Laminin

别名: 层黏连蛋白
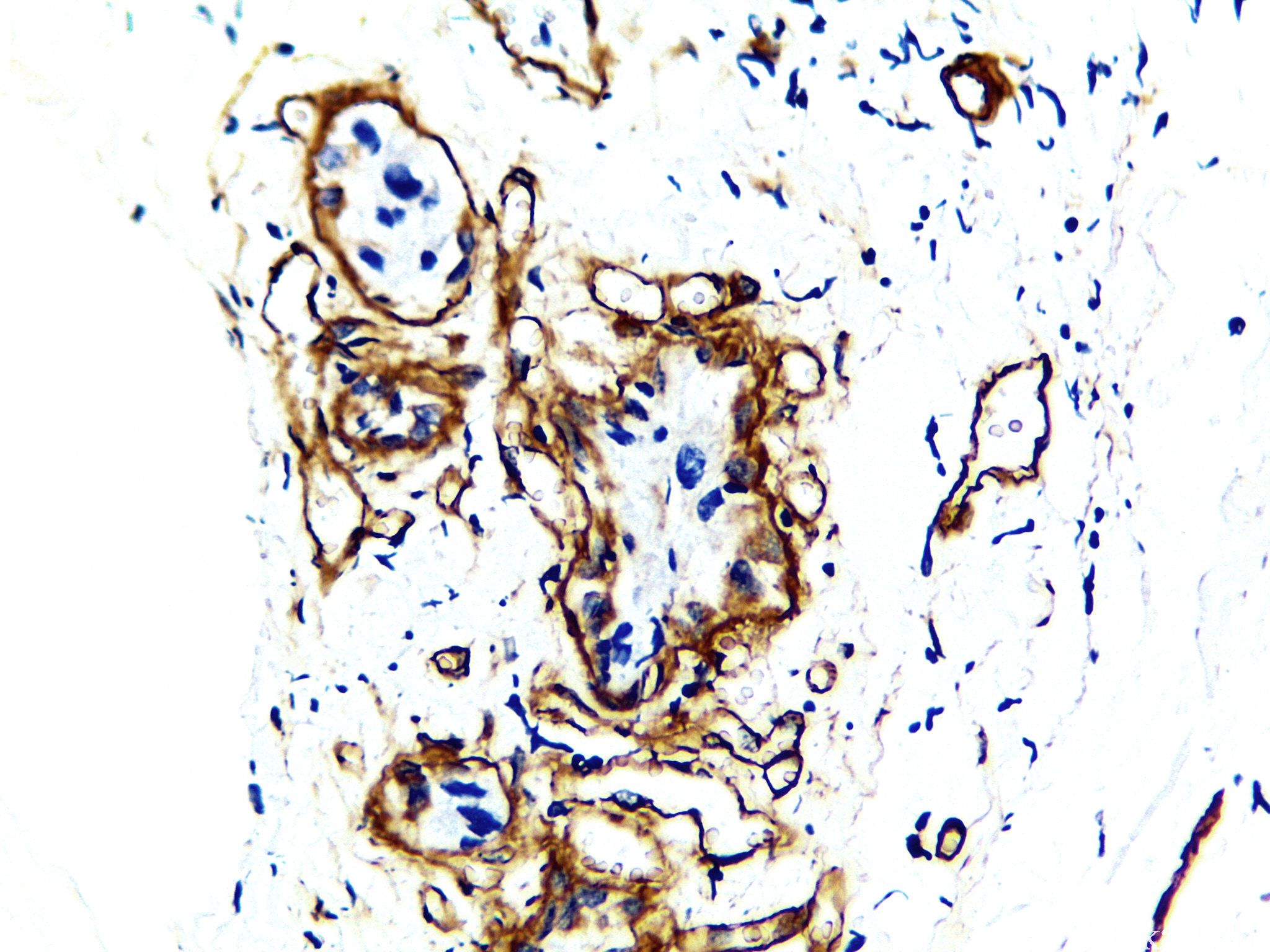
概述:
基底膜的主要成分之一,链接 IV 型胶原和周围基质,如在上皮、血管周围、神经与大脑软膜鞘内。表达于乳腺的肌上皮细胞。
信号定位: 胞质
在病理学中的应用:
肿瘤浸润的鉴别。
商品化试剂(排名不分先后,本网站对抗体质量不负责!)
公司 | 克隆号 | 即用型(ml) | 原液(ml) | ||||
基因科技 | LAM-89 | / | 2 | 4 | 7 | / | 0.2 |
赛诺特 | LAM-89 | 1 | 3 | 6 | / | / | / |
安必平 | LAM-89 | 1.5 | 3 | 6 | / | 0.1 | 0.2 |
福建迈新 | LAM-89 | 1.5 | 3 | 6 | / | / | 0.2 |
在肿瘤中的表达情况:
几乎全部阳性(≥95%的病例阳性): 横纹肌肉瘤,NOS、上皮样血管瘤、上皮样外周神经鞘瘤、神经束膜瘤、结节性筋膜炎、食管基底样鳞状细胞癌
通常阳性(<95%,≥75%的病例阳性): 上皮样血管内皮瘤、腺样囊性癌、睾丸青春期后型卵黄囊瘤、血管球瘤、胃肠血管球瘤、炎性假瘤、硬化性神经束膜瘤
经常阳性(<75%,≥55%的病例阳性): 平滑肌肉瘤,NOS、血管肉瘤、软骨样脂肪瘤
有时阳性(<55%,≥35%的病例阳性): 鼻血管周细胞瘤、滑膜肉瘤,上皮成分
少数阳性(<35%,≥15%的病例阳性): 隆突性皮肤纤维肉瘤、上皮样胃肠道间质瘤、滑膜肉瘤,单向分化、滑膜肉瘤,双向型,梭形细胞成分
几乎全部阴性(<5%的病例阳性): 恶性黑色素瘤、非典型纤维黄色瘤、腺样基底细胞癌