E-cadherin

别名: Uvomorulin、L-CAM 或 Cell-CAM120/80
概述:
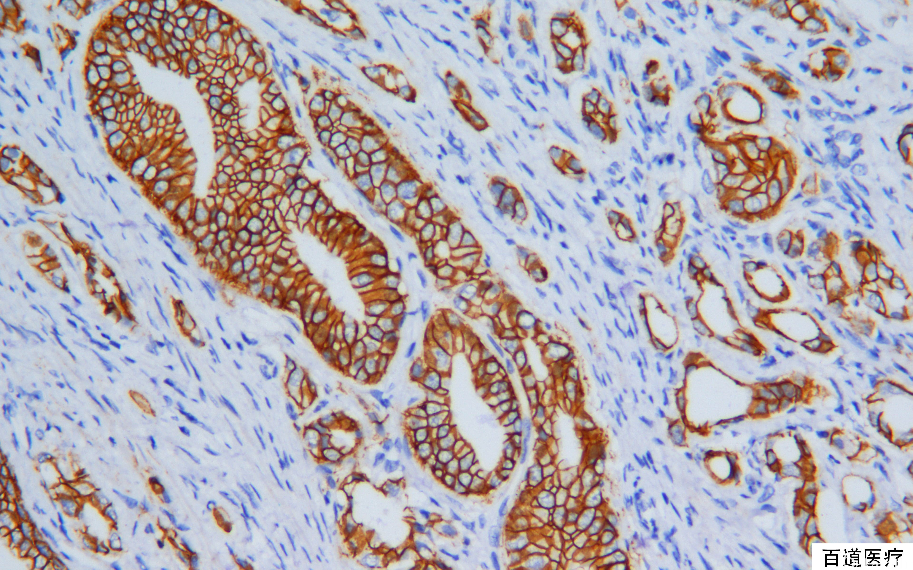
钙黏附蛋白家族成员之一,上皮-钙黏附蛋白,钙依赖跨膜上皮蛋白,促进细胞黏附,间皮瘤阳性,部分转移性腺癌有时阳性。可用于鉴别乳腺导管癌(+)和小叶癌(-)。
信号定位: 胞膜
在病理学中的应用:
鉴别乳腺导管原位癌与小叶原位癌;
乳腺浸润性导管癌与浸润性小叶癌;
骨髓活检标记有核红细胞。
商品化试剂(排名不分先后,本网站对抗体质量不负责!)
公司 | 克隆号 | 即用型(ml) | 原液(ml) | ||||
赛诺特 | 36B5 | 1 | 3 | 6 | / | 0.1 | 0.2 |
4A2C7 | |||||||
EP700Y | |||||||
中杉金桥 | UMAB184 | 1.5 | 3 | 6 | / | 0.1 | 0.2 |
EP6 | |||||||
安必平 | EP700Y | 1.5 | 3 | 6 | / | 0.1 | 0.2 |
福建迈新 | MX020 | 1.5 | 3 | 6 | / | / | 0.2 |
4A2C7 | |||||||
基因科技 | GM016 | / | 2 | 4 | 7 | / | 0.2 |
在肿瘤中的表达情况:
几乎全部阳性(≥95%的病例阳性): 肾嫌色细胞癌、涎腺肌上皮腺瘤、肌上皮癌、膀胱尿路上皮癌、上皮肌上皮癌、乳腺导管原位癌、乳腺分泌性癌、胸腺化生性胸腺瘤,上皮成分、涎腺导管腺癌、甲状腺癌显示胸腺样分化、涎腺嗜酸细胞瘤、卵巢低级别浆液性癌、涎腺腺泡细胞癌、卵巢黏液性交界性肿瘤/非典型增生性黏液性肿瘤、乳腺浸润性微乳头状癌、血管肌脂肪瘤、乳腺良性叶状肿瘤、卵巢癌肉瘤、卵巢黏液性囊腺瘤、卵巢黏液性癌、胰腺腺癌、皮肤黏液癌、卵巢支持间质细胞肿瘤、黏液表皮样癌,低级别、卵巢浆液性癌、肺印戒细胞癌、乳腺导管非典型增生、乳腺导管原位癌,低级别、肺微乳头型腺癌、壶腹腺瘤、十二指肠腺瘤,非壶腹部、大细胞神经内分泌癌、涎腺小管腺瘤、浸润性微乳头涎腺导管癌、上皮样滋养层细胞肿瘤、乳腺包裹性乳头状癌、多形性腺瘤、乳腺髓样癌、肾嗜酸细胞瘤、胰腺导管腺癌、乳腺柱状细胞变
通常阳性(<95%,≥75%的病例阳性): 鼻窦腺癌,肠型、宫颈鳞状细胞癌、皮肤纤维瘤、甲状腺乳头状癌、腺样囊性癌、梭形和上皮样细胞痣、黏液表皮样癌、乳腺腺样囊性癌、乳腺黏液癌、子宫间质结节、食管腺癌、间皮瘤,双向分化、乳腺小管小叶癌、乳腺浸润性癌,非特殊类型、卵巢成人颗粒细胞瘤、壶腹胰胆管微乳头状癌、肺腺癌
经常阳性(<75%,≥55%的病例阳性): 结直肠腺癌、恶性黑色素瘤、前列腺腺泡性癌、皮肤基底细胞癌、膀胱肉瘤样尿路上皮癌、卵巢纤维卵泡膜瘤、滑膜肉瘤,双向型、透明细胞肉瘤、肺鳞状细胞癌、胃印戒细胞癌、乳腺 Paget 病、皮肤 Merkel 细胞癌、甲状腺腺瘤、涎腺鳞状细胞癌、结直肠印戒细胞癌
有时阳性(<55%,≥35%的病例阳性): 间皮瘤,NOS、肝细胞癌、乳腺化生性癌、乳头状肾细胞癌伴嗜酸细胞、食管鳞状细胞癌、淋巴上皮癌、上皮样外周神经鞘瘤、胃肠道间质瘤、滑膜肉瘤,单向分化、低分化滑膜肉瘤、甲状腺间变性癌、间皮增生、滑膜肉瘤,单向分化,纤维型、胰腺腺鳞癌、结直肠黏液性腺癌、子宫内膜腺癌、子宫内膜浆液性癌、胃腺癌
少数阳性(<35%,≥15%的病例阳性): 横纹肌肉瘤,NOS、上皮样间皮瘤、乳头状肾细胞癌、胰腺实性假乳头状肿瘤、乳腺小管癌、滑膜肉瘤、乳腺癌伴印戒细胞样细胞分化
偶尔阳性(<15%,≥5%的病例阳性): 卵巢子宫内膜样癌、平滑肌肉瘤,NOS、肾细胞癌、乳腺浸润性导管癌,高级别、上皮样肉瘤、乳腺浸润性小叶癌
几乎全部阴性(<5%的病例阳性): 黏液性/圆细胞脂肪肉瘤、涎腺嗜酸细胞癌、纤维肉瘤、隆突性皮肤纤维肉瘤、未分化多形性肉瘤、恶性外周神经鞘膜瘤、上皮样血管内皮瘤、软骨肉瘤、化生性胸腺瘤,梭形细胞成分、腺泡状软组织肉瘤、原始神经外胚层瘤、恶性横纹肌样瘤、尤文肉瘤、腺泡状横纹肌肉瘤、葡萄状横纹肌肉瘤、骨外黏液性软骨肉瘤、血管肉瘤、上皮样血管肉瘤、脊索瘤、乳腺筛状癌、乳腺浸润性导管癌,低级别、胰腺横纹肌样未分化癌、乳腺小叶原位癌、骨外骨肉瘤、乳腺多形性小叶原位癌、乳腺多形性小叶癌