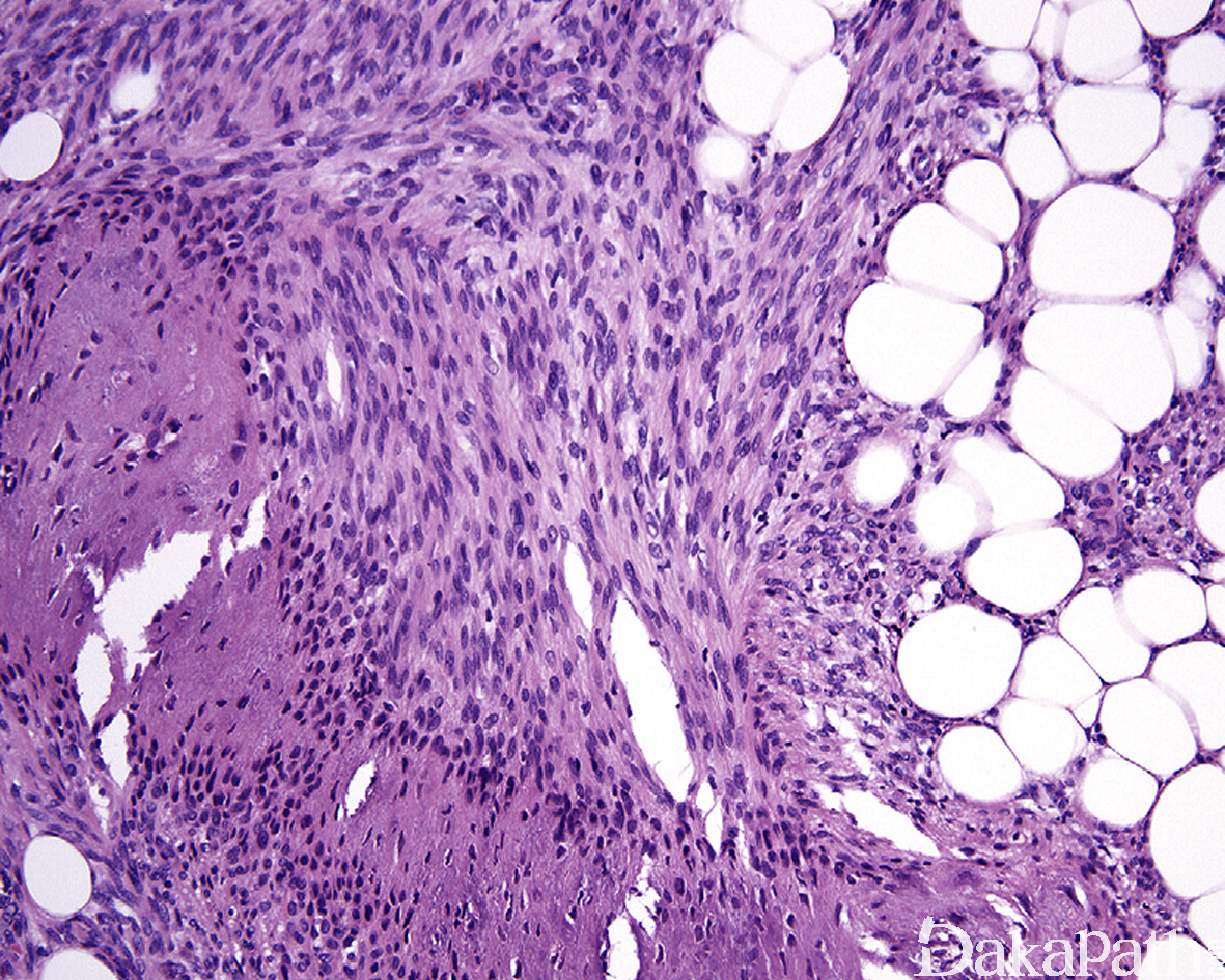
- 大体检查呈结节状或浸润性生长,位于皮下或腱鞘;
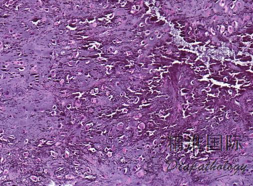
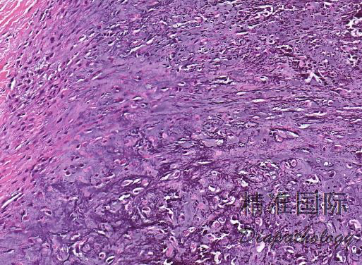
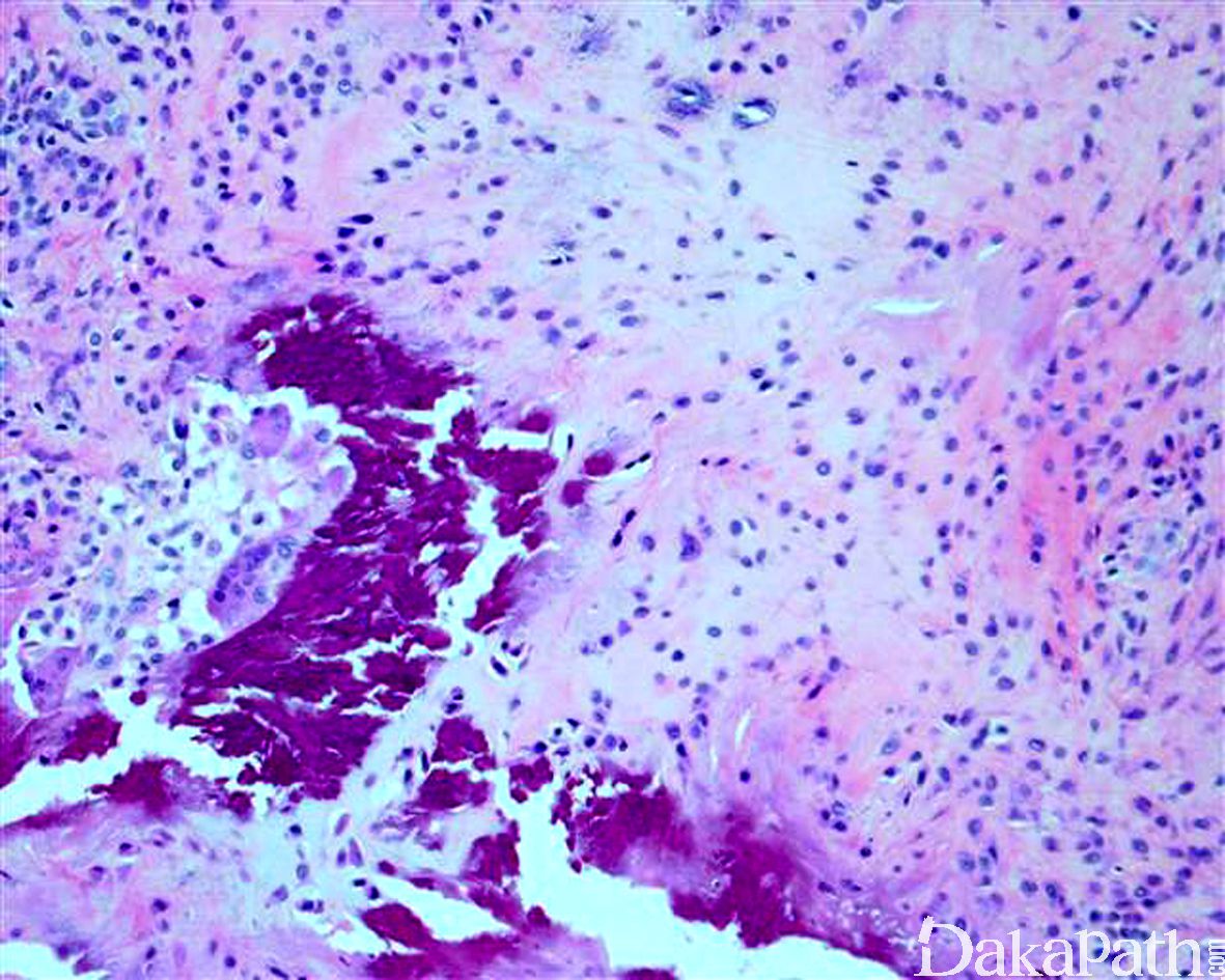
- 由胖梭形细胞栅栏状围绕软骨或点状钙化灶周围为其特征性改变;部分病例表现为梭形纤维母细胞浸 润性生长,细胞之间可见丰富的胶原纤维,两种结构可同时存在;
- 可浸润至周围的脂肪或横纹肌组织,或包绕血管和神经;
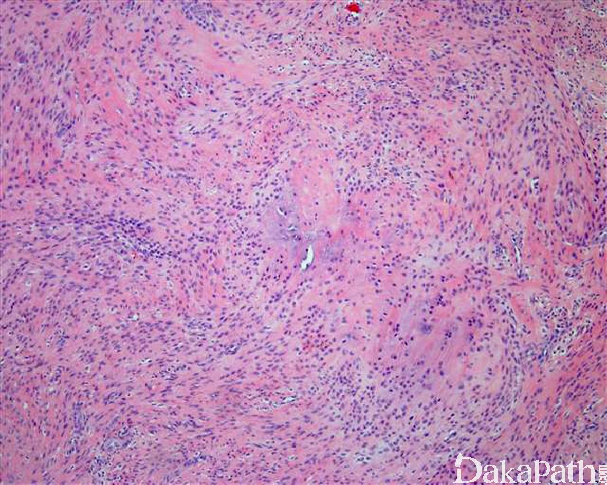
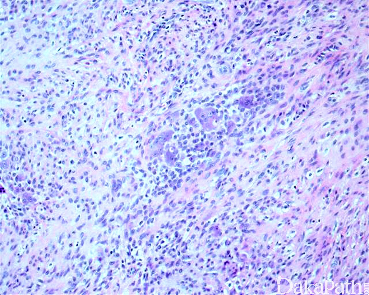
- 细胞胞质多少不等,界限不清,核卵圆形,染色质泡状,可聚集核膜下;
- 分裂像少见,无病理性核分裂像;
- 幼儿患者可富于细胞;
- 在钙化灶周围有时可见散在的破骨样多核巨细胞。

免疫组织化学染色:
梭性细胞 Vimentin 阳性,不同程度表达 actins 和 CD99,不表达 S100. CD34,软骨小岛表达 S-1 00。
分子标记:
FN1–EGF 基因融合
鉴别诊断:
- 婴儿纤维性错构瘤:好发于腋下、腹股沟及肢体近端皮下;具明显的纤维母细胞、原始小圆形间叶细胞和成熟脂肪细胞三种成分,无软骨及钙盐沉着。
- 单相纤维型滑膜肉瘤 :病变内多无软骨,瘤细胞至少灶性表达 AE1/AE3. CAM5.2 和或 EMA; FISH 检测 90%以上含 SyT 断裂基因。
- 软骨瘤 :主要累及中老年人,多呈分叶状,病变以软骨为主,而纤维母细胞成分稀少。
预后:
半数左右的病例可出现局部复发,无转移
治疗:
手术切除
病例报道:
Calcifying** Aponeurotic Fibroma of the Hallux A Case Report.
Sheikh RN, Karlic K.
J Am Podiatr Med Assoc. 2018 Jan;108(1):68-73. doi: 10.7547/16-138. 参考文献:
Hum Pathol. 1998 Dec;29(12):1504-10. Calcifying aponeurotic fibroma: a clinicopathologic study of 22 cases arising in uncommon sites.
Puls F, Hofvander J, Magnusson L, et al.: FN1-EGF gene fusions are recurrent in calcifying aponeurotic fibroma. J Pathol. 2016; 238(4): 502–7.