OCT3/4

别名: POU5F1;MGC22487, OCT3, Oct4, OTF3;POU class 5 homeobox 1
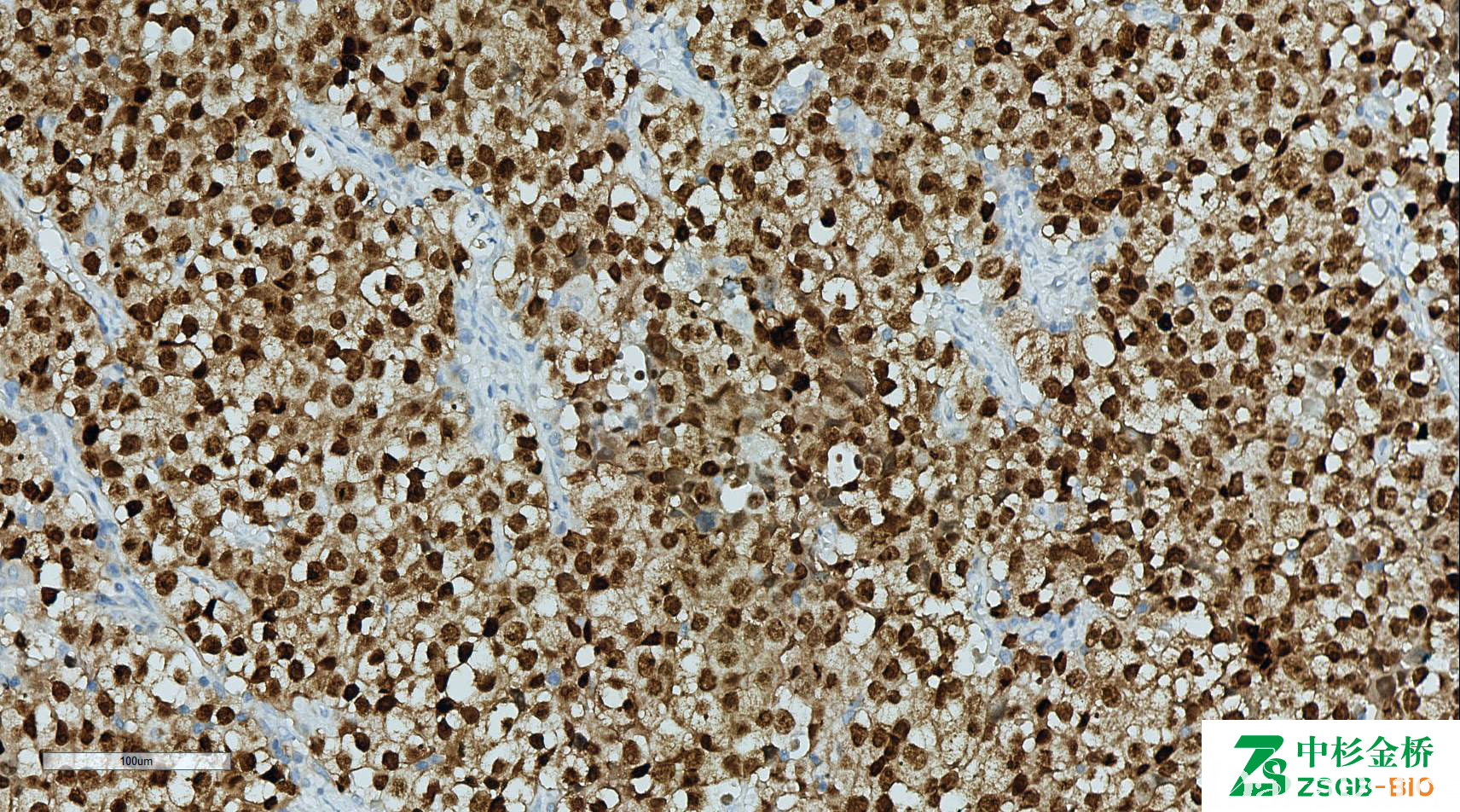
概述:
Oct3 又称为 Oct4,是一个 POU 结构转录因子,表达于人的胚胎干细胞和生殖细胞,但是不表达于所有分化的体细胞。
信号定位: 胞核
在病理学中的应用:
睾丸原位生殖细胞肿瘤(+)与生精停滞(-)的鉴别;
精原细胞瘤(97%)、中枢系统生殖细胞肿瘤、卵巢无性细胞瘤(97%)和胚胎性癌(100%)的辅助诊断;
卵黄囊瘤(-)与无性细胞瘤(+)及胚胎性癌(+)的鉴别诊断。
可用于转移性生殖细胞瘤的鉴别诊断。
商品化试剂(排名不分先后,本网站对抗体质量不负责!)
公司 | 克隆号 | 即用型(ml) | 原液(ml) | ||||
基因科技 | C10 | / | 2 | 4 | 7 | / | 0.2 |
中杉金桥 | N1NK | 1.5 | 3 | 6 | / | 0.1 | 0.2 |
福建迈新 | C-10 | 1.5 | 3 | 6 | / | / | 0.2 |
在肿瘤中的表达情况:
几乎全部阳性(≥95%的病例阳性): 卵巢无性细胞瘤、胚胎性癌、睾丸精原细胞瘤
有时阳性(<55%,≥35%的病例阳性): 卵巢卵黄囊瘤
几乎全部阴性(<5%的病例阳性): 子宫内膜绒毛膜癌、睾丸青春期后型卵黄囊瘤、食管未分化癌