CD23

别名: MHM6;SP23low affinity IgE receptor, Fc fragment of IgE receptor and FCER
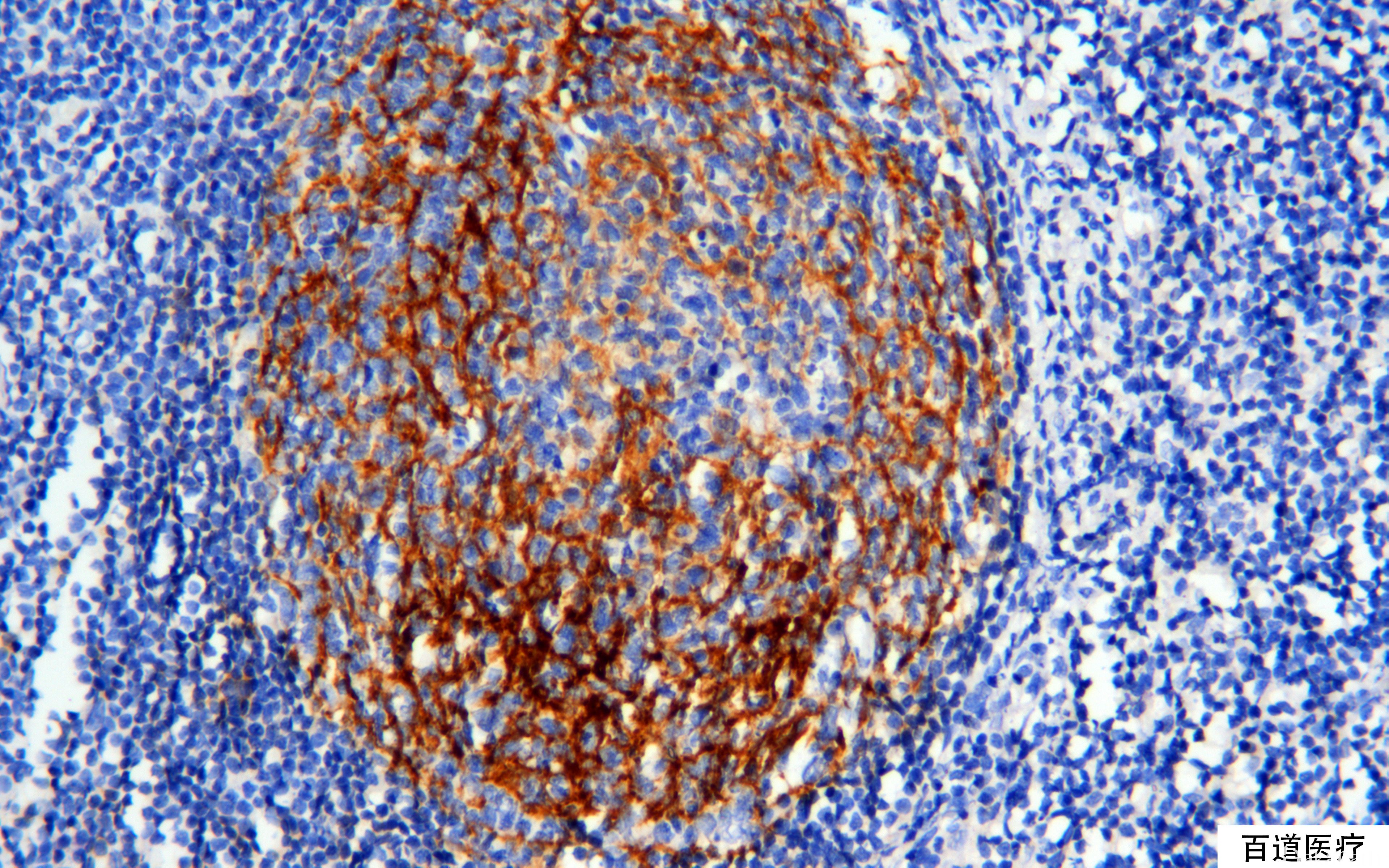
概述:
低亲和性 IgE 受体,为滤泡树突细胞标记物之一,是 B 细胞活化及生长的重要分子。主要表达于成熟 IgD 阳性 B 淋巴细胞和滤泡树突细胞。
信号定位: 胞膜
在病理学中的应用:
小细胞型成熟 B 细胞淋巴瘤的分类,小 B 细胞淋巴瘤/慢性淋巴细胞性白血病(+)。
商品化试剂(排名不分先后,本网站对抗体质量不负责!)
公司 | 克隆号 | 即用型(ml) | 原液(ml) | ||||
基因科技 | SP23 | 1 | 2 | 4 | 7 | / | 0.2 |
赛诺特 | 1B12 | 1 | 3 | 6 | / | 0.1 | 0.2 |
MRQ-57 | 1 | 3 | 6 | / | 0.1 | 0.2 | |
SP23 | 1 | 3 | 6 | / | 0.1 | 0.2 | |
中杉金桥 | UMAB101 | 1.5 | 3 | 6 | / | 0.1 | 0.2 |
EP75 | |||||||
安必平 | MRQ-57 | 1.5 | 3 | 6 | / | 0.1 | 0.2 |
福建迈新 | SP23 | 1.5 | 3 | 6 | / | / | 0.2 |
1B12 | / | / | / | / | / | 0.2 | |
在肿瘤中的表达情况:
几乎全部阳性(≥95%的病例阳性): 慢性淋巴细胞白血病/B 小淋巴细胞淋巴瘤
经常阳性(<75%,≥55%的病例阳性): 滤泡树突状细胞肿瘤
有时阳性(<55%,≥35%的病例阳性): 纵膈大 B 细胞淋巴瘤
少数阳性(<35%,≥15%的病例阳性): 滤泡性淋巴瘤
偶尔阳性(<15%,≥5%的病例阳性): 边缘区 B 细胞淋巴瘤
几乎全部阴性(<5%的病例阳性): 弥漫大 B 型大 B 细胞淋巴瘤,非特指型、滤泡性淋巴瘤 I 级、B 淋巴母细胞白血病/淋巴瘤、经典型霍奇金淋巴瘤、毛细胞白血病、套细胞淋巴瘤,母细胞型、交指状树突状细胞肿瘤、脾脏边缘区淋巴瘤、黏膜相关淋巴组织边缘区 B 细胞淋巴瘤、套细胞淋巴瘤、血管内大 B 细胞淋巴瘤