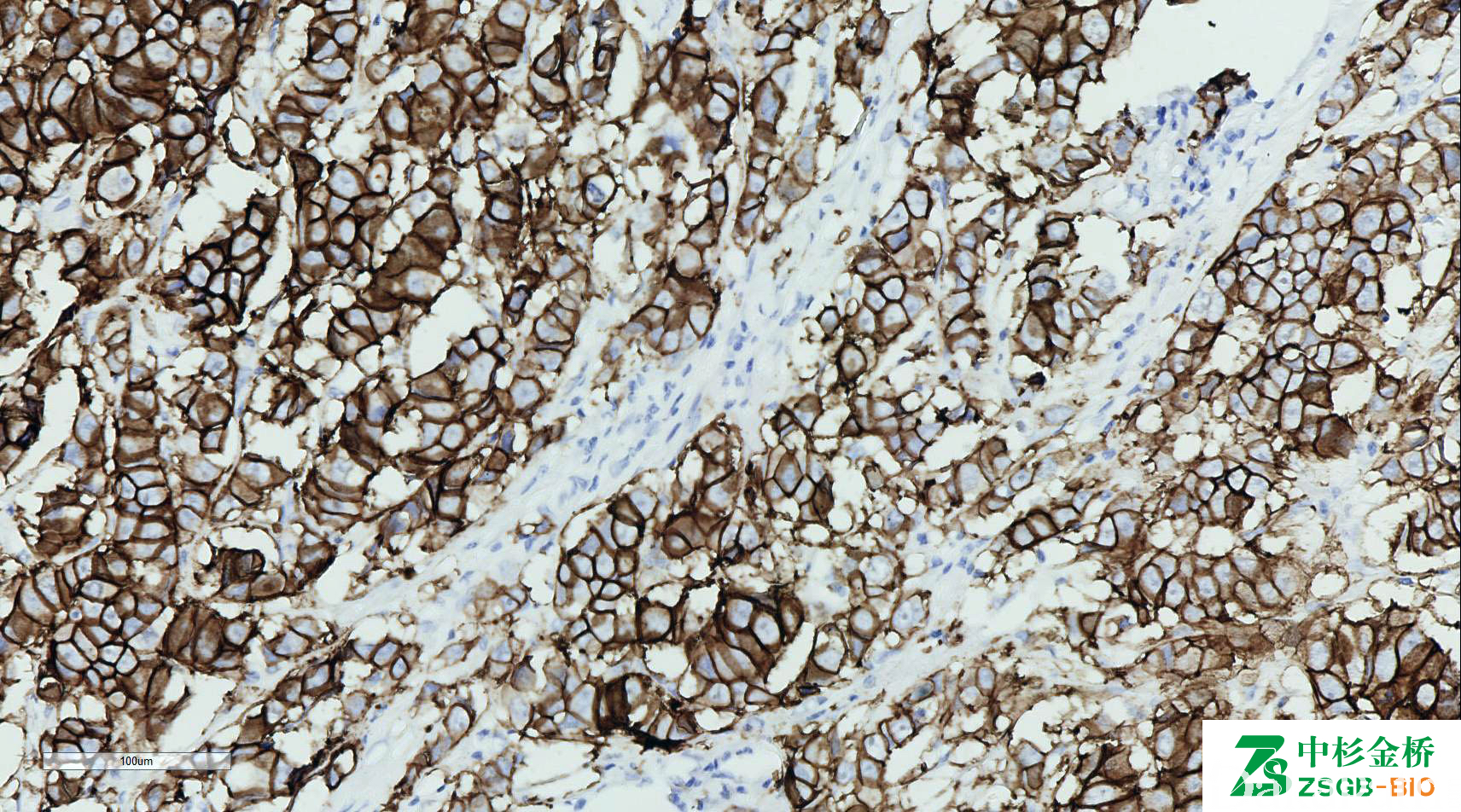
HER2

别名: Human Epidermal growth factor Receptor 2, c-erbB2, neu, ERBB2 and CD340
概述:
人类表皮生长因子受体 2,为 190kD 跨膜糖蛋白,具有酪氨酸酶活性。
信号定位: 胞膜
在病理学中的应用:
乳腺癌分型及靶向治疗病人选择,乳腺癌不良预后指标;
胃及胃食管交界处腺癌靶向治疗选择。
商品化试剂(排名不分先后,本网站对抗体质量不负责!)
公司 | 克隆号 | 即用型(ml) | 原液(ml) | ||||
基因科技 | SP3 | 1 | 2 | 4 | 7 | 0.2 | 1 |
EP3 | / | 2 | 4 | 7 | 0.2 | / | |
CB11 | / | 2 | 4 | 7 | 0.2 | / | |
赛诺特 | 10A7 | 1 | 3 | 6 | / | / | / |
SP3 | 1 | 3 | 6 | / | 0.1 | 0.2 | |
CB11 | 1 | 3 | 6 | / | / | / | |
EP3 | 1 | 3 | 6 | / | 0.1 | 0.2 | |
中杉金桥 | EP3 | 1.5 | 3 | 6 | / | 0.1 | 0.2 |
UMAB36 | 1.5 | 3 | 6 | / | 0.1 | 0.2 | |
安必平 | SP3 | 1.5 | 3 | 6 | / | 0.1 | 0.2 |
EP3 | |||||||
在肿瘤中的表达情况:
几乎全部阳性(≥95%的病例阳性): 脑膜瘤,乳头状、间皮瘤,NOS、脉络丛乳头状瘤,NOS、乳腺 Paget 病、脑膜瘤,脊索样、卵巢成人颗粒细胞瘤、肺浸润性黏液腺癌、室管膜母细胞瘤、脑膜瘤,血管母细胞性、脑膜瘤,微囊性
通常阳性(<95%,≥75%的病例阳性): 胰腺黏液性囊性肿瘤、鼻窦腺癌,非肠型、间变性星形细胞瘤、胶质母细胞瘤,NOS、弥漫性纤维型星形细胞瘤、大汗腺上皮肌上皮癌、毛细胞型星形细胞瘤,、乳腺多形性小叶癌
经常阳性(<75%,≥55%的病例阳性): 涎腺导管腺癌、肺贴壁型腺癌、乳腺浸润性微乳头状癌、脑膜瘤,NOS、肺贴壁型腺癌,黏液性、前列腺高级别上皮内瘤变、间变性脑膜瘤、乳腺大汗腺型导管原位癌、浸润性微乳头涎腺导管癌、腺样囊腺癌,去分化、乳腺导管原位癌,高级别
有时阳性(<55%,≥35%的病例阳性): 喉鳞状细胞癌、鼻窦腺癌,肠型、乳腺导管原位癌、髓母细胞瘤,NOS、前列腺叶状肿瘤,上皮成分、腺泡状横纹肌肉瘤、滑膜肉瘤,单向分化、促结缔组织增生性小圆细胞肿瘤、卵巢高级别浆液性癌、室管膜瘤、乳腺外 Paget 病、乳腺伴大汗腺分化的癌、子宫内膜浆液性癌、宫颈淋巴上皮瘤样癌、胰胆管囊腺癌伴间叶性间质,黏液、非典型性脑膜瘤、脑膜瘤,移行型、前列腺癌,≥gleason8 分、非典型性乳腺髓样癌、乳腺微乳头状导管内癌、胰腺导管腺癌
少数阳性(<35%,≥15%的病例阳性): 胃腺癌,肠型、皮脂腺腺癌、原始神经外胚层瘤、鼻窦未分化癌、肺大细胞癌、甲状腺癌显示胸腺样分化、乳腺基底样导管内癌、葡萄状横纹肌肉瘤、低分化滑膜肉瘤、耳鼻喉鳞状细胞癌、乳腺黏液癌、透明细胞肉瘤、膀胱透明细胞癌、间皮增生、卵巢黏液性癌、食管腺癌、皮肤黏液癌、乳腺小管小叶癌、乳腺小管癌、乳腺浸润性癌,非特殊类型、乳腺乳头状癌、皮肤小汗腺腺癌、肺腺鳞癌、乳腺囊性高分泌型导管内乳头状癌、透明细胞汗腺瘤、脑膜瘤,砂粒体型、脑膜瘤,纤维型、汗腺癌、肺腺癌、乳腺柱状细胞变
偶尔阳性(<15%,≥5%的病例阳性): 结直肠腺癌、前列腺腺泡性癌、膀胱尿路上皮癌、乳腺化生性癌、食管鳞状细胞癌、卵巢低级别浆液性癌、肺鳞状细胞癌、乳腺癌,腔型、膀胱腺癌,非特指型、子宫内膜腺癌、胆道腺瘤、乳腺导管非典型增生、乳腺多形性小叶原位癌、胃腺癌、前列腺癌,≤gleason 7、乳腺浸润性小叶癌、汗腺囊瘤
几乎全部阴性(<5%的病例阳性): 黏液性/圆细胞脂肪肉瘤、宫颈高级别鳞状上皮内病变、微囊性附属器癌、胃腺癌,弥漫性、弥漫大 B 型大 B 细胞淋巴瘤,非特指型、乳腺产间质癌、恶性黑色素瘤、平滑肌肉瘤,NOS、宫颈鳞状细胞癌、皮肤基底细胞癌、恶性外周神经鞘膜瘤、滤泡性淋巴瘤 I 级、上皮肌上皮癌、子宫内膜间质肉瘤、子宫内膜绒毛膜癌、类癌、胰腺导管内乳头状肿瘤、乳腺分泌性癌、化生性胸腺瘤,梭形细胞成分、胸腺化生性胸腺瘤,上皮成分、腺泡状软组织肉瘤、经典型霍奇金淋巴瘤、前列腺叶状肿瘤,梭形细胞成分、腺样囊性癌、尤文肉瘤、乳头状汗腺腺瘤、涎腺腺泡细胞癌、鼻咽癌,角化性、乳腺腺样囊性癌、纤维瘤病、胚胎性癌、小汗腺汗孔瘤、小汗腺螺旋腺瘤、黏液纤维肉瘤、涎腺类似于乳腺的分泌性癌、边缘区 B 细胞淋巴瘤、套细胞淋巴瘤、食管未分化癌、胆管癌、胆囊腺癌、皮肤 Merkel 细胞癌、皮肤大汗腺腺癌、睾丸交界性乳头状浆液性肿瘤、滑膜肉瘤、小肠腺癌、乳腺癌,腔 B 型、乳腺癌,腔 A 型、脑膜瘤,分泌性、肾上腺皮质肿瘤,NOS、宫颈腺癌,非特指型、乳腺导管原位癌,低级别、乳腺小叶原位癌、乳腺基底样癌,三阴性、肛管鳞状细胞癌、肛管鳞状细胞癌、肺淋巴上皮瘤样癌、涎腺小管腺瘤、乳腺包裹性乳头状癌、乳头旺炽性乳头状瘤病、阴经鳞状细胞癌、宫颈低级别鳞状上皮内病变、肾源性腺瘤、多形性腺瘤、乳腺髓样癌、恶性肢端汗腺瘤、小汗腺血管瘤样错构瘤、乳腺导管原位癌,中级别、乳腺导管增生、脑膜瘤,透明细胞