ALK

别名: ALK1;NPM / ALK; p80;Anaplastic Lymphoma Kinase;大细胞间变淋巴瘤激酶
概述:
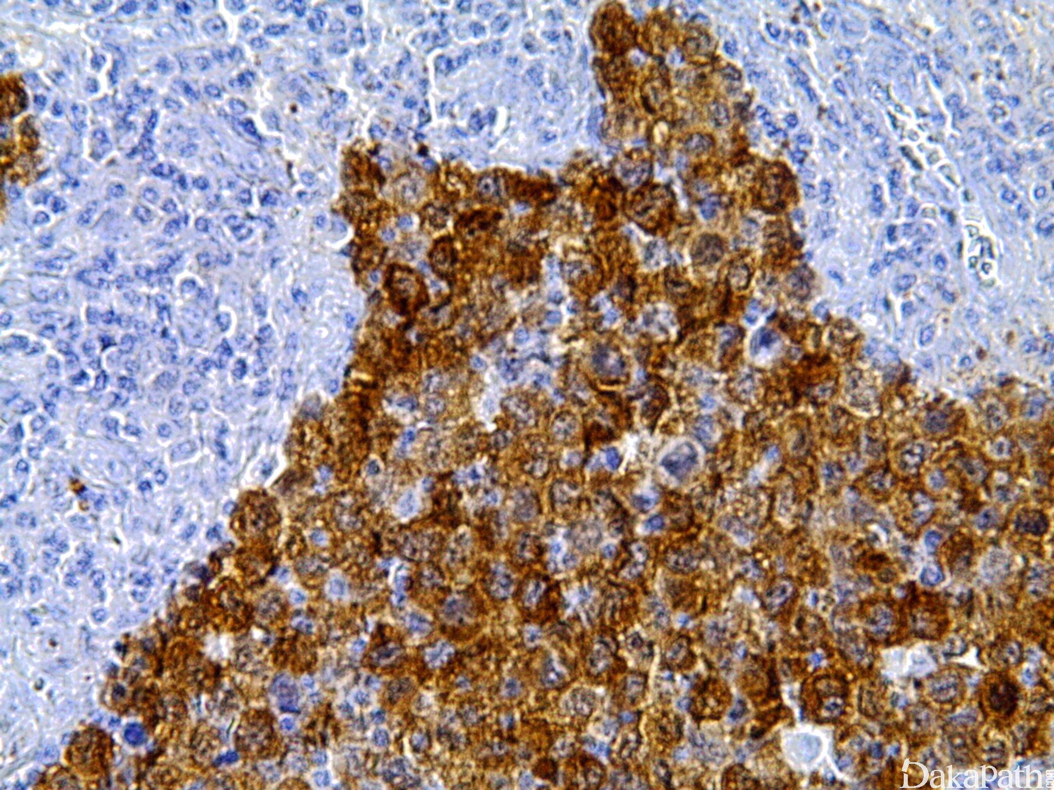
为一种酪氨酸激酶受体,第 2 号染色体上的 ALK 基因可与多种基因发生融合,不同融合方式可导致阳性信号信号分布不同,信号强度与修复缓冲液不同有关。
信号定位: 胞浆、胞膜、核膜和胞核均可,方式包括膜+浆、浆+核、胞浆点状阳等。
在病理学中的应用:
间变性大细胞淋巴瘤及炎性肌纤维母细胞瘤的诊断与鉴别诊断,约 1/2—2/3 的炎性肌纤维母细胞瘤核膜阳性;
肺非小细胞肺癌个性化治疗。
商品化试剂(排名不分先后,本网站对抗体质量不负责!)
公司 | 克隆号 | 即用型(ml) | 原液(ml) | ||||
中杉金桥 | OTI1A4 | 1.5 | 3 | 6 | / | 0.1 | 0.2 |
安必平 | ALK-1 | 1.5 | 3 | 6 | / | 0.1 | 0.2 |
5A4 | |||||||
基因科技 | 5A4 | / | 2 | 4 | 7 | / | 0.2 |
SP8 | |||||||