项型纤维瘤
Nuchal-Tvpe Fibroma,NTF
概述:
是一种好发于项部(颈后和枕部),由粗大胶原束和少量散在的纤维母细胞组成的良性肿瘤样病变。
发病部位: 好发于项部浅表皮下,项外部位(约 31%)如背部、肩部、肩胛间、面部、腰骶部、臀部和四肢等有时也可发生。
诊断要点:
病变好发于项部的真皮和皮下组织内,男性多见(男/女:4:1),发病高峰年龄 50 岁左右,44%与糖尿病有关,少数与 Garder 综合征相关,偶见多发性病变;
大体上界限不清,白色或灰白色;镜下主要由随意分布的粗大致密的胶原条束和夹杂其间的少量纤维母细胞组成,紧邻表皮下生长;
病变中央胶原束多相互交织,可形成模糊的小叶样结构;
可见内陷的脂肪组织、皮肤附属器结构及类似创伤性神经瘤的增生性小神经束;
部位较深的病变可见内陷的骨骼肌,但一般浸润较浅;
少数病例于胶原纤维之间可见纤细、退变的弹力纤维;
可见少量散在的淋巴细胞。

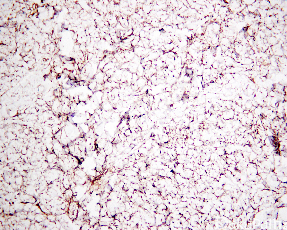
免疫组织化学染色:
纤维母细胞表达 vimentin、CD34 和 CD99,一般不表达 α-SMA、MSA、S100 蛋白和 desmin。
鉴别诊断:
1. Gardner 纤维瘤:项型纤维瘤与 Gardner 纤维瘤存在明显的组织学重叠。Gardner 纤维瘤发病较年轻,常见多发性病变,发病解剖部位更宽,镜下病变与表皮之间有一定的距离,粗大的胶原纤维无小叶状分布的趋势,胶原纤维之间的纤维母细胞增生较项型纤维瘤密集,此外无创伤性神经瘤样增生的神经纤维;
2. 项型纤维软骨性假瘤:是一种创伤后引起的反应性病变,可见多灶的软骨化生;
3. 纤维脂肪瘤:界限较清楚,皮下生长为主,由不同比例的成熟脂肪组织和纤维性间隔组成;
4. 糖尿病相关的纤维瘤:与糖尿病相关,通常多灶和多部位发生,累及同一解剖部位或多个解剖部位的范围较广。
治疗:
局部完整切除
病例报道:
Ann Dermatol. 2015 Apr;27(2):194-6. doi: 10.5021/ad.2015.27.2.194. Epub 2015 Mar 24. Multiple nuchal-type fibromas on the scalp: a case report.
Kim DH1, Kim TH1, Sung NH1, Shin H1, Lee AY1, Lee SH1. 参考文献:
Michal M , Fetsch J F , Hes O , et al. Nuchal-type fibroma : A clinicopathologic study of 52 cases[J]. Cancer, 1999, 85(1):156-163. Am J Surg Pathol. 2001 Jul;25(7):970. Nuchal-type fibroma is positive for CD34 and CD99. --------
Am J Surg Pathol. 1995 Mar;19(3):313-7. Nuchal fibroma. A clinicopathological study of nine cases.
← 幼年性玻璃样变纤维瘤病 限局性席纹状胶原瘤 →