Collagen-IV

别名: IV 型胶原纤维
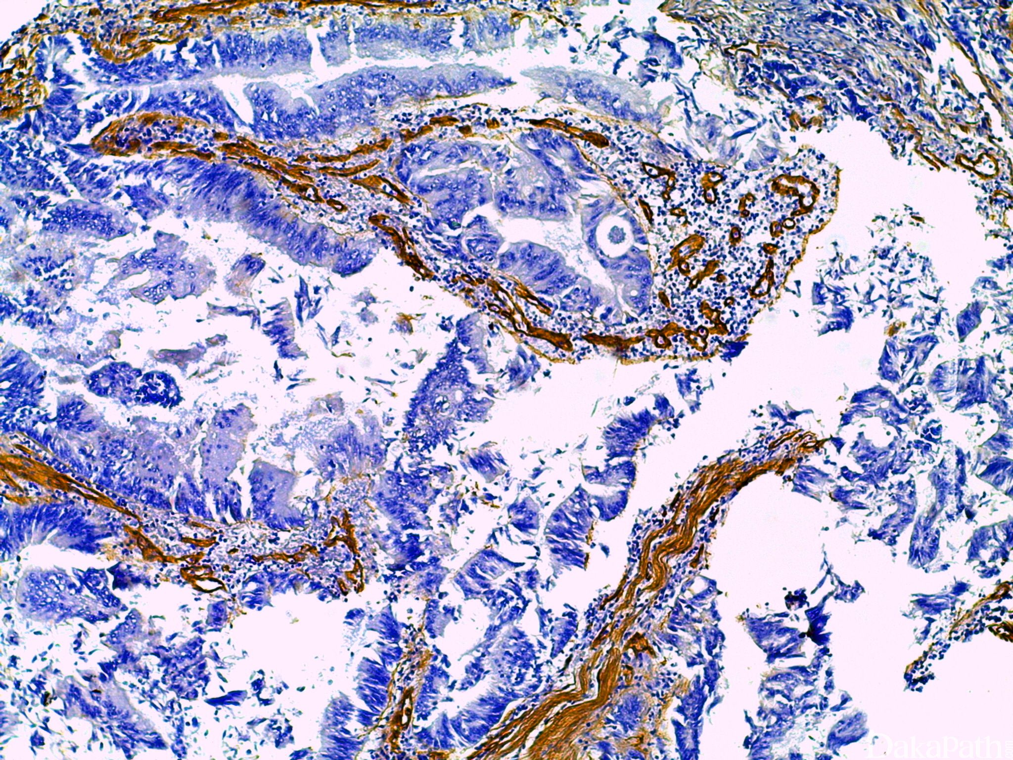
概述:
与层黏连蛋白形成基底膜基板的主要成分。可用于对多种器官基底膜的染色。某些间叶性肿瘤的瘤细胞也可合成分泌此成分。
信号定位: 胞外基质、基底膜
在病理学中的应用:
原位癌与微小浸润癌的鉴别。
商品化试剂(排名不分先后,本网站对抗体质量不负责!)
公司 | 克隆号 | 即用型(ml) | 原液(ml) | ||||
基因科技 | CIV 22 | / | 2 | 4 | 7 | / | 0.2 |
赛诺特 | PHM-12 | 1 | 3 | 6 | / | 0.1 | 0.2 |
CIV 22 | 1 | 3 | 6 | / | 0.1 | 0.2 | |
中杉金桥 | CIV22 | 1.5 | 3 | 6 | / | 0.1 | 0.2 |
安必平 | CIV22 | 1.5 | 3 | 6 | / | 0.1 | 0.2 |
福建迈新 | SP21 | 1.5 | 3 | 6 | / | / | 0.2 |